Primary Antibodies
Secondary Antibodies
Proteins & Peptides
ELISA Kits
About Us
Contact Us
Sign In/Register
0
ISO 9001:2015 Certified
Live Customer Support
4.5/5 on Trustpilot
100% Quality Guarantee
Home
Primary Antibodies
APOL6 Antibodies
Anti-APOL6 Antibody (A46191)
Anti-APOL6 Antibody (A46191)
Overview
Specifications
Images
Enlarge Image
$430
Product Datasheet
Rabbit polyclonal antibody to APOL6 for IHC.
100% Guarantee
Price Match Guarantee
Product Size:
100µl
Quantity:
1
2
3
4
5
6
7
8
9
10
Add To Cart
Request a Quotation
Custom or Bulk Request
Shipping Information
Freight/Packing Charges:
$40
Dispatched from St. Louis, MO.
Lead Time: 6-9 business days.
Specifications
Name
Anti-APOL6 Antibody
Description
Rabbit polyclonal antibody to APOL6
Specificity
The antibody detects endogenous levels of total APOL6 protein.
Applications
IHC
Reactivity
Human
Immunogen
Synthetic peptide corresponding to a region derived from internal residues of human apolipoprotein L, 6
Host
Rabbit
Clonality
Polyclonal
Conjugate
Unconjugated
Purification
Antigen affinity purification.
Concentration
2.2 mg/mL
Formulation
Supplied in PBS, pH 7.3, containing 0.05% sodium azide and 50% glycerol.
Storage
Shipped at 4°C. Upon delivery aliquot and store at -20°C. Avoid freeze/thaw cycles.
Synonyms
ApoL-VI, Apolipoprotein L-VI, Apolipoprotein L6
Suitable Secondaries
Goat Anti-Rabbit IgG H&L Antibody (AP) (A294874)
Goat Anti-Rabbit IgG H&L Antibody (Biotin) (A294795)
Goat Anti-Rabbit IgG H&L Antibody (FITC) (A294887)
Goat Anti-Rabbit IgG H&L Antibody (HRP) (A294888)
See all Anti-Rabbit IgG Secondaries →
Disclaimer
This product is for research use only. It is not intended for diagnostic or therapeutic use.
Scientific Validation Data
Validation Data
(1)
Enlarge Image
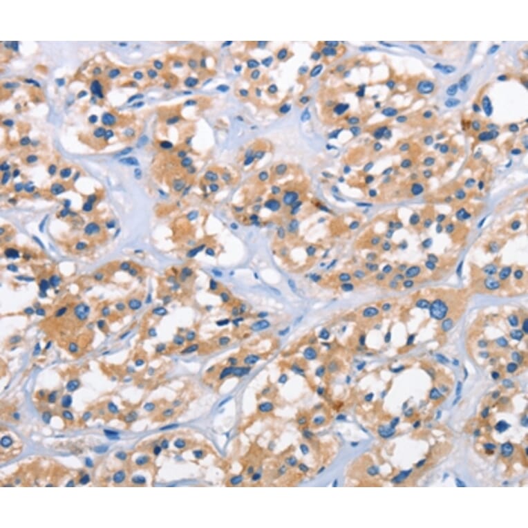
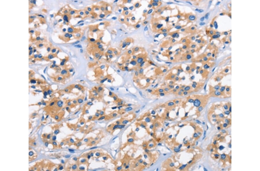
Immunohistochemistry - Anti-APOL6 Antibody (A46191)
Immunohistochemical analysis of paraffin-embedded Human thyroid cancer tissue using #37425 at dilution 1/50.
Publishing research using Anti-APOL6 Antibody (A46191)? Please
let us know
so that we can list the citation on this page.
Alternative products to Anti-APOL6 Antibody (A46191)
(2)
A84556
Anti-APOL6 Antibody
Goat polyclonal antibody to APOL6 for ELISA, WB and IHC.
A326216
Anti-APOL6 Antibody
Goat polyclonal antibody to APOL6 for ELISA and WB.
A84593
Anti-APOL6 Antibody
Goat polyclonal antibody to APOL6 for ELISA and WB.
(2)
A84556
Anti-APOL6 Antibody
Goat polyclonal antibody to APOL6 for ELISA, WB and IHC.
A326216
Anti-APOL6 Antibody
Goat polyclonal antibody to APOL6 for ELISA and WB.
A84593
Anti-APOL6 Antibody
Goat polyclonal antibody to APOL6 for ELISA and WB.
Proteins predicted to interact with APOL6
Predicted protein interactions based upon String database. Revelancy score correlates with probability of interaction.
COMT Antibodies
76.7% Relevancy Score
GBP5 Antibodies
64% Relevancy Score
APOL1 Antibodies
59.1% Relevancy Score
GBP1 Antibodies
55.9% Relevancy Score
GBP4 Antibodies
55.1% Relevancy Score
RARRES3 Antibodies
54.1% Relevancy Score
IFI44 Antibodies
53.3% Relevancy Score
OAS2 Antibodies
52.3% Relevancy Score
STAT1 Antibodies
51.7% Relevancy Score
Top