ISO 9001:2015 Certified
Live Customer Support
4.5/5 on Trustpilot
100% Quality Guarantee

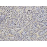
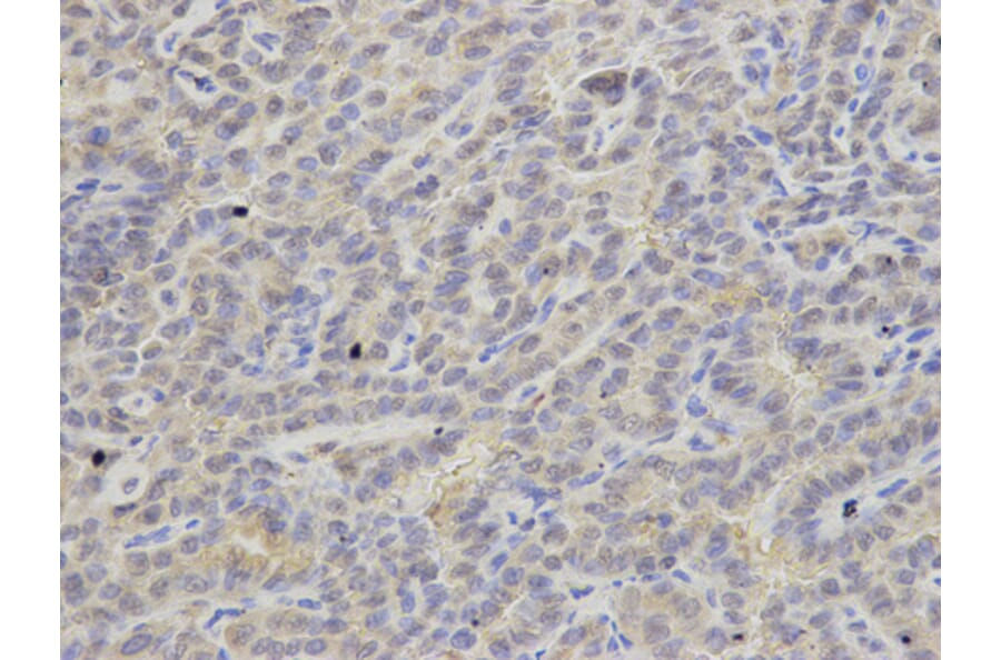
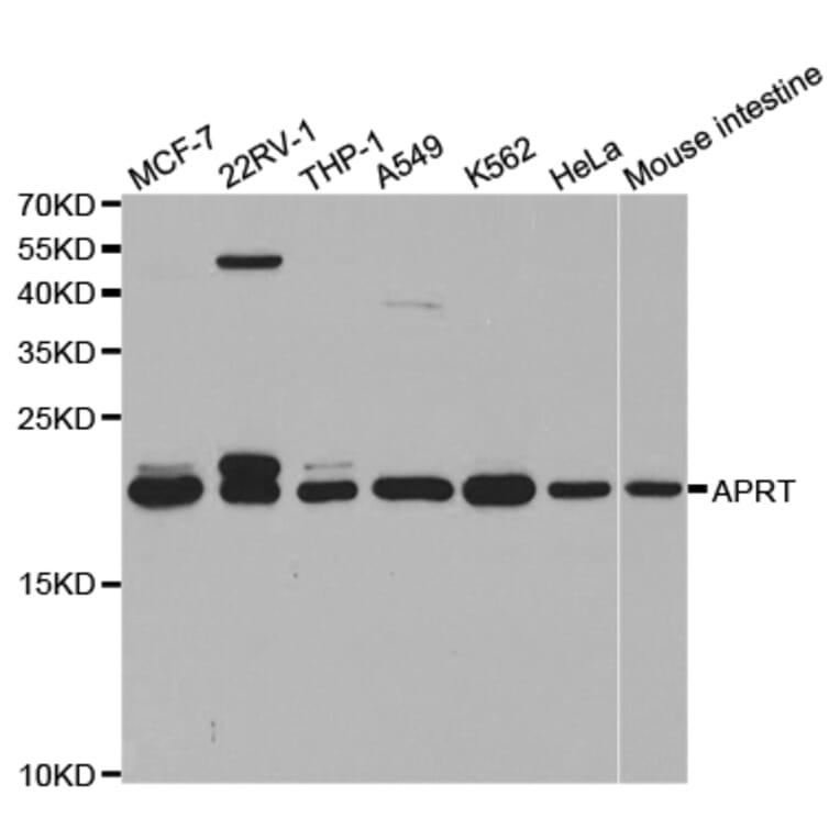
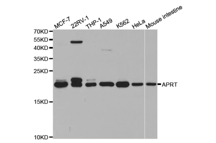
Anti-APRT Antibody (A30787)

Rabbit polyclonal antibody to APRT for WB, IHC and IF.

Shipping Information

$40
Dispatched from St. Louis, MO.
Lead Time: 7-10 business days.
Name
Anti-APRT Antibody
Description
Rabbit polyclonal antibody to APRT
Specificity
APRT pAb detects endogenous levels of APRT protein.
Applications
WB, IHC, IF
Reactivity
Human, Mouse, Rat
Immunogen
Recombinant full length Human APRT.
Host
Rabbit
Clonality
Polyclonal
Conjugate

Unconjugated

Molecular Weight
~19 kDa
Purity
The antibody was affinity-purified from rabbit antiserum by affinity-chromatography using epitope-specific immunogen and the purity is > 95% (by SDS-PAGE).
Product Form
1mg/ml in PBS with 0.1% Sodium Azide, 50% Glycerol.
Synonyms
Adenine phosphoribosyltransferase
Disclaimer
This product is for research use only. It is not intended for diagnostic or therapeutic use.
Publishing research using Anti-APRT Antibody (A30787)? Please let us know so that we can list the citation on this page.

Alternative products to Anti-APRT Antibody (A30787)

Proteins predicted to interact with APRT

Predicted protein interactions based upon String database. Revelancy score correlates with probability of interaction.
99.6% Relevancy Score
99.5% Relevancy Score
99.4% Relevancy Score
98.9% Relevancy Score
98.6% Relevancy Score
98.6% Relevancy Score
98.6% Relevancy Score