ISO 9001:2015 Certified
Live Customer Support
4.5/5 on Trustpilot
100% Quality Guarantee

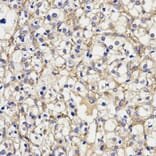
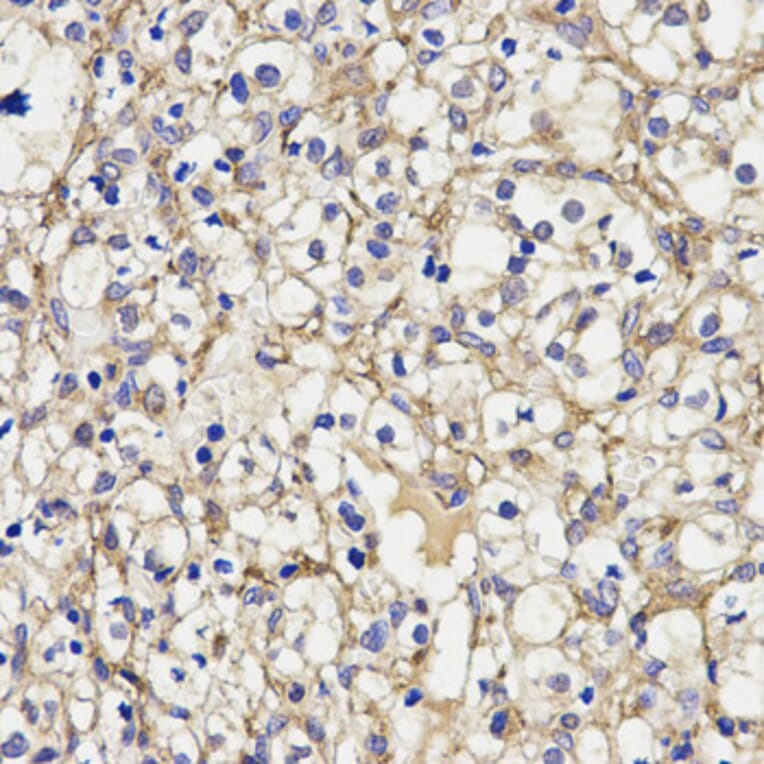
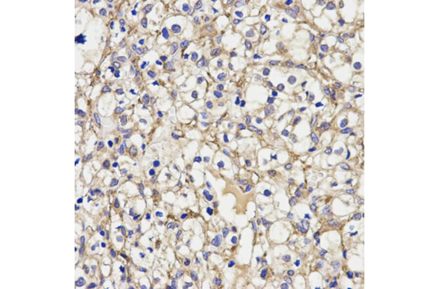
Anti-AOC3 Antibody (A30547)

$435

Rabbit polyclonal antibody to AOC3 for WB, IHC and IF.

Shipping Information

$40
Dispatched from St. Louis, MO.
Lead Time: 7-10 business days.
Name
Anti-AOC3 Antibody
Description
Rabbit polyclonal antibody to AOC3
Specificity
AOC3 pAb detects endogenous levels of AOC3 protein.
Applications
WB, IHC, IF
Reactivity
Human, Mouse, Rat
Immunogen
Recombinant full length Human AOC3.
Host
Rabbit
Clonality
Polyclonal
Conjugate

Unconjugated

Molecular Weight
~84 kDa
Purity
The antibody was affinity-purified from rabbit antiserum by affinity-chromatography using epitope-specific immunogen and the purity is > 95% (by SDS-PAGE).
Product Form
1mg/ml in PBS with 0.1% Sodium Azide, 50% Glycerol.
Synonyms
Amine oxidase copper-containing 3, Amine oxidase [copper-containing] 3, Copper amine oxidase, HPAO, Semicarbazide-sensitive amine oxidase, SSAO, VAP-1, Vascular adhesion protein 1
Disclaimer
This product is for research use only. It is not intended for diagnostic or therapeutic use.
Publishing research using Anti-AOC3 Antibody (A30547)? Please let us know so that we can list the citation on this page.

Alternative products to Anti-AOC3 Antibody (A30547)

Proteins predicted to interact with VAP1

Predicted protein interactions based upon String database. Revelancy score correlates with probability of interaction.
97.7% Relevancy Score
97.6% Relevancy Score
97.4% Relevancy Score
95.9% Relevancy Score
93% Relevancy Score
92.8% Relevancy Score
92.8% Relevancy Score
92.8% Relevancy Score
92.8% Relevancy Score