ISO 9001:2015 Certified
Live Customer Support
4.5/5 on Trustpilot
100% Quality Guarantee

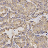
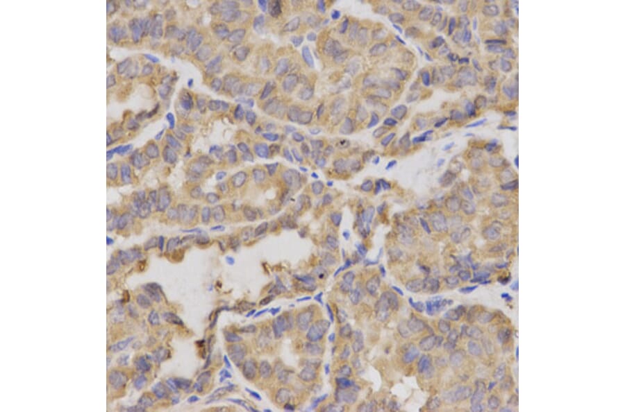
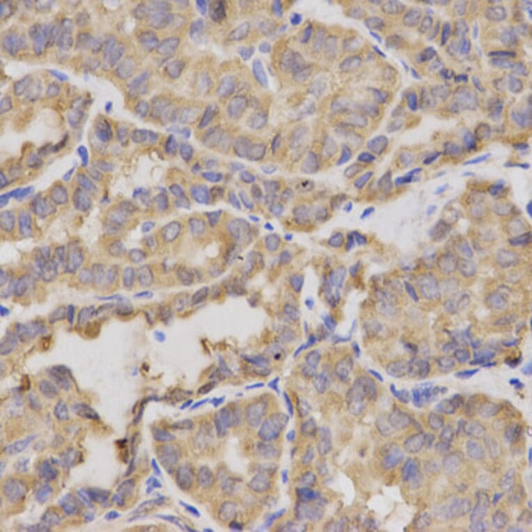
Anti-ARHGAP25 Antibody (A13664)

Rabbit polyclonal antibody to ARHGAP25 for WB and IHC.

Shipping Information

$40
Dispatched from St. Louis, MO.
Lead Time: 7-10 business days.
Name
Anti-ARHGAP25 Antibody
Description
Rabbit polyclonal antibody to ARHGAP25.
Applications
WB, IHC
Dilutions
WB: 1:500-1:2000, IHC: 1:50-1:200
Reactivity
Human
Immunogen
Recombinant fusion protein containing a sequence corresponding to amino acids 1-370 of human ARHGAP25 (NP_001159748.1).
Sequence
MSLGQSACLFLSIARSRSVMTGEQMAAFHPSSTPNPLERPIKMGWLKKQRSIVKNWQQRYFVLRAQQLYYYKDEEDTKPQGCMYLPGCTIKEIATNPEEAGKFVFEIIPASWDQNRMGQDSYVLMASSQAEMEEWVKFLRRVAGTPCGAVFGQRLDETVAYEQKFGPHLVPILVEKCAEFILEHGRNEEGIFRLPGQDNLVKQLRDAFDAGERPSFDRDTDVHTVASLLKLYLRDLPEPVVPWSQYEGFLLCGQLTNADEAKAQQELMKQLSILPRDNYSLLSYICRFLHEIQLNCAVNKMSVDNLATVIGVNLIRSKVEDPAVIMRGTPQIQRVMTMMIRDHEVLFPKSKDIPLSPPAQKNDPKKAPVA
Host
Rabbit
Clonality
Polyclonal
Isotype
IgG
Conjugate

Unconjugated

Purification
Affinity purification.
Concentration
Lot Specific
Molecular Weight
70kDa
Product Form
Liquid
Formulation
Supplied in Phosphate Buffered Saline, pH 7.30, with 0.02% Sodium Azide and 50% Glycerol.
Storage
Shipped at 4°C. Upon delivery aliquot and store at -20°C. Avoid freeze/thaw cycles.
Synonyms
KIAA0053, Rho GTPase-activating protein 25, Rho-type GTPase-activating protein 25
Disclaimer
This product is for research use only. It is not intended for diagnostic or therapeutic use.
Publishing research using Anti-ARHGAP25 Antibody (A13664)? Please let us know so that we can list the citation on this page.

Alternative products to Anti-ARHGAP25 Antibody (A13664)

Proteins predicted to interact with ARHGAP25

Predicted protein interactions based upon String database. Revelancy score correlates with probability of interaction.
59.9% Relevancy Score
57% Relevancy Score
56.4% Relevancy Score
56.4% Relevancy Score
55.9% Relevancy Score
55.5% Relevancy Score
53.2% Relevancy Score
52.1% Relevancy Score
49.6% Relevancy Score