ISO 9001:2015 Certified
Live Customer Support
4.5/5 on Trustpilot
100% Quality Guarantee

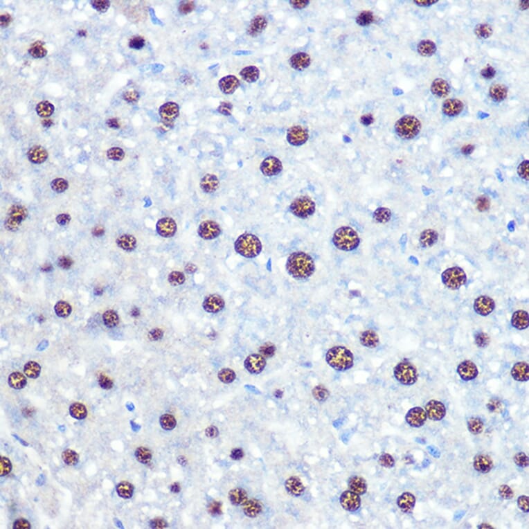
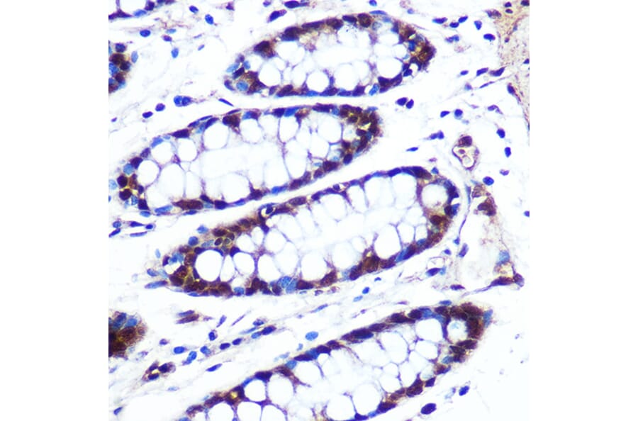
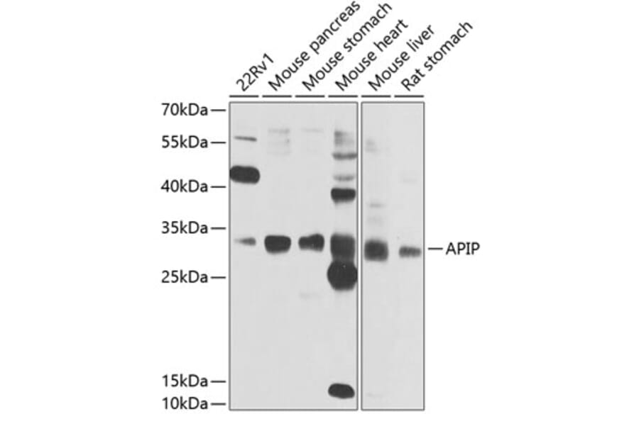
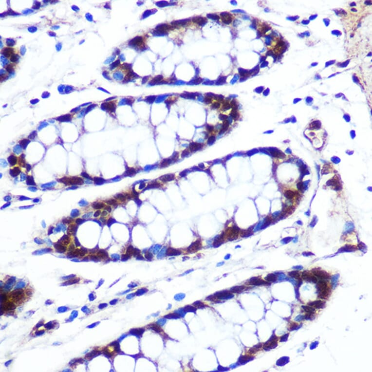
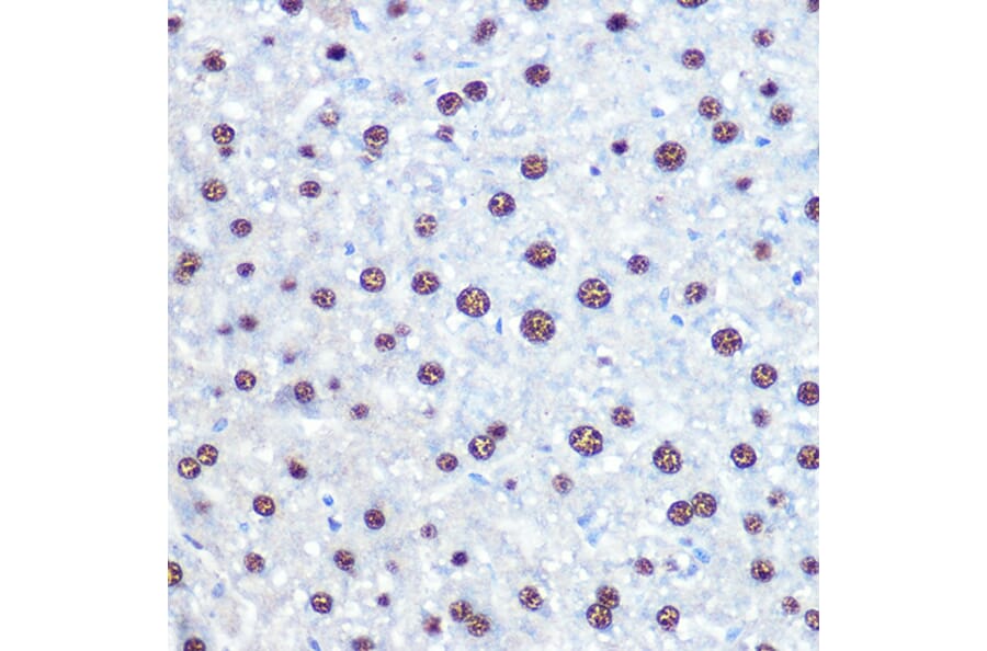
Anti-APIP Antibody (A15543)

Rabbit polyclonal antibody to APIP for WB and IHC.

Shipping Information

$40
Dispatched from St. Louis, MO.
Lead Time: 7-10 business days.
Name
Anti-APIP Antibody
Description
Rabbit polyclonal antibody to APIP.
Applications
WB, IHC
Dilutions
WB: 1:500-1:2,000, IHC: 1:50-1:200
Reactivity
Human, Mouse, Rat
Immunogen
Recombinant fusion protein containing a sequence corresponding to amino acids 1-242 of human APIP (NP_057041.2).
Sequence
MSGCDAREGDCCSRRCGAQDKEHPRYLIPELCKQFYHLGWVTGTGGGISLKHGDEIYIAPSGVQKERIQPEDMFVCDINEKDISGPSPSKKLKKSQCTPLFMNAYTMRGAGAVIHTHSKAAVMATLLFPGREFKITHQEMIKGIKKCTSGGYYRYDDMLVVPIIENTPEEKDLKDRMAHAMNEYPDSCAVLVRRHGVYVWGETWEKAKTMCECYDYLFDIAVSMKKVGLDPSQLPVGENGIV
Host
Rabbit
Clonality
Polyclonal
Isotype
IgG
Conjugate

Unconjugated

Purification
Affinity purification.
Concentration
Lot Specific
Molecular Weight
27 kDa
Product Form
Liquid
Formulation
Supplied in Phosphate Buffered Saline, pH 7.3, with 50% Glycerol and 0.02% Sodium Azide.
Storage
Shipped at 4°C. Upon delivery aliquot and store at -20°C. Avoid freeze/thaw cycles.
Synonyms
APAF1-interacting protein, hAPIP, Methylthioribulose-1-phosphate dehydratase, MTRu-1-P dehydratase
Disclaimer
This product is for research use only. It is not intended for diagnostic or therapeutic use.
Publishing research using Anti-APIP Antibody (A15543)? Please let us know so that we can list the citation on this page.

Alternative products to Anti-APIP Antibody (A15543)

Proteins predicted to interact with APIP

Predicted protein interactions based upon String database. Revelancy score correlates with probability of interaction.
99.9% Relevancy Score
99.2% Relevancy Score
96.9% Relevancy Score
95.9% Relevancy Score
79.3% Relevancy Score
78.9% Relevancy Score
76.2% Relevancy Score
75.7% Relevancy Score
74.3% Relevancy Score