Primary Antibodies
Secondary Antibodies
Proteins & Peptides
ELISA Kits
About Us
Contact Us
Sign In/Register
0
ISO 9001:2015 Certified
Live Customer Support
4.5/5 on Trustpilot
100% Quality Guarantee
Home
Primary Antibodies
APLP1 Antibodies
Anti-APLP1 Antibody (A37784)
Anti-APLP1 Antibody (A37784)
Overview
Specifications
Images
Enlarge Image
Enlarge Image
Enlarge Image
$405
Rabbit polyclonal antibody to APLP1 for WB and IHC.
100% Guarantee
Price Match Guarantee
Product Size:
100µl
Quantity:
1
2
3
4
5
6
7
8
9
10
Add To Cart
Request a Quotation
Custom or Bulk Request
Shipping Information
Freight/Packing Charges:
$40
Dispatched from St. Louis, MO.
Lead Time: 6-9 business days.
Specifications
Name
Anti-APLP1 Antibody
Description
Rabbit polyclonal antibody to APLP1
Specificity
The antibody detects endogenous levels of total APLP1 protein.
Applications
WB
,
IHC
Reactivity
Human
Immunogen
Fusion protein corresponding to a region derived from internal residues of human Amyloid beta (A4) precursor-like protein 1
Host
Rabbit
Clonality
Polyclonal
Conjugate
Unconjugated
Purification
Antigen affinity purification.
Concentration
0.6 mg/ml
Formulation
Rabbit IgG in pH7.3 PBS, 0.05% NaN3, 50% Glycerol.
Storage
Store at -20˚C
Synonyms
A4) precursor-like protein 1, Amyloid beta, Amyloid beta precursor like protein 1, Amyloid-like protein 1, APLP, APLP-1
Suitable Secondaries
Goat Anti-Rabbit IgG H&L Antibody (AP) (A294874)
Goat Anti-Rabbit IgG H&L Antibody (Biotin) (A294795)
Goat Anti-Rabbit IgG H&L Antibody (FITC) (A294887)
Goat Anti-Rabbit IgG H&L Antibody (HRP) (A294888)
See all Anti-Rabbit IgG Secondaries →
Disclaimer
This product is for research use only. It is not intended for diagnostic or therapeutic use.
Scientific Validation Data
Validation Data
(3)
Enlarge Image
Anti-APLP1 Antibody (A37784)
Gel: 8% SDS-PAGE Lysates (from left to right): Human fetal brain tissue Amount of lysate: 40ug per lane Primary antibody: 1/650 dilution Secondary antibody dilution: 1/8000 Exposure time: 10 seconds
Enlarge Image
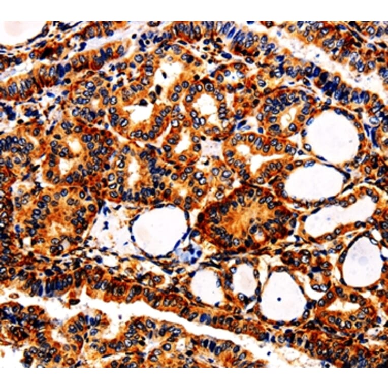
Immunohistochemistry - Anti-APLP1 Antibody (A37784)
Immunohistochemical analysis of paraffin-embedded Human thyroid cancer tissue using #35569 at dilution 1/25.
Enlarge Image
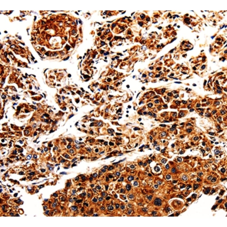
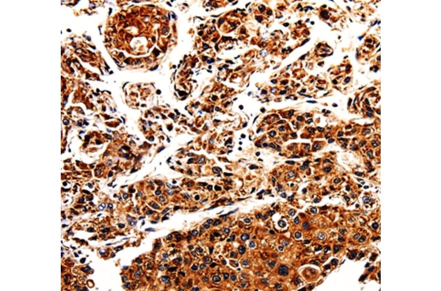
Immunohistochemistry - Anti-APLP1 Antibody (A37784)
Immunohistochemical analysis of paraffin-embedded Human liver cancer tissue using #35569 at dilution 1/25.
Publishing research using Anti-APLP1 Antibody (A37784)? Please
let us know
so that we can list the citation on this page.
Alternative products to Anti-APLP1 Antibody (A37784)
(4)
A15404
Anti-APLP1 Antibody
Rabbit polyclonal antibody to APLP1 for WB, IHC and ICC/IF.
(3)
A14107
Anti-APLP1 Antibody
Rabbit polyclonal antibody to APLP1 for WB and ICC/IF.
(2)
A39731
Anti-APLP1 Antibody
Rabbit polyclonal antibody to APLP1 for WB and IF.
A30596
Anti-APLP1 Antibody
Rabbit polyclonal antibody to APLP1 for WB and IHC.
(2)
A309280
Anti-APLP1 Antibody [ARC60846]
Rabbit monoclonal [ARC60846] antibody to APLP1 for WB.
(4)
A15404
Anti-APLP1 Antibody
Rabbit polyclonal antibody to APLP1 for WB, IHC and ICC/IF.
(3)
A14107
Anti-APLP1 Antibody
Rabbit polyclonal antibody to APLP1 for WB and ICC/IF.
(2)
A39731
Anti-APLP1 Antibody
Rabbit polyclonal antibody to APLP1 for WB and IF.
A30596
Anti-APLP1 Antibody
Rabbit polyclonal antibody to APLP1 for WB and IHC.
(2)
A309280
Anti-APLP1 Antibody [ARC60846]
Rabbit monoclonal [ARC60846] antibody to APLP1 for WB.
See all APLP1 Antibodies
Proteins predicted to interact with APLP1
Predicted protein interactions based upon String database. Revelancy score correlates with probability of interaction.
FE65 Antibodies
98.6% Relevancy Score
APBB2 Antibodies
93.3% Relevancy Score
CNTN5 Antibodies
92.9% Relevancy Score
BACE1 Antibodies
81.7% Relevancy Score
APBB3 Antibodies
79.6% Relevancy Score
APBA1 Antibodies
78.2% Relevancy Score
JIP1 Antibodies
73.1% Relevancy Score
F-Spondin Antibodies
72.1% Relevancy Score
Presenilin 1 Antibodies
71.6% Relevancy Score
Top