Western Blot - Anti-APOBEC3G/A3G Antibody (A92465)
Western blot analysis of extracts of PC-3 cells, using Anti-APOBEC3G/A3G Antibody (A92465) at 1:1,000 dilution. The secondary antibody was Goat Anti-Rabbit IgG H&L Antibody (HRP) at 1:10,000 dilution. Lysates/proteins were present at 25µg per lane. The blocking buffer used was 3% non-fat dry milk in TBST. Detection was with a ECL Basic Kit. Exposure time: 180s.
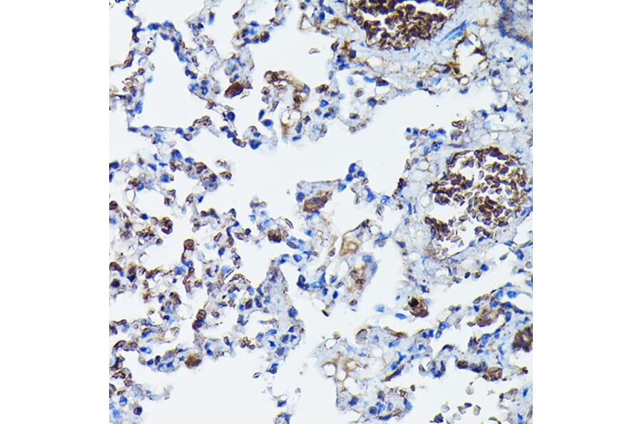
Immunohistochemistry analysis of paraffin-embedded rat lung using Anti-APOBEC3G/A3G Antibody (A92465) at a dilution of 1:100 (40x lens). Perform high pressure antigen retrieval with 10 mM citrate buffer pH 6.0 before commencing with IHC staining protocol.
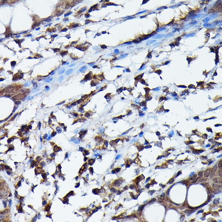
Immunohistochemistry analysis of paraffin-embedded human colon tissue using Anti-APOBEC3G/A3G Antibody (A92465) at a dilution of 1:100 (40x lens). Perform high pressure antigen retrieval with 10 mM citrate buffer pH 6.0 before commencing with IHC staining protocol.
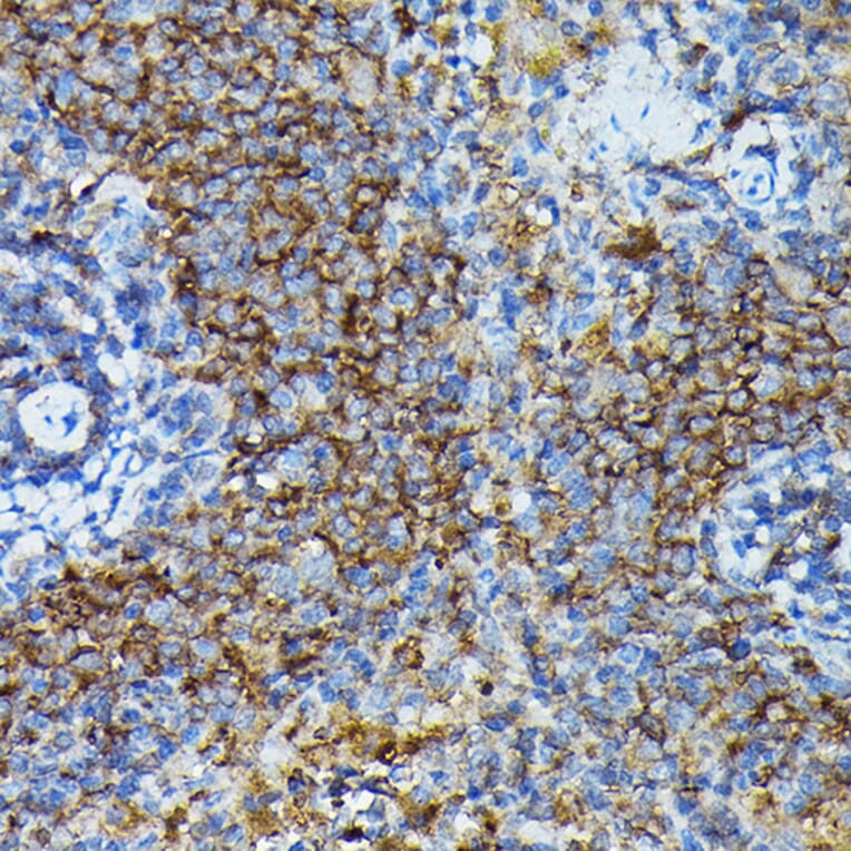
Immunohistochemistry analysis of paraffin-embedded mouse spleen using Anti-APOBEC3G/A3G Antibody (A92465) at a dilution of 1:100 (40x lens). Perform high pressure antigen retrieval with 10 mM citrate buffer pH 6.0 before commencing with IHC staining protocol.
Immunofluorescence analysis of C6 cells using Anti-APOBEC3G/A3G Antibody (A92465) at a dilution of 1:100 (40x lens). DAPI was used to stain the cell nuclei (blue).