ISO 9001:2015 Certified
Live Customer Support
4.5/5 on Trustpilot
100% Quality Guarantee

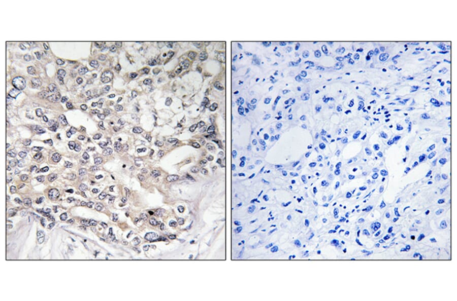
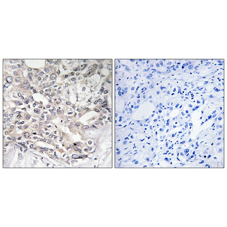
Anti-APOL5 Antibody (A99679)

Rabbit polyclonal antibody to APOL5 for IHC, IF and ELISA.

Shipping Information

$40
Dispatched from St. Louis, MO.
Lead Time: 6-8 business days.
Name
Anti-APOL5 Antibody
Description
Rabbit polyclonal antibody to APOL5.
Applications
IHC, IF, ELISA
Dilutions
IHC: 1:50~1:100, IF: 1:100~1:500, ELISA: 1:40000
Reactivity
Human, Rat, Mouse
Cross Reactivity
No reported cross-reactivity.
Immunogen
Synthetic peptide derived from human APOL5 (amino acids 384-433).
Host
Rabbit
Clonality
Polyclonal
Isotype
IgG
Conjugate

Unconjugated

Purification
Purified from rabbit serum by antigen affinity chromatography using the immunizing peptide.
Molecular Weight
47kDa
Product Form
Liquid
Formulation
Supplied in Phosphate Buffered Saline (without Mg2+ and Ca2+), pH 7.4, with 150mM NaCl, 0.02% Sodium Azide, and 50% Glycerol.
Storage
Shipped at 4°C. Upon delivery aliquot and store at -20°C. Avoid freeze / thaw cycles.
Synonyms
ApoL-V, APOL5, Apolipoprotein L-V, Apolipoprotein L5
Disclaimer
This product is for research use only. It is not intended for diagnostic or therapeutic use.
Publishing research using Anti-APOL5 Antibody (A99679)? Please let us know so that we can list the citation on this page.

Alternative products to Anti-APOL5 Antibody (A99679)

Proteins predicted to interact with Apolipoprotein L 5

Predicted protein interactions based upon String database. Revelancy score correlates with probability of interaction.
64.9% Relevancy Score
43.3% Relevancy Score
42.6% Relevancy Score
41.1% Relevancy Score
39.4% Relevancy Score
37.8% Relevancy Score
37.1% Relevancy Score
37.1% Relevancy Score
36.1% Relevancy Score