ISO 9001:2015 Certified
Live Customer Support
4.5/5 on Trustpilot
100% Quality Guarantee

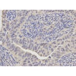
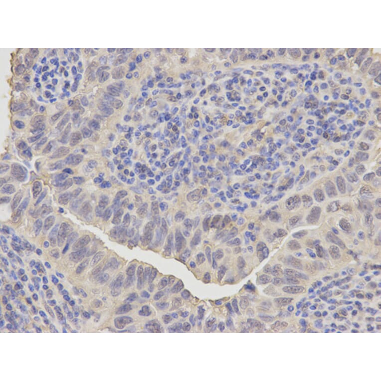
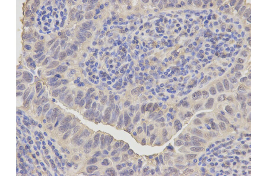
Anti-Annexin I Antibody (A28868)

Rabbit polyclonal antibody to Annexin I for WB, IHC and IF.

Shipping Information

$40
Dispatched from St. Louis, MO.
Lead Time: 7-10 business days.
Name
Anti-Annexin I Antibody
Description
Rabbit polyclonal antibody to Annexin I
Specificity
Annexin I pAb detects endogenous levels of Annexin I protein.
Applications
WB, IHC, IF
Reactivity
Human, Mouse, Rat
Immunogen
Recombinant full length Human Annexin I.
Host
Rabbit
Clonality
Polyclonal
Conjugate

Unconjugated

Molecular Weight
~ 39 kDa
Purity
The antibody was affinity-purified from rabbit antiserum by affinity-chromatography using epitope-specific immunogen and the purity is > 95% (by SDS-PAGE).
Product Form
1mg/ml in PBS with 0.1% Sodium Azide, 50% Glycerol.
Synonyms
Annexin-1, ANX1, ANXA1, Calpactin II, Calpactin-2, Chromobindin-9, LPC1
Disclaimer
This product is for research use only. It is not intended for diagnostic or therapeutic use.
Publishing research using Anti-Annexin I Antibody (A28868)? Please let us know so that we can list the citation on this page.

Alternative products to Anti-Annexin I Antibody (A28868)

Proteins predicted to interact with Annexin A1

Predicted protein interactions based upon String database. Revelancy score correlates with probability of interaction.
99.9% Relevancy Score
99.9% Relevancy Score
99.8% Relevancy Score
98.9% Relevancy Score
98.3% Relevancy Score
97.7% Relevancy Score
96.6% Relevancy Score
93.8% Relevancy Score
92.7% Relevancy Score