Primary Antibodies
Secondary Antibodies
Proteins & Peptides
ELISA Kits
About Us
Contact Us
Sign In/Register
0
ISO 9001:2015 Certified
Live Customer Support
4.5/5 on Trustpilot
100% Quality Guarantee
Home
Primary Antibodies
ARL15 Antibodies
Anti-ARL15 Antibody (A48005)
Anti-ARL15 Antibody (A48005)
Overview
Specifications
Images
Enlarge Image
Enlarge Image
$780
Product Datasheet
Rabbit polyclonal antibody to ARL15 for ELISA, WB and IHC.
100% Guarantee
Price Match Guarantee
Product Size:
100µl
Quantity:
1
2
3
4
5
6
7
8
9
10
Add To Cart
Request a Quotation
Custom or Bulk Request
Shipping Information
Freight/Packing Charges:
$40
Dispatched from St. Louis, MO.
Lead Time: 6-9 business days.
Specifications
Name
Anti-ARL15 Antibody
Description
Rabbit polyclonal antibody to ARL15
Applications
ELISA
,
WB
,
IHC
Reactivity
Human, Mouse, Rat
Immunogen
Raised against a 17 amino acid peptide near the center of human ARL15.
Host
Rabbit
Clonality
Polyclonal
Conjugate
Unconjugated
Purification
Affinity chromatography purified via peptide column
Formulation
Supplied in phosphate-buffered saline with 0.02% Sodium Azide.
Storage
Shipped at 4°C. Upon delivery aliquot and store at -20°C. Avoid freeze/thaw cycles.
Synonyms
ADP-ribosylation factor-like protein 15, ADP-ribosylation factor-related protein 2, ARF-related protein 2, ARFRP2
Suitable Secondaries
Goat Anti-Rabbit IgG H&L Antibody (AP) (A294874)
Goat Anti-Rabbit IgG H&L Antibody (Biotin) (A294795)
Goat Anti-Rabbit IgG H&L Antibody (FITC) (A294887)
Goat Anti-Rabbit IgG H&L Antibody (HRP) (A294888)
See all Anti-Rabbit IgG Secondaries →
Disclaimer
This product is for research use only. It is not intended for diagnostic or therapeutic use.
Scientific Validation Data
Validation Data
(2)
Enlarge Image
Anti-ARL15 Antibody (A48005)
Western blot analysis of ARL15 in K562 cell lysate with ARL15 antibody at 1 µg/mL.
Enlarge Image
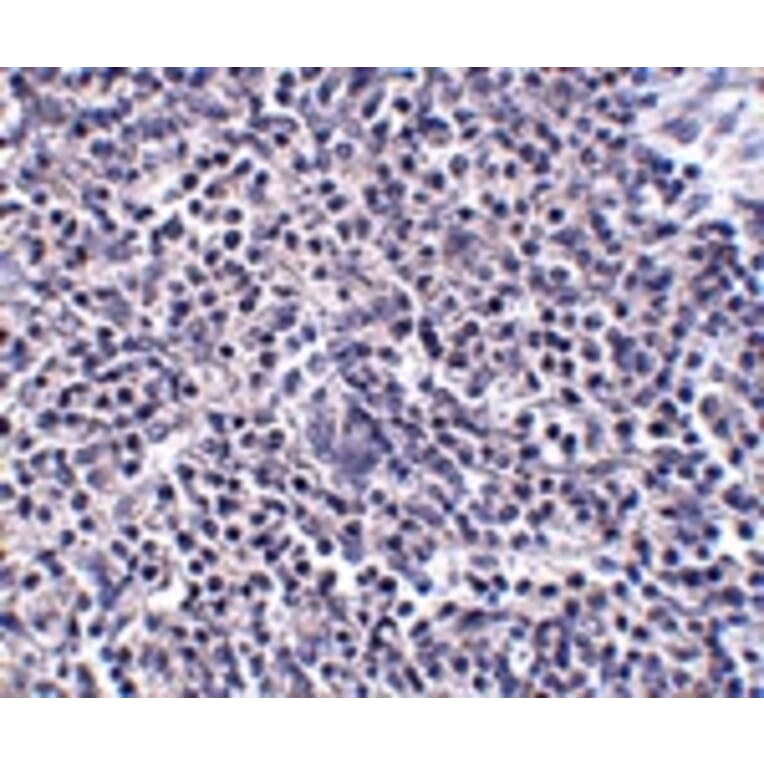
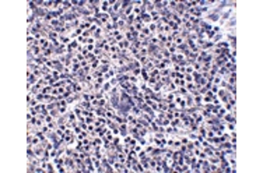
Immunohistochemistry - Anti-ARL15 Antibody (A48005)
Immunohistochemistry of ARL15 in human spleen tissue with ARL15 antibody at 5 µg/mL.
Publishing research using Anti-ARL15 Antibody (A48005)? Please
let us know
so that we can list the citation on this page.
Proteins predicted to interact with ARL15
Predicted protein interactions based upon String database. Revelancy score correlates with probability of interaction.
PRL-1 Antibodies
71.8% Relevancy Score
LYPLAL1 Antibodies
60.6% Relevancy Score
FAM13A Antibodies
56.1% Relevancy Score
GRB 14 Antibodies
55.9% Relevancy Score
Intersectin-2 Antibodies
53.6% Relevancy Score
CNNM2 Antibodies
53.2% Relevancy Score
CNNM1 Antibodies
52.7% Relevancy Score
PTP4A2 Antibodies
52.1% Relevancy Score
PEPD Antibodies
51% Relevancy Score
Top