The antibody is specific for human Annexin A5 and does not recognize Annexin A5 in rodents and many other mammals, however, it does recognize Annexin A5 in COS1 cells which originated from African green monkey.
Immunofluorescence - Anti-Annexin V Antibody [6A12] (A270559)
Immunofluorescent analysis of HeLa cells stained with Anti-Annexin V Antibody [6A12] (A270559), at a dilution of 1:1,000, in green, and co-stained with Anti-Vimentin Antibody (A85421), at a dilution of 1:2,000, in red. Nuclear DNA is visualised in blue using Hoechst staining. Hela cells were grown under normal conditions, on the left, or treated with 15mM Pentoxifyline for 24 hours, on the right. Pentoxyifyline activates apoptosis in these cells and also upregulates Annexin A6 expression.
Western Blot - Anti-Annexin V Antibody [6A12] (A270559)
Western blot analysis of different cell line lysates using Anti-Annexin V Antibody [6A12] (A270559), at a dilution of 1:2,000, in green. The lanes contain: [Lane 1] protein standard (red), [Lane 2] mouse NIH-3T3, [Lane 3] rat C6, [Lane 4] human HeLa, [Lane 5] human HEK293, [Lane 6] canine A72, [Lane 7] equine NBL6, and [Lane 8] African green monkey COS1 cells. The blot was simultaneously probed with Anti-HSP60 Antibody (A85437), at a dilution of 1:5,000, in red. The strong band at about 35kDa corresponds to Annexin V protein, detected only in the human and monkey cells, as the antibody does not recognise Annexin V from other species. The Anti-HSP60 Antibody (A85437) used as a loading control reveals a single band at 60kDa in all cell preparations.
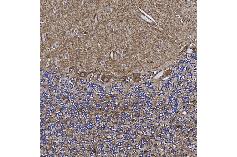
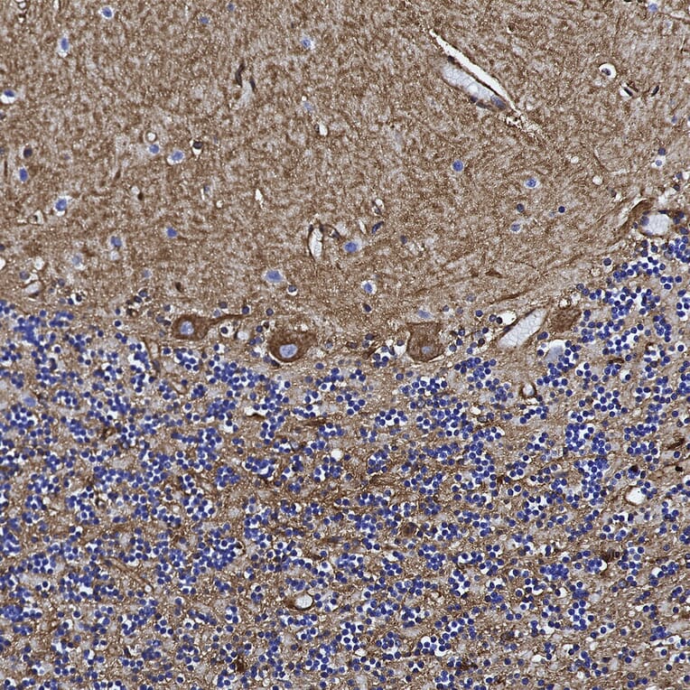
Immunohistochemistry - Anti-Annexin V Antibody [6A12] (A270559)
Immunohistochemistry analysis of a formalin fixed paraffin embedded human cerebellum section with Anti-Annexin V Antibody [6A12] (A270559) at a dilution of 1:1,000 detected with DAB (brown) using the Vector Labs ImmPRESS method and reagents with citra buffer retrieval. Counterstained with Hematoxylin (blue). Note: this antibody performs well in testing with standard NBF fixation but was not tested in 4%PFA fixed tissues.
Publishing research using Anti-Annexin V Antibody [6A12] (A270559)? Please let us know so that we can list the citation on this page.
Proteins predicted to interact with Annexin V
Predicted protein interactions based upon String database. Revelancy score correlates with probability of interaction.