Primary Antibodies
Secondary Antibodies
Proteins & Peptides
ELISA Kits
About Us
Contact Us
Sign In/Register
0
ISO 9001:2015 Certified
Live Customer Support
4.5/5 on Trustpilot
100% Quality Guarantee
Home
Primary Antibodies
Annexin IV Antibodies
Anti-ANXA4 Antibody (A37790)
Anti-ANXA4 Antibody (A37790)
Overview
Specifications
Images
Enlarge Image
Enlarge Image
$430
Product Datasheet
Rabbit polyclonal antibody to ANXA4 for WB and IHC.
100% Guarantee
Price Match Guarantee
Product Size:
100µl
Quantity:
1
2
3
4
5
6
7
8
9
10
Add To Cart
Request a Quotation
Custom or Bulk Request
Shipping Information
Freight/Packing Charges:
$40
Dispatched from St. Louis, MO.
Lead Time: 6-9 business days.
Specifications
Name
Anti-ANXA4 Antibody
Description
Rabbit polyclonal antibody to ANXA4
Specificity
The antibody detects endogenous levels of total ANXA4 protein.
Applications
WB
,
IHC
Reactivity
Human, Mouse
Immunogen
Fusion protein corresponding to residues near the N terminal of human annexin A4
Host
Rabbit
Clonality
Polyclonal
Conjugate
Unconjugated
Purification
Antigen affinity purification.
Concentration
0.8 mg/mL
Formulation
Supplied in PBS, pH 7.3, containing 0.05% sodium azide and 50% glycerol.
Storage
Shipped at 4°C. Upon delivery aliquot and store at -20°C. Avoid freeze/thaw cycles.
Synonyms
35-beta calcimedin, Annexin A4, Annexin-4, ANX4, Carbohydrate-binding protein p33/p41, Chromobindin-4
Suitable Secondaries
Goat Anti-Rabbit IgG H&L Antibody (AP) (A294874)
Goat Anti-Rabbit IgG H&L Antibody (Biotin) (A294795)
Goat Anti-Rabbit IgG H&L Antibody (FITC) (A294887)
Goat Anti-Rabbit IgG H&L Antibody (HRP) (A294888)
See all Anti-Rabbit IgG Secondaries →
Disclaimer
This product is for research use only. It is not intended for diagnostic or therapeutic use.
Scientific Validation Data
Validation Data
(2)
Enlarge Image
Anti-ANXA4 Antibody (A37790)
Gel: 8% SDS-PAGE Lysates (from left to right): Raw264.7 cell and human fetal liver tissue Amount of lysate: 40ug per lane Primary antibody: 1/400 dilution Secondary antibody dilution: 1/8000 Exposure time: 3 seconds
Enlarge Image
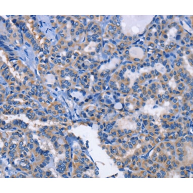
Immunohistochemistry - Anti-ANXA4 Antibody (A37790)
Immunohistochemical analysis of paraffin-embedded Human thyroid cancer tissue using #35620 at dilution 1/20.
Publishing research using Anti-ANXA4 Antibody (A37790)? Please
let us know
so that we can list the citation on this page.
Alternative products to Anti-ANXA4 Antibody (A37790)
A31264
Anti-ANXA4 Antibody
Rabbit polyclonal antibody to ANXA4 for WB and IHC.
A349168
Anti-Annexin A4 Antibody [24GB4715]
Recombinant rabbit monoclonal [24GB4715] antibody to Annexin A4 for WB, Flow Cytometry and ICC/IF.
A349173
Anti-Annexin IV Antibody [24GB12765]
Recombinant rabbit monoclonal [24GB12765] antibody to Annexin IV for WB, Flow Cytometry and ICC/IF.
A31264
Anti-ANXA4 Antibody
Rabbit polyclonal antibody to ANXA4 for WB and IHC.
A349168
Anti-Annexin A4 Antibody [24GB4715]
Recombinant rabbit monoclonal [24GB4715] antibody to Annexin A4 for WB, Flow Cytometry and ICC/IF.
A349173
Anti-Annexin IV Antibody [24GB12765]
Recombinant rabbit monoclonal [24GB12765] antibody to Annexin IV for WB, Flow Cytometry and ICC/IF.
Proteins predicted to interact with Annexin IV
Predicted protein interactions based upon String database. Revelancy score correlates with probability of interaction.
S100A10 Antibodies
80.2% Relevancy Score
CCR5 Antibodies
79.3% Relevancy Score
Annexin A6 Antibodies
69.4% Relevancy Score
gamma Actin Antibodies
68.6% Relevancy Score
Tissue Factor Antibodies
60.6% Relevancy Score
beta Actin Antibodies
59.6% Relevancy Score
PADI4 Antibodies
59.1% Relevancy Score
S100A6 Antibodies
57.9% Relevancy Score
TEM1 Antibodies
57.3% Relevancy Score
Top