ISO 9001:2015 Certified
Live Customer Support
4.5/5 on Trustpilot
100% Quality Guarantee

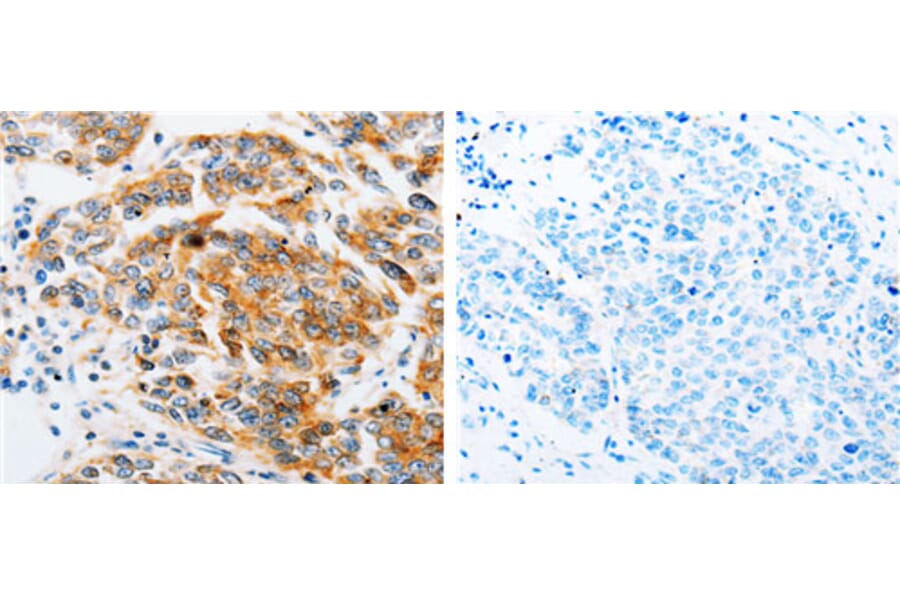
Anti-ARF6 Antibody (A48482)

Rabbit polyclonal antibody to ARF6 for ELISA, WB and IHC.

Shipping Information

$40
Dispatched from St. Louis, MO.
Lead Time: 6-9 business days.
Name
Anti-ARF6 Antibody
Description
Rabbit polyclonal antibody to ARF6
Specificity
The antibody detects endogenous level of total ARF6 protein.
Applications
ELISA, WB, IHC
Reactivity
Human, Mouse, Rat
Immunogen
Synthetic peptide corresponding to a region derived from 162-175 amino acids of Human ADP-ribosylation factor 6
Host
Rabbit
Clonality
Polyclonal
Conjugate

Unconjugated

Formulation
Supplied in phosphate-buffered saline (without Mg²? and Ca²?), pH 7.3, containing 150 mM NaCl, 0.05% sodium azide, and 50% glycerol.
Storage
Shipped at 4°C. Upon delivery aliquot and store at -20°C. Avoid freeze/thaw cycles.
Synonyms
ADP-ribosylation factor 6
Disclaimer
This product is for research use only. It is not intended for diagnostic or therapeutic use.
Publishing research using Anti-ARF6 Antibody (A48482)? Please let us know so that we can list the citation on this page.

Alternative products to Anti-ARF6 Antibody (A48482)

Proteins predicted to interact with ARF6

Predicted protein interactions based upon String database. Revelancy score correlates with probability of interaction.
99.8% Relevancy Score
99.8% Relevancy Score
99.6% Relevancy Score
99.5% Relevancy Score
98.6% Relevancy Score
98.5% Relevancy Score
98.3% Relevancy Score
98.3% Relevancy Score
98.2% Relevancy Score