Primary Antibodies
Secondary Antibodies
Proteins & Peptides
ELISA Kits
About Us
Contact Us
Sign In/Register
0
ISO 9001:2015 Certified
Live Customer Support
4.5/5 on Trustpilot
100% Quality Guarantee
Home
Primary Antibodies
APC4 Antibodies
Anti-APC4 Antibody (A48440)
Anti-APC4 Antibody (A48440)
Overview
Specifications
Images
Enlarge Image
Enlarge Image
$780
Product Datasheet
Rabbit polyclonal antibody to APC4 for ELISA, WB and IHC.
100% Guarantee
Price Match Guarantee
Product Size:
100µl
Quantity:
1
2
3
4
5
6
7
8
9
10
Add To Cart
Request a Quotation
Custom or Bulk Request
Shipping Information
Freight/Packing Charges:
$40
Dispatched from St. Louis, MO.
Lead Time: 6-9 business days.
Specifications
Name
Anti-APC4 Antibody
Description
Rabbit polyclonal antibody to APC4
Applications
ELISA
,
WB
,
IHC
Reactivity
Human, Mouse, Rat
Immunogen
Raised against a 14 amino acid peptide near the amino terminus of human APC4.
Host
Rabbit
Clonality
Polyclonal
Conjugate
Unconjugated
Purification
Affinity chromatography purified via peptide column
Formulation
Supplied in phosphate-buffered saline with 0.02% Sodium Azide.
Storage
Shipped at 4°C. Upon delivery aliquot and store at -20°C. Avoid freeze/thaw cycles.
Synonyms
ANAPC4, Anaphase-promoting complex subunit 4, Cyclosome subunit 4
Suitable Secondaries
Goat Anti-Rabbit IgG H&L Antibody (AP) (A294874)
Goat Anti-Rabbit IgG H&L Antibody (Biotin) (A294795)
Goat Anti-Rabbit IgG H&L Antibody (FITC) (A294887)
Goat Anti-Rabbit IgG H&L Antibody (HRP) (A294888)
See all Anti-Rabbit IgG Secondaries →
Disclaimer
This product is for research use only. It is not intended for diagnostic or therapeutic use.
Scientific Validation Data
Validation Data
(2)
Enlarge Image
Anti-APC4 Antibody (A48440)
Western blot analysis of APC4 in mouse liver tissue lysate with APC4 antibody at (A) 1 and (B) 2 µg/mL.
Enlarge Image
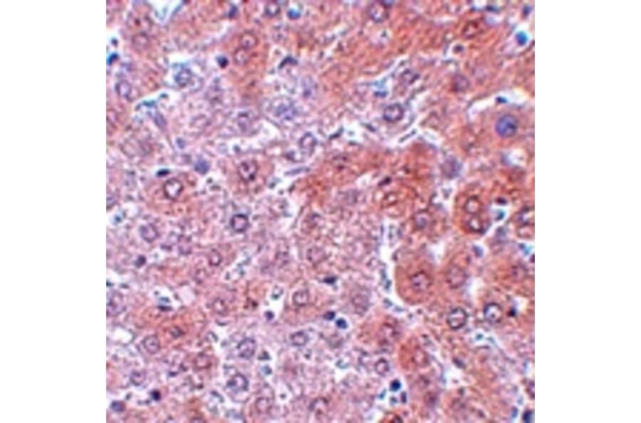
Immunohistochemistry - Anti-APC4 Antibody (A48440)
Immunohistochemistry of APC4 in rat liver tissue with APC4 antibody at 5 µg/mL.
Publishing research using Anti-APC4 Antibody (A48440)? Please
let us know
so that we can list the citation on this page.
Alternative products to Anti-APC4 Antibody (A48440)
(2)
A37263
Anti-ANAPC4 Antibody
Rabbit polyclonal antibody to ANAPC4 for WB and IHC.
(2)
A37263
Anti-ANAPC4 Antibody
Rabbit polyclonal antibody to ANAPC4 for WB and IHC.
Proteins predicted to interact with APC4
Predicted protein interactions based upon String database. Revelancy score correlates with probability of interaction.
ANAPC13 Antibodies
99.9% Relevancy Score
APC11 Antibodies
99.9% Relevancy Score
APC6 Antibodies
99.9% Relevancy Score
Cyclin B1 Antibodies
99.9% Relevancy Score
CDC20 Antibodies
99.9% Relevancy Score
APC5 Antibodies
99.9% Relevancy Score
ANAPC2 Antibodies
99.9% Relevancy Score
Emi1 Antibodies
99.9% Relevancy Score
CDC23 Antibodies
99.9% Relevancy Score
Top