Western Blot - Anti-Ankyrin erythroid / ANK Antibody [S388A-10] (A304741)
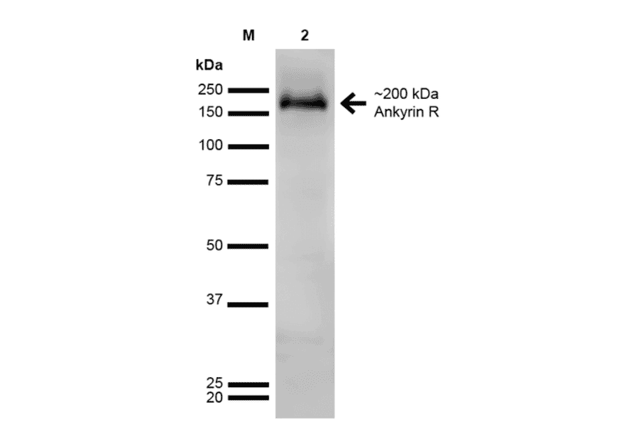
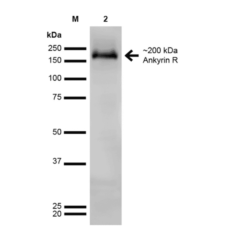
Western blot analysis of rat brain showing detection of ~200 kDa Ankyrin-R protein using Anti-Ankyrin erythroid / ANK Antibody [S388A-10] (A304741) at 1:1,000 for 16 hours at 4°C. Lane 1: MW Ladder. Lane 2: rat Brain. Load: 20 µg. Block: 2% GE Healthcare Blocker for 1 hour at room temperature. The secondary antibody used was Goat Anti-Mouse IgG: HRP at 1:200 for 1 hour at room temperature. Color Development: ECL solution for 6 min at room temperature. Predicted/Observed Size: ~200 kDa.
Immunocytochemistry/Immunofluorescence analysis of human neuroblastoma cell line (SK-N-BE, fixed in 4% formaldehyde for 15 min at room temperature, using Anti-Ankyrin erythroid / ANK Antibody [S388A-10] (A304741), at 1:100 for 60 minutes at room temperature. The secondary antibody used was Goat Anti-Mouse ATTO 488 at 1:100 for 60 minutes at room temperature. Counterstain: Phalloidin Texas Red F-Actin stain; DAPI (blue) nuclear stain at 1:1000; 1:5,000 for 60 minutes room temperature, 5 minutes room temperature. Localization: Cytoplasm, Nucleus. Magnification: 60X.(A) DAPI (blue) nuclear stain. (B) Phalloidin Texas Red F-Actin stain. (C) Ankyrin R Antibody. (D) Composite.
Immunocytochemistry/Immunofluorescence analysis of human neuroblastoma cells (SH-SY5Y), fixed in 4% PFA for 15 min, using Anti-Ankyrin erythroid / ANK Antibody [S388A-10] (A304741), at 1:100 for overnight at 4°C with slow rocking. The secondary antibody used was AlexaFluor 488 at 1:1,000 for 1 hour at room temperature. Counterstain: Phalloidin-iFluor 647 (red) F-Actin stain; Hoechst (blue) nuclear stain at 1:800, 1.6mM for 20 minutes at room temperature.(A) Hoechst (blue) nuclear stain. (B) Phalloidin-iFluor 647 (red) F-Actin stain. (C) Ankyrin R Antibody (D) Composite.
Publishing research using Anti-Ankyrin erythroid / ANK Antibody [S388A-10] (A304741)? Please let us know so that we can list the citation on this page.