ISO 9001:2015 Certified
Live Customer Support
4.5/5 on Trustpilot
100% Quality Guarantee

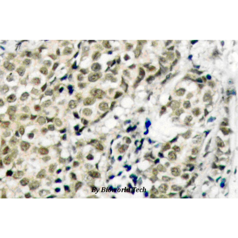
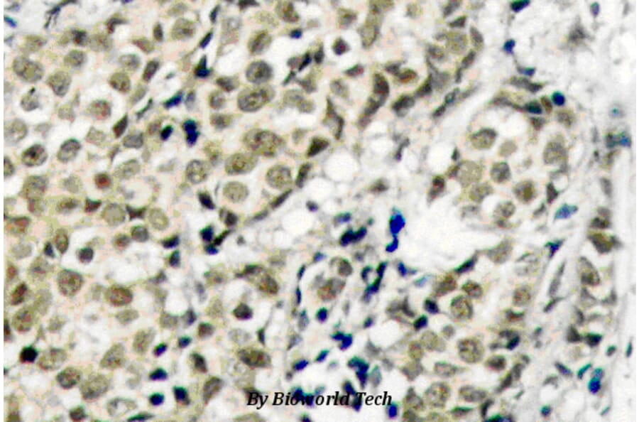
Anti-AR (G207) Antibody (A25042)

$390

Rabbit polyclonal antibody to AR (G207) for IHC.

Shipping Information

$40
Dispatched from St. Louis, MO.
Lead Time: 7-10 business days.
Name
Anti-AR (G207) Antibody
Description
Rabbit polyclonal antibody to AR (G207)
Specificity
AR (G207) pAb detects endogenous levels of Androgen Receptor protein.
Applications
IHC
Reactivity
Human
Immunogen
Synthetic peptide, corresponding to amino acids 171-220 of Human AR.
Host
Rabbit
Clonality
Polyclonal
Conjugate

Unconjugated

Molecular Weight
~ 110 kDa
Purity
The antibody was affinity-purified from rabbit antiserum by affinity-chromatography using epitope-specific immunogen and the purity is > 95% (by SDS-PAGE).
Product Form
1 mg/ml in Phosphate buffered saline (PBS) with 0.05% sodium azide, approx. pH 7.2.
Synonyms
AIS, Androgen nuclear receptor variant 2, Androgen Receptor, Androgen receptor (dihydrotestosterone receptor; testicular feminization; spinal and bulbar muscular atrophy; Kennedy disease), androgen receptor splice variant 4b, ANDR_HUMAN, AR8, DHTR, Dihydro testosterone receptor, Dihydrotestosterone receptor, Dihydrotestosterone receptor (DHTR), HUMARA, HYSP1, KD, Kennedy disease (KD), NR3C4, Nuclear receptor subfamily 3 group C member 4, Nuclear receptor subfamily 3 group C member 4 (NR3C4), SBMA, SMAX1, Spinal and bulbar muscular atrophy, Spinal and bulbar muscular atrophy (SBMA), Testicular Feminization (TFM), TFM
Disclaimer
This product is for research use only. It is not intended for diagnostic or therapeutic use.
Publishing research using Anti-AR (G207) Antibody (A25042)? Please let us know so that we can list the citation on this page.