ISO 9001:2015 Certified
Live Customer Support
4.5/5 on Trustpilot
100% Quality Guarantee

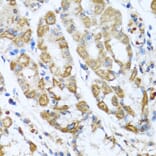
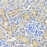
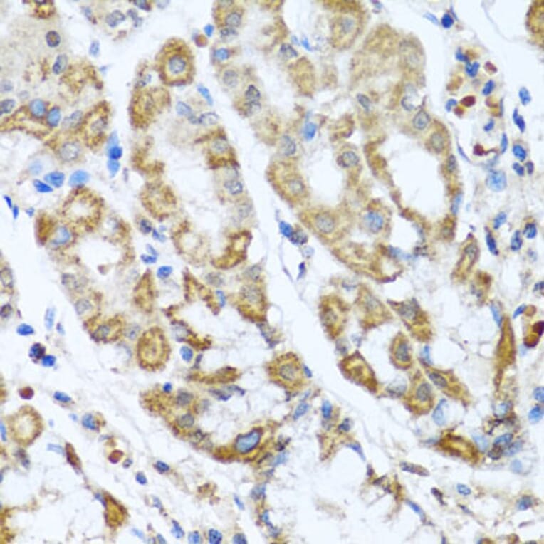
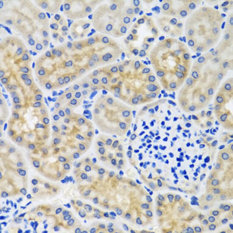
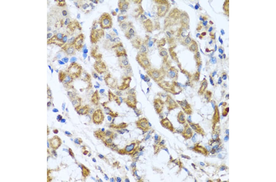
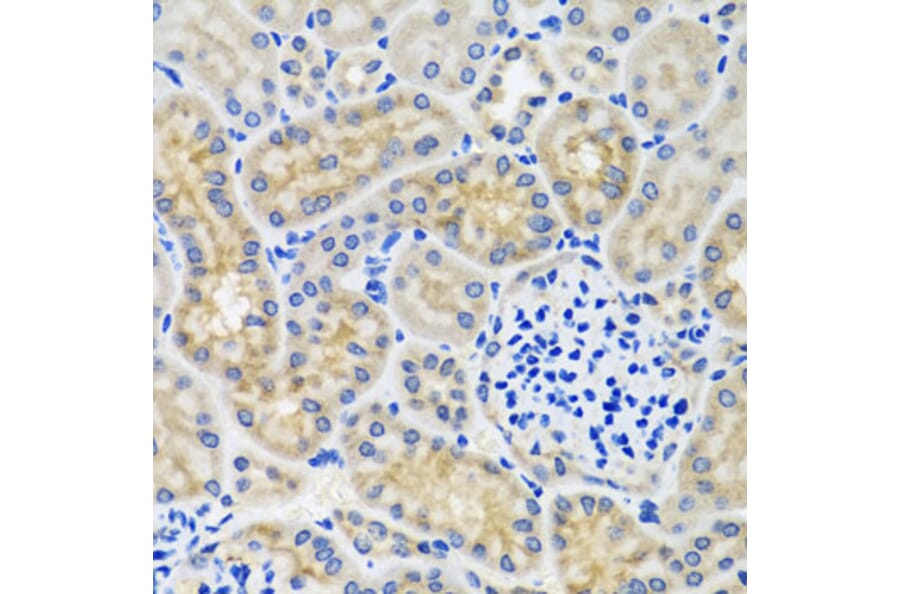
Anti-ANTXR2/CMG-2 Antibody (A11984)

Rabbit polyclonal antibody to ANTXR2/CMG-2 for WB, IHC and ICC/IF.

Shipping Information

$40
Dispatched from St. Louis, MO.
Lead Time: 7-10 business days.
Name
Anti-ANTXR2/CMG-2 Antibody
Description
Rabbit polyclonal antibody to ANTXR2/CMG-2.
Applications
WB, IHC, ICC/IF
Dilutions
WB: 1:500-1:2,000, IHC: 1:50-1:200, ICC/IF: 1:50-1:200
Reactivity
Human, Mouse, Rat
Immunogen
Recombinant fusion protein containing a sequence corresponding to amino acids 34-300 of human ANTXR2 (NP_001139266.1).
Sequence
QEQPSCRRAFDLYFVLDKSGSVANNWIEIYNFVQQLAERFVSPEMRLSFIVFSSQATIILPLTGDRGKISKGLEDLKRVSPVGETYIHEGLKLANEQIQKAGGLKTSSIIIALTDGKLDGLVPSYAEKEAKISRSLGASVYCVGVLDFEQAQLERIADSKEQVFPVKGGFQALKGIINSILAQSCTEILELQPSSVCVGEEFQIVLSGRGFMLGSRNGSVLCTYTVNETYTTSVKPVSVQLNSMLCPAPILNKAGETLDVSVSFNGG
Host
Rabbit
Clonality
Polyclonal
Isotype
IgG
Conjugate

Unconjugated

Purification
Affinity purification.
Concentration
Lot Specific
Molecular Weight
54 kDa
Product Form
Liquid
Formulation
Supplied in Phosphate Buffered Saline, pH 7.3, with 50% Glycerol and 0.01% Thiomersal.
Storage
Shipped at 4°C. Upon delivery aliquot and store at -20°C. Avoid freeze/thaw cycles.
Disclaimer
This product is for research use only. It is not intended for diagnostic or therapeutic use.
Publishing research using Anti-ANTXR2/CMG-2 Antibody (A11984)? Please let us know so that we can list the citation on this page.