Primary Antibodies
Secondary Antibodies
Proteins & Peptides
ELISA Kits
About Us
Contact Us
Sign In/Register
0
ISO 9001:2015 Certified
Live Customer Support
4.5/5 on Trustpilot
100% Quality Guarantee
Home
Primary Antibodies
APLF Antibodies
Anti-APLF Antibody (A46751)
Anti-APLF Antibody (A46751)
Overview
Specifications
Images
Enlarge Image
Enlarge Image
$430
Rabbit polyclonal antibody to APLF for IHC.
100% Guarantee
Price Match Guarantee
Product Size:
100µl
Quantity:
1
2
3
4
5
6
7
8
9
10
Add To Cart
Request a Quotation
Custom or Bulk Request
Shipping Information
Freight/Packing Charges:
$40
Dispatched from St. Louis, MO.
Lead Time: 6-9 business days.
Specifications
Name
Anti-APLF Antibody
Description
Rabbit polyclonal antibody to APLF
Specificity
The antibody detects endogenous levels of total APLF protein.
Applications
IHC
Reactivity
Human
Immunogen
Fusion protein corresponding to residues near the C terminal of human aprataxin and PNKP like factor
Host
Rabbit
Clonality
Polyclonal
Conjugate
Unconjugated
Purification
Antigen affinity purification.
Concentration
1.8mg / ml
Formulation
Rabbit IgG in pH7.3 PBS, 0.05% NaN3, 50% Glycerol.
Storage
Store at -20˚C
Synonyms
Aprataxin and PNK-like factor, Apurinic-apyrimidinic endonuclease APLF, C2orf13, PALF, PNK and APTX-like FHA domain-containing protein, XIP1, XRCC1-interacting protein 1
Suitable Secondaries
Goat Anti-Rabbit IgG H&L Antibody (AP) (A294874)
Goat Anti-Rabbit IgG H&L Antibody (Biotin) (A294795)
Goat Anti-Rabbit IgG H&L Antibody (FITC) (A294887)
Goat Anti-Rabbit IgG H&L Antibody (HRP) (A294888)
See all Anti-Rabbit IgG Secondaries →
Disclaimer
This product is for research use only. It is not intended for diagnostic or therapeutic use.
Scientific Validation Data
Validation Data
(2)
Enlarge Image
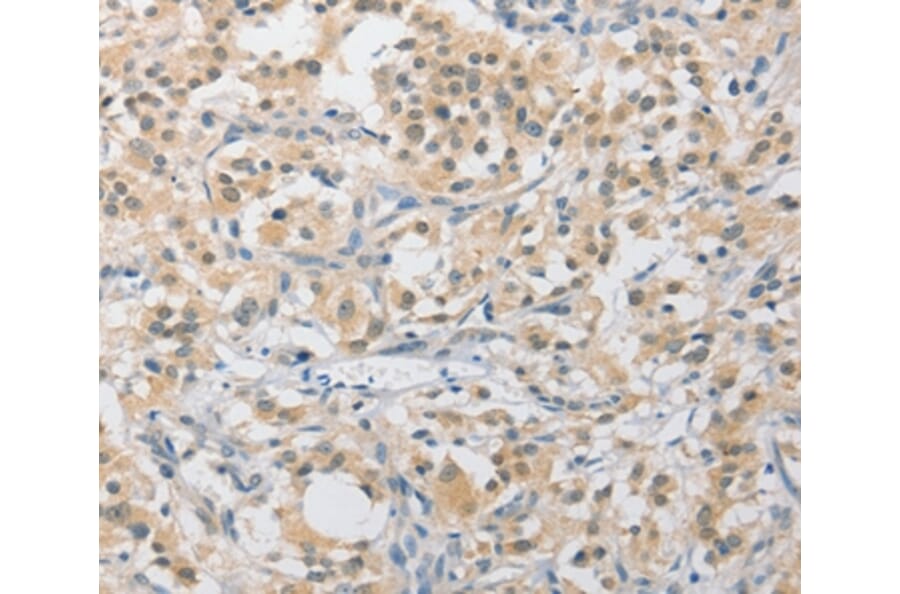
Immunohistochemistry - Anti-APLF Antibody (A46751)
Immunohistochemical analysis of paraffin-embedded Human thyroid cancer tissue using #36118 at dilution 1/40.
Enlarge Image
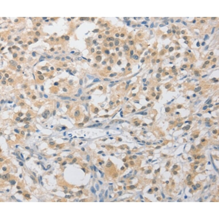
Immunohistochemistry - Anti-APLF Antibody (A46751)
Immunohistochemical analysis of paraffin-embedded Human brain tissue using #36118 at dilution 1/40.
Publishing research using Anti-APLF Antibody (A46751)? Please
let us know
so that we can list the citation on this page.
Alternative products to Anti-APLF Antibody (A46751)
(4)
A98287
Anti-APLF Antibody
Rabbit polyclonal antibody to APLF for WB, IHC and ELISA.
(3)
A36507
Anti-APLF (Ab-116) Antibody
Rabbit polyclonal antibody to APLF (Ab-116) for WB and IHC.
A94834
Anti-APLF (phospho Ser116) Antibody
Rabbit polyclonal antibody to APLF (phospho Ser116) for IHC and ELISA.
A51224
Anti-APLF (Phospho-Ser116) Antibody
Rabbit Polycolonal antibody to APLF (Phospho-Ser116) for WB.
A306743
Anti-APLF Antibody
Rabbit polyclonal antibody to APLF for WB.
(4)
A98287
Anti-APLF Antibody
Rabbit polyclonal antibody to APLF for WB, IHC and ELISA.
(3)
A36507
Anti-APLF (Ab-116) Antibody
Rabbit polyclonal antibody to APLF (Ab-116) for WB and IHC.
A94834
Anti-APLF (phospho Ser116) Antibody
Rabbit polyclonal antibody to APLF (phospho Ser116) for IHC and ELISA.
A51224
Anti-APLF (Phospho-Ser116) Antibody
Rabbit Polycolonal antibody to APLF (Phospho-Ser116) for WB.
A306743
Anti-APLF Antibody
Rabbit polyclonal antibody to APLF for WB.
See all APLF Antibodies
Proteins predicted to interact with APLF
Predicted protein interactions based upon String database. Revelancy score correlates with probability of interaction.
XRCC4 Antibodies
99.9% Relevancy Score
XRCC1 Antibodies
99.9% Relevancy Score
Ku80 Antibodies
99.9% Relevancy Score
Aprataxin Antibodies
99.2% Relevancy Score
Ku70 Antibodies
99.2% Relevancy Score
CHFR Antibodies
97.9% Relevancy Score
DNA Ligase III Antibodies
96.9% Relevancy Score
DNA Ligase IV Antibodies
93.5% Relevancy Score
PARP1 Antibodies
91.9% Relevancy Score
Top