Primary Antibodies
Secondary Antibodies
Proteins & Peptides
ELISA Kits
About Us
Contact Us
Sign In/Register
0
ISO 9001:2015 Certified
Live Customer Support
4.5/5 on Trustpilot
100% Quality Guarantee
Home
Primary Antibodies
Anti-ARL17 Antibody (A46512)
Anti-ARL17 Antibody (A46512)
Overview
Specifications
Images
Enlarge Image
Enlarge Image
$430
Product Datasheet
Rabbit polyclonal antibody to ARL17 for IHC.
100% Guarantee
Price Match Guarantee
Product Size:
100µl
Quantity:
1
2
3
4
5
6
7
8
9
10
Add To Cart
Request a Quotation
Custom or Bulk Request
Shipping Information
Freight/Packing Charges:
$40
Dispatched from St. Louis, MO.
Lead Time: 6-9 business days.
Specifications
Name
Anti-ARL17 Antibody
Description
Rabbit polyclonal antibody to ARL17
Specificity
The antibody detects endogenous levels of total ARL17 protein.
Applications
IHC
Reactivity
Human
Immunogen
Fusion protein of human ARL17
Host
Rabbit
Clonality
Polyclonal
Conjugate
Unconjugated
Purification
Antigen affinity purification.
Concentration
1.2 mg/mL
Formulation
Rabbit IgG in pH7.4 PBS, 0.05% NaN3, 40% Glycerol.
Storage
Shipped at 4°C. Upon delivery aliquot and store at -20°C. Avoid freeze/thaw cycles.
Synonyms
ADP-ribosylation factor 7 variant, ADP-ribosylation factor-like 17B, ADP-ribosylation factor-like protein 17, ARF1P2, ARL17A, ARL17B, ARL17P1, ARL17_HUMAN
Suitable Secondaries
Goat Anti-Rabbit IgG H&L Antibody (AP) (A294874)
Goat Anti-Rabbit IgG H&L Antibody (Biotin) (A294795)
Goat Anti-Rabbit IgG H&L Antibody (FITC) (A294887)
Goat Anti-Rabbit IgG H&L Antibody (HRP) (A294888)
See all Anti-Rabbit IgG Secondaries →
Disclaimer
This product is for research use only. It is not intended for diagnostic or therapeutic use.
Scientific Validation Data
Validation Data
(2)
Enlarge Image
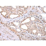
Immunohistochemistry - Anti-ARL17 Antibody (A46512)
Immunohistochemical analysis of paraffin-embedded Human thyroid cancer tissue using #43352 at dilution 1/20.
Enlarge Image
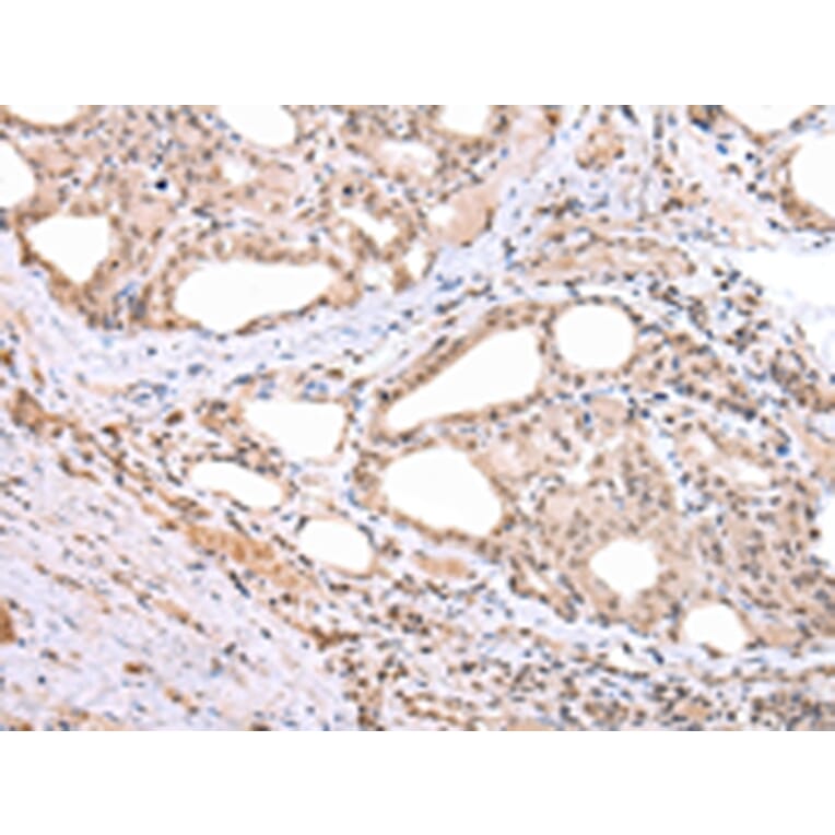
Immunohistochemistry - Anti-ARL17 Antibody (A46512)
Immunohistochemical analysis of paraffin-embedded Human brain tissue using #43352 at dilution 1/20.
Publishing research using Anti-ARL17 Antibody (A46512)? Please
let us know
so that we can list the citation on this page.
Top