Primary Antibodies
Secondary Antibodies
Proteins & Peptides
ELISA Kits
About Us
Contact Us
Sign In/Register
0
ISO 9001:2015 Certified
Live Customer Support
4.5/5 on Trustpilot
100% Quality Guarantee
Home
Primary Antibodies
ARFGAP1 Antibodies
Anti-ARFGAP1 Antibody (A36838)
Anti-ARFGAP1 Antibody (A36838)
Overview
Specifications
Images
Enlarge Image
Enlarge Image
$430
Product Datasheet
Rabbit polyclonal antibody to ARFGAP1 for WB and IHC.
100% Guarantee
Price Match Guarantee
Product Size:
100µl
Quantity:
1
2
3
4
5
6
7
8
9
10
Add To Cart
Request a Quotation
Custom or Bulk Request
Shipping Information
Freight/Packing Charges:
$40
Dispatched from St. Louis, MO.
Lead Time: 6-9 business days.
Specifications
Name
Anti-ARFGAP1 Antibody
Description
Rabbit polyclonal antibody to ARFGAP1
Specificity
The antibody detects endogenous levels of total ARFGAP1 protein.
Applications
WB
,
IHC
Reactivity
Human, Mouse
Immunogen
Fusion protein corresponding to a region derived from internal residues of human ADP-ribosylation factor GTPase activating protein 1
Host
Rabbit
Clonality
Polyclonal
Conjugate
Unconjugated
Purification
Antigen affinity purification.
Concentration
1.2 mg/mL
Formulation
Supplied in PBS, pH 7.3, containing 0.05% sodium azide and 50% glycerol.
Storage
Shipped at 4°C. Upon delivery aliquot and store at -20°C. Avoid freeze/thaw cycles.
Synonyms
ADP-ribosylation factor 1 GTPase-activating protein, ADP-ribosylation factor GTPase-activating protein 1, ARF GAP 1, ARF1 GAP, ARF1-directed GTPase-activating protein, ARF1GAP
Suitable Secondaries
Goat Anti-Rabbit IgG H&L Antibody (AP) (A294874)
Goat Anti-Rabbit IgG H&L Antibody (Biotin) (A294795)
Goat Anti-Rabbit IgG H&L Antibody (FITC) (A294887)
Goat Anti-Rabbit IgG H&L Antibody (HRP) (A294888)
See all Anti-Rabbit IgG Secondaries →
Disclaimer
This product is for research use only. It is not intended for diagnostic or therapeutic use.
Scientific Validation Data
Validation Data
(2)
Enlarge Image
Anti-ARFGAP1 Antibody (A36838)
Gel: 10% SDS-PAGE Lysates (from left to right): 293T, A549, PC3 and NIH/3T3 cell Amount of lysate: 40ug per lane Primary antibody: 1/600 dilution Secondary antibody dilution: 1/8000 Exposure time: 10 seconds
Enlarge Image
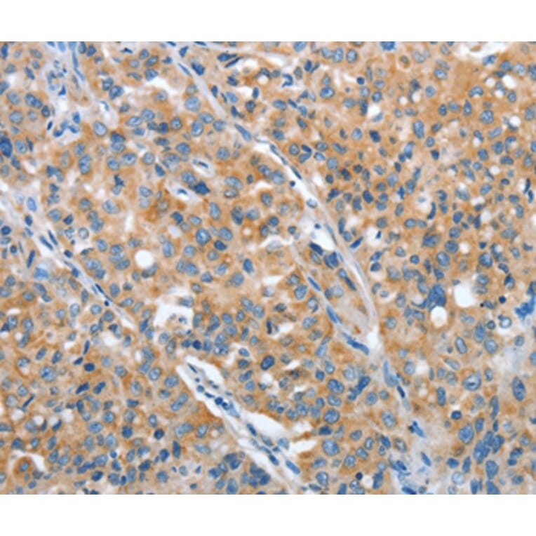
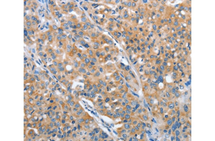
Immunohistochemistry - Anti-ARFGAP1 Antibody (A36838)
Immunohistochemical analysis of paraffin-embedded Human lung cancer tissue using #36127 at dilution 1/30.
Publishing research using Anti-ARFGAP1 Antibody (A36838)? Please
let us know
so that we can list the citation on this page.
Alternative products to Anti-ARFGAP1 Antibody (A36838)
(3)
A95571
Anti-ARFGAP1 Antibody
Rabbit polyclonal antibody to ARFGAP1 for WB, IHC, IF and ELISA.
A31886
Anti-ARFGAP1 Antibody
Rabbit polyclonal antibody to ARFGAP1 for WB, IHC and IF.
A82800
Anti-ARFGAP1 Antibody
Goat polyclonal antibody to ARFGAP1 for ELISA and WB.
A15553
Anti-ARFGAP1 Antibody
Rabbit polyclonal antibody to ARFGAP1 for WB.
(3)
A95571
Anti-ARFGAP1 Antibody
Rabbit polyclonal antibody to ARFGAP1 for WB, IHC, IF and ELISA.
A31886
Anti-ARFGAP1 Antibody
Rabbit polyclonal antibody to ARFGAP1 for WB, IHC and IF.
A82800
Anti-ARFGAP1 Antibody
Goat polyclonal antibody to ARFGAP1 for ELISA and WB.
A15553
Anti-ARFGAP1 Antibody
Rabbit polyclonal antibody to ARFGAP1 for WB.
Proteins predicted to interact with ARFGAP1
Predicted protein interactions based upon String database. Revelancy score correlates with probability of interaction.
ARF1 Antibodies
98.9% Relevancy Score
GCS1 Antibodies
96% Relevancy Score
ZNF289 Antibodies
89.9% Relevancy Score
ARF6 Antibodies
89% Relevancy Score
ARFGAP3 Antibodies
88.9% Relevancy Score
GBF1 Antibodies
80.9% Relevancy Score
ARF5 Antibodies
79.5% Relevancy Score
AP2B1 Antibodies
76.8% Relevancy Score
EDC4 Antibodies
76.7% Relevancy Score
Top