ISO 9001:2015 Certified
Live Customer Support
4.5/5 on Trustpilot
100% Quality Guarantee

Anti-Arginase 1 Antibody [ARG1/1125] - BSA and Azide free (A252296)

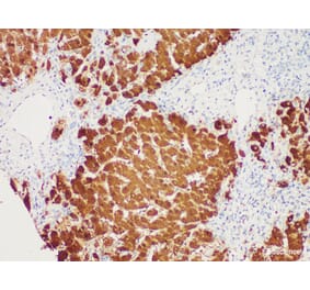
Mouse monoclonal [ARG1/1125] antibody to Arginase 1 for WB and IHC-P.

Alternative Formats and ConjugatesAlternative Formats

Shipping Information

$40
Dispatched from St. Louis, MO.
Lead Time: 5-8 business days.
Name
Anti-Arginase 1 Antibody [ARG1/1125] - BSA and Azide free
Description
Mouse monoclonal [ARG1/1125] antibody to Arginase 1.
Specificity
This antibody recognizes a protein of 35-38kDa, which is identified as Arginase 1 (ARG1). Arginase is a manganese metallo-enzyme that catalyzes the hydrolysis of arginine to generate ornithine and urea. Arginase I and II are isoenzymes which differ in subcellular localization, regulation, and possibly function. Arginase I is a cytosolic enzyme, which is expressed mainly in the liver as part of the urea cycle, whereas arginase II is a mitochondrial protein found in a variety of tissues. Antibody to ARG-1 labels hepatocytes in normal tissues and granulocytes in peripheral blood. ARG-1 is a sensitive and specific marker for identification of hepatocellular carcinoma.
Applications
WB, IHC-P
Dilutions
WB: 1-2 µg/ml, IHC-P: 2-4 µg/ml
Reactivity
Human
Immunogen
Recombinant fragment, around amino acids 11-97, of human ARG1 protein. The exact sequence is proprietary.
Host
Mouse
Clonality
Monoclonal
Clone ID
ARG1/1125
Isotype
IgG3
Light Chains
kappa
Conjugate

Unconjugated

Purification
Protein A/G chromatography.
Concentration
1 mg/ml
Molecular Weight
35-38 kDa
Product Form
Liquid
Formulation
Supplied in 10mM Phosphate Buffered Saline; without Sodium Azide and carrier free.
Storage
Shipped at 4°C. Store at 4°C.
General Notes
This monoclonal antibody is also available in a different formulation with BSA and Sodium Azide - Anti-Arginase 1 Antibody [ARG1/1125] (A249116).
Synonyms
ARG1, Arginase-1, Liver-type arginase, Type I arginase
Isotype Controls
Disclaimer
This product is for research use only. It is not intended for diagnostic or therapeutic use.
Publishing research using Anti-Arginase 1 Antibody [ARG1/1125] - BSA and Azide free (A252296)? Please let us know so that we can list the citation on this page.

Alternative products to Anti-Arginase 1 Antibody [ARG1/1125] - BSA and Azide free (A252296)

Proteins predicted to interact with Arginase 1

Predicted protein interactions based upon String database. Revelancy score correlates with probability of interaction.
99.3% Relevancy Score
98% Relevancy Score
95.9% Relevancy Score
95.1% Relevancy Score
93.8% Relevancy Score
93.3% Relevancy Score