Primary Antibodies
Secondary Antibodies
Proteins & Peptides
ELISA Kits
About Us
Contact Us
Sign In/Register
0
ISO 9001:2015 Certified
Live Customer Support
4.5/5 on Trustpilot
100% Quality Guarantee
Home
Primary Antibodies
APC6 Antibodies
Anti-APC6 Antibody (A48442)
Anti-APC6 Antibody (A48442)
Overview
Specifications
Images
Enlarge Image
Enlarge Image
$780
Product Datasheet
Rabbit polyclonal antibody to APC6 for ELISA, WB and IHC.
100% Guarantee
Price Match Guarantee
Product Size:
100µl
Quantity:
1
2
3
4
5
6
7
8
9
10
Add To Cart
Request a Quotation
Custom or Bulk Request
Shipping Information
Freight/Packing Charges:
$40
Dispatched from St. Louis, MO.
Lead Time: 6-9 business days.
Specifications
Name
Anti-APC6 Antibody
Description
Rabbit polyclonal antibody to APC6
Applications
ELISA
,
WB
,
IHC
Reactivity
Human, Mouse
Immunogen
Raised against an 18 amino acid peptide near the amino terminus of human APC6.
Host
Rabbit
Clonality
Polyclonal
Conjugate
Unconjugated
Purification
Affinity chromatography purified via peptide column
Formulation
Supplied in phosphate-buffered saline with 0.02% Sodium Azide.
Storage
Shipped at 4°C. Upon delivery aliquot and store at -20°C. Avoid freeze/thaw cycles.
Synonyms
ANAPC6, Anaphase-promoting complex subunit 6, CDC16, CDC16 homolog, CDC16Hs, Cell division cycle protein 16 homolog, Cyclosome subunit 6
Suitable Secondaries
Goat Anti-Rabbit IgG H&L Antibody (AP) (A294874)
Goat Anti-Rabbit IgG H&L Antibody (Biotin) (A294795)
Goat Anti-Rabbit IgG H&L Antibody (FITC) (A294887)
Goat Anti-Rabbit IgG H&L Antibody (HRP) (A294888)
See all Anti-Rabbit IgG Secondaries →
Disclaimer
This product is for research use only. It is not intended for diagnostic or therapeutic use.
Scientific Validation Data
Validation Data
(2)
Enlarge Image
Anti-APC6 Antibody (A48442)
Western blot analysis of APC6 in human liver tissue lysate with APC6 antibody at (A) 1 and (B) 2 µg/mL.
Enlarge Image
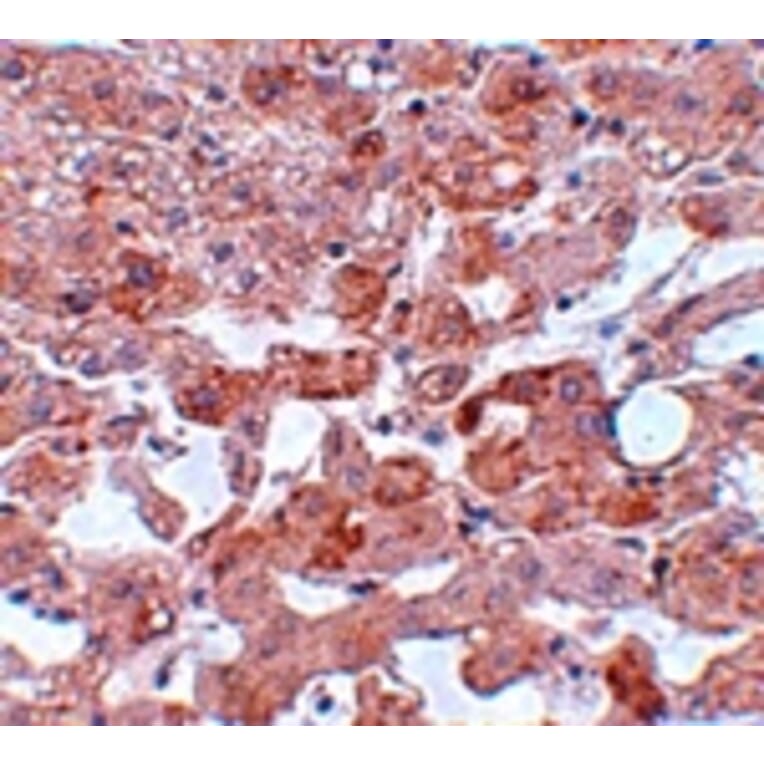
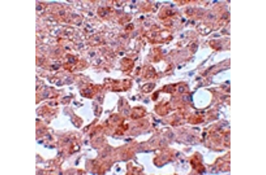
Immunohistochemistry - Anti-APC6 Antibody (A48442)
Immunohistochemistry of APC6 in human liver tissue with APC6 antibody at 5 µg/mL.
Publishing research using Anti-APC6 Antibody (A48442)? Please
let us know
so that we can list the citation on this page.
Alternative products to Anti-APC6 Antibody (A48442)
(6)
A306640
Anti-Apc6 Antibody [ARC2053]
Rabbit monoclonal [ARC2053] antibody to Apc6 for WB, IHC and ICC/IF.
(4)
A94384
Anti-CDC16 (phospho Ser560) Antibody
Rabbit polyclonal antibody to CDC16 (phospho Ser560) for WB, IHC, IF and ELISA.
(3)
A15588
Anti-APC6 Antibody
Rabbit polyclonal antibody to APC6 for WB, IHC-P and ELISA.
(2)
A98288
Anti-APC6 Antibody
Rabbit polyclonal antibody to APC6 for WB, IHC, IF and ELISA.
(2)
A25645
Anti-Cdc16 (K556) Antibody
Rabbit polyclonal antibody to Cdc16 (K556) for WB, IHC and IF.
A344531
Anti-APC6 Antibody [23GB3415]
Recombinant rabbit monoclonal [23GB3415] antibody to APC6 for WB, Flow Cytometry and ICC/IF.
A344530
Anti-APC6 Antibody [24GB10310]
Recombinant rabbit monoclonal [24GB10310] antibody to APC6 for WB, Flow Cytometry and ICC/IF.
A344528
Anti-APC Antibody [23GB3455]
Recombinant rabbit monoclonal [23GB3455] antibody to APC for WB, Flow Cytometry and ICC/IF.
A344529
Anti-APC6 Antibody [24GB9705]
Recombinant rabbit monoclonal [24GB9705] antibody to APC6 for WB, Flow Cytometry and ICC/IF.
(2)
A37999
Anti-CDC16 Antibody
Rabbit polyclonal antibody to CDC16 for WB and IHC.
(2)
A36331
Anti-CDC16 Antibody
Rabbit polyclonal antibody to CDC16 for WB and IHC.
(6)
A306640
Anti-Apc6 Antibody [ARC2053]
Rabbit monoclonal [ARC2053] antibody to Apc6 for WB, IHC and ICC/IF.
(4)
A94384
Anti-CDC16 (phospho Ser560) Antibody
Rabbit polyclonal antibody to CDC16 (phospho Ser560) for WB, IHC, IF and ELISA.
(3)
A15588
Anti-APC6 Antibody
Rabbit polyclonal antibody to APC6 for WB, IHC-P and ELISA.
(2)
A98288
Anti-APC6 Antibody
Rabbit polyclonal antibody to APC6 for WB, IHC, IF and ELISA.
(2)
A25645
Anti-Cdc16 (K556) Antibody
Rabbit polyclonal antibody to Cdc16 (K556) for WB, IHC and IF.
A344531
Anti-APC6 Antibody [23GB3415]
Recombinant rabbit monoclonal [23GB3415] antibody to APC6 for WB, Flow Cytometry and ICC/IF.
A344530
Anti-APC6 Antibody [24GB10310]
Recombinant rabbit monoclonal [24GB10310] antibody to APC6 for WB, Flow Cytometry and ICC/IF.
A344528
Anti-APC Antibody [23GB3455]
Recombinant rabbit monoclonal [23GB3455] antibody to APC for WB, Flow Cytometry and ICC/IF.
A344529
Anti-APC6 Antibody [24GB9705]
Recombinant rabbit monoclonal [24GB9705] antibody to APC6 for WB, Flow Cytometry and ICC/IF.
(2)
A37999
Anti-CDC16 Antibody
Rabbit polyclonal antibody to CDC16 for WB and IHC.
(2)
A36331
Anti-CDC16 Antibody
Rabbit polyclonal antibody to CDC16 for WB and IHC.
See all APC6 Antibodies
Proteins predicted to interact with APC6
Predicted protein interactions based upon String database. Revelancy score correlates with probability of interaction.
CDC27 Antibodies
99.9% Relevancy Score
APC1 Antibodies
99.9% Relevancy Score
APC7 Antibodies
99.9% Relevancy Score
APC10 Antibodies
99.9% Relevancy Score
FZR1 Antibodies
99.9% Relevancy Score
ANAPC13 Antibodies
99.9% Relevancy Score
APC11 Antibodies
99.9% Relevancy Score
APC5 Antibodies
99.9% Relevancy Score
CDC20 Antibodies
99.9% Relevancy Score
Top