Primary Antibodies
Secondary Antibodies
Proteins & Peptides
ELISA Kits
About Us
Contact Us
Sign In/Register
0
ISO 9001:2015 Certified
Live Customer Support
4.5/5 on Trustpilot
100% Quality Guarantee
Home
Primary Antibodies
APMAP Antibodies
Anti-APMAP Antibody (A38000)
Anti-APMAP Antibody (A38000)
Overview
Specifications
Images
Enlarge Image
Enlarge Image
$430
Product Datasheet
Rabbit polyclonal antibody to APMAP for WB and IHC.
100% Guarantee
Price Match Guarantee
Product Size:
100µl
Quantity:
1
2
3
4
5
6
7
8
9
10
Add To Cart
Request a Quotation
Custom or Bulk Request
Shipping Information
Freight/Packing Charges:
$40
Dispatched from St. Louis, MO.
Lead Time: 6-9 business days.
Specifications
Name
Anti-APMAP Antibody
Description
Rabbit polyclonal antibody to APMAP
Specificity
The antibody detects endogenous levels of total APMAP protein.
Applications
WB
,
IHC
Reactivity
Human
Immunogen
Synthetic peptide corresponding to residues near the N terminal of human adipocyte plasma membrane associated protein
Host
Rabbit
Clonality
Polyclonal
Conjugate
Unconjugated
Purification
Antigen affinity purification.
Concentration
1.6 mg/mL
Formulation
Supplied in PBS, pH 7.3, containing 0.05% sodium azide and 50% glycerol.
Storage
Shipped at 4°C. Upon delivery aliquot and store at -20°C. Avoid freeze/thaw cycles.
Synonyms
Adipocyte plasma membrane-associated protein, C20orf3, Protein BSCv
Suitable Secondaries
Goat Anti-Rabbit IgG H&L Antibody (AP) (A294874)
Goat Anti-Rabbit IgG H&L Antibody (Biotin) (A294795)
Goat Anti-Rabbit IgG H&L Antibody (FITC) (A294887)
Goat Anti-Rabbit IgG H&L Antibody (HRP) (A294888)
See all Anti-Rabbit IgG Secondaries →
Disclaimer
This product is for research use only. It is not intended for diagnostic or therapeutic use.
Scientific Validation Data
Validation Data
(2)
Enlarge Image
Anti-APMAP Antibody (A38000)
Gel: 8% SDS-PAGE Lysates (from left to right): Human placenta and fetal liver tissue,231 cell Amount of lysate: 40ug per lane Primary antibody: 1/400 dilution Secondary antibody dilution: 1/8000 Exposure time: 1 minute
Enlarge Image
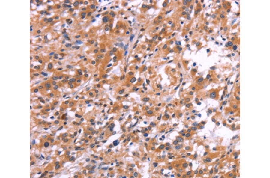
Immunohistochemistry - Anti-APMAP Antibody (A38000)
Immunohistochemical analysis of paraffin-embedded Human thyroid cancer tissue using #37112 at dilution 1/30.
Publishing research using Anti-APMAP Antibody (A38000)? Please
let us know
so that we can list the citation on this page.
Alternative products to Anti-APMAP Antibody (A38000)
A321386
Anti-APMAP Antibody [OTI4F6]
Mouse monoclonal [OTI4F6] antibody to APMAP for Flow Cytometry, IHC and WB.
A321385
Anti-APMAP Antibody [OTI4F6] - BSA and Azide free
Mouse monoclonal [OTI4F6] antibody to APMAP for Flow Cytometry, IHC and WB.
A344538
Anti-APMAP Antibody [24GB6450]
Mouse monoclonal [24GB6450] antibody to APMAP for WB and Flow Cytometry.
A344539
Anti-APMAP Antibody [25GB1050]
Mouse monoclonal [25GB1050] antibody to APMAP for WB, Flow Cytometry and ICC/IF.
A344537
Anti-APMAP Antibody [24GB6435]
Mouse monoclonal [24GB6435] antibody to APMAP for WB and Flow Cytometry.
A321386
Anti-APMAP Antibody [OTI4F6]
Mouse monoclonal [OTI4F6] antibody to APMAP for Flow Cytometry, IHC and WB.
A321385
Anti-APMAP Antibody [OTI4F6] - BSA and Azide free
Mouse monoclonal [OTI4F6] antibody to APMAP for Flow Cytometry, IHC and WB.
A344538
Anti-APMAP Antibody [24GB6450]
Mouse monoclonal [24GB6450] antibody to APMAP for WB and Flow Cytometry.
A344539
Anti-APMAP Antibody [25GB1050]
Mouse monoclonal [25GB1050] antibody to APMAP for WB, Flow Cytometry and ICC/IF.
A344537
Anti-APMAP Antibody [24GB6435]
Mouse monoclonal [24GB6435] antibody to APMAP for WB and Flow Cytometry.
See all APMAP Antibodies
Proteins predicted to interact with APMAP
Predicted protein interactions based upon String database. Revelancy score correlates with probability of interaction.
RPL23A Antibodies
81.8% Relevancy Score
IF-2(Mt) Antibodies
78.4% Relevancy Score
eIF5B Antibodies
78.1% Relevancy Score
MRPL20 Antibodies
76.1% Relevancy Score
RPS9 Antibodies
75.6% Relevancy Score
POLR2C Antibodies
74.1% Relevancy Score
MRPL17 Antibodies
73.1% Relevancy Score
POLR1C Antibodies
73.1% Relevancy Score
CUL-7 Antibodies
71.5% Relevancy Score
Top