ISO 9001:2015 Certified
Live Customer Support
4.5/5 on Trustpilot
100% Quality Guarantee

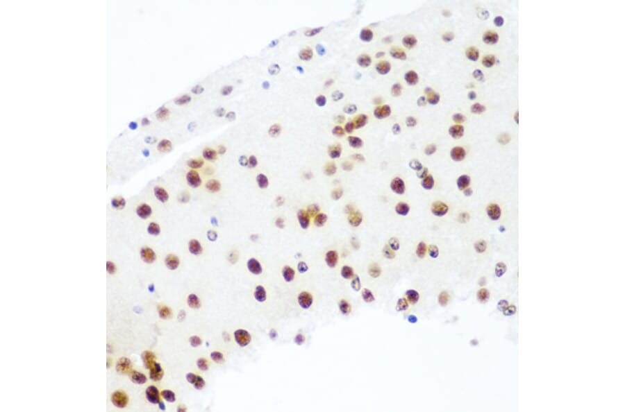
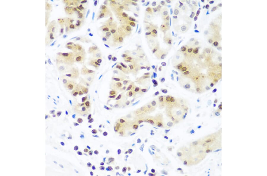
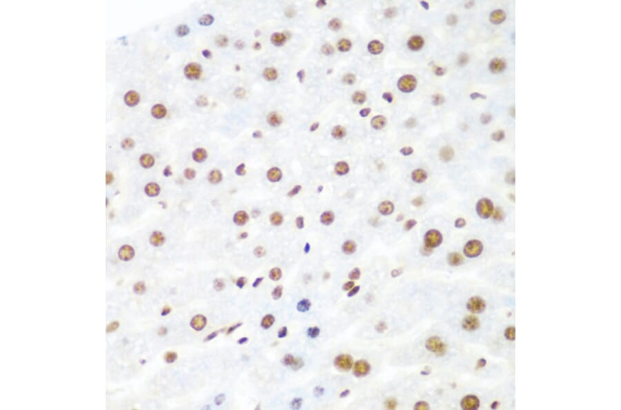
Anti-Argonaute-2 Antibody (A91467)

Rabbit polyclonal antibody to Argonaute-2 for WB and IHC.

Shipping Information

$40
Dispatched from St. Louis, MO.
Lead Time: 7-10 business days.
Name
Anti-Argonaute-2 Antibody
Description
Rabbit polyclonal antibody to Argonaute-2.
Applications
WB, IHC
Dilutions
WB: 1:500-1:1,000, IHC: 1:50-1:200
Reactivity
Human, Mouse, Rat
Immunogen
A synthetic peptide corresponding to a sequence within amino acids 1-100 of human Argonaute-2 (NP_036286.2).
Sequence
MYSGAGPALAPPAPPPPIQGYAFKPPPRPDFGTSGRTIKLQANFFEMDIPKIDIYHYELDIKPEKCPRRVNREIVEHMVQHFKTQIFGDRKPVFDGRKNL
Host
Rabbit
Clonality
Polyclonal
Isotype
IgG
Conjugate

Unconjugated

Purification
Affinity purification.
Concentration
Lot Specific
Molecular Weight
97 kDa
Product Form
Liquid
Formulation
Supplied in Phosphate Buffered Saline, pH 7.3, with 50% Glycerol and 0.02% Sodium Azide.
Storage
Shipped at 4°C. Upon delivery aliquot and store at -20°C. Avoid freeze/thaw cycles.
Synonyms
Ago 2, AGO2_HUMAN, Argonaute 2, argonaute 2, RISC catalytic component, Argonaute RISC catalytic component 2, Argonaute2, CTA-204B4.6, dAgo2, eIF 2C 2, eIF-2C 2, eIF2C 2, Eif2c2, Eukaryotic translation initiation factor 2C 2, Eukaryotic translation initiation factor 2C subunit 2, hAgo2, MGC3183, PAZ Piwi domain protein, PPD, Protein argonaute-2, Protein slicer, Q10, Slicer protein
Disclaimer
This product is for research use only. It is not intended for diagnostic or therapeutic use.
Publishing research using Anti-Argonaute-2 Antibody (A91467)? Please let us know so that we can list the citation on this page.

Alternative products to Anti-Argonaute-2 Antibody (A91467)