ISO 9001:2015 Certified
Live Customer Support
4.5/5 on Trustpilot
100% Quality Guarantee

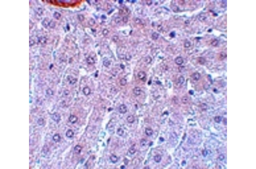
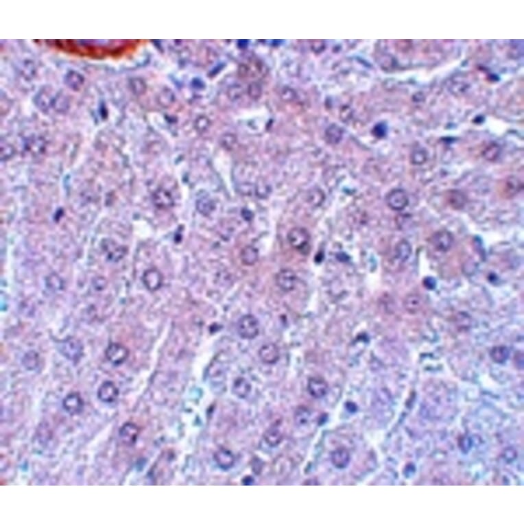
Anti-APC3 Antibody (A48439)

$735

Rabbit polyclonal antibody to APC3 for E, WB and IHC.

Shipping Information

$40
Dispatched from St. Louis, MO.
Lead Time: 6-9 business days.
Name
Anti-APC3 Antibody
Description
Rabbit polyclonal antibody to APC3
Applications
E, WB, IHC
Reactivity
Human, Mouse, Rat
Immunogen
Raised against a 19 amino acid peptide near the carboxy terminus of human APC3.
Host
Rabbit
Clonality
Polyclonal
Conjugate

Unconjugated

Purification
Affinity chromatography purified via peptide column
Formulation
Supplied in PBS containing 0.02% sodium azide.
Storage
Can be stored at -20˚C, stable for one year. As with all antibodies care should be taken to avoid repeated freeze thaw cycles. Antibodies should not be exposed to prolonged high temperatures.
Synonyms
ANAPC3, Anaphase Promoting Complex 3, Anaphase promoting complex protein 3, Anaphase Promoting Complex Subunit 3, Anaphase-promoting complex subunit 3, APC 3, Cdc 27, Cdc27, CDC27 homolog, CDC27Hs, CDC27_HUMAN, Cell Division Cycle 27, Cell division cycle protein 27 homolog, D0S1430E, D17S978E, H NUC, H-NUC, HNUC, Nuc2 homolog
Disclaimer
This product is for research use only. It is not intended for diagnostic or therapeutic use.
Publishing research using Anti-APC3 Antibody (A48439)? Please let us know so that we can list the citation on this page.