Primary Antibodies
Secondary Antibodies
Proteins & Peptides
ELISA Kits
About Us
Contact Us
Sign In/Register
0
ISO 9001:2015 Certified
Live Customer Support
4.5/5 on Trustpilot
100% Quality Guarantee
Home
Primary Antibodies
ARL6 Antibodies
Anti-ARL6 Antibody (A46689)
Anti-ARL6 Antibody (A46689)
Overview
Specifications
Images
Enlarge Image
$430
Rabbit polyclonal antibody to ARL6 for IHC.
100% Guarantee
Price Match Guarantee
Product Size:
100µl
Quantity:
1
2
3
4
5
6
7
8
9
10
Add To Cart
Request a Quotation
Custom or Bulk Request
Shipping Information
Freight/Packing Charges:
$40
Dispatched from St. Louis, MO.
Lead Time: 6-9 business days.
Specifications
Name
Anti-ARL6 Antibody
Description
Rabbit polyclonal antibody to ARL6
Specificity
The antibody detects endogenous levels of total ARL6 protein.
Applications
IHC
Reactivity
Human
Immunogen
Full length fusion protein
Host
Rabbit
Clonality
Polyclonal
Conjugate
Unconjugated
Purification
Antigen affinity purification.
Concentration
700 µg/ml
Formulation
Rabbit IgG in pH7.3 PBS, 0.05% NaN3, 50% Glycerol.
Storage
Store at -20˚C
Synonyms
ADP-ribosylation factor-like protein 6, Bardet-Biedl syndrome 3 protein, BBS3
Suitable Secondaries
Goat Anti-Rabbit IgG H&L Antibody (AP) (A294874)
Goat Anti-Rabbit IgG H&L Antibody (Biotin) (A294795)
Goat Anti-Rabbit IgG H&L Antibody (FITC) (A294887)
Goat Anti-Rabbit IgG H&L Antibody (HRP) (A294888)
See all Anti-Rabbit IgG Secondaries →
Disclaimer
This product is for research use only. It is not intended for diagnostic or therapeutic use.
Scientific Validation Data
Validation Data
(1)
Enlarge Image
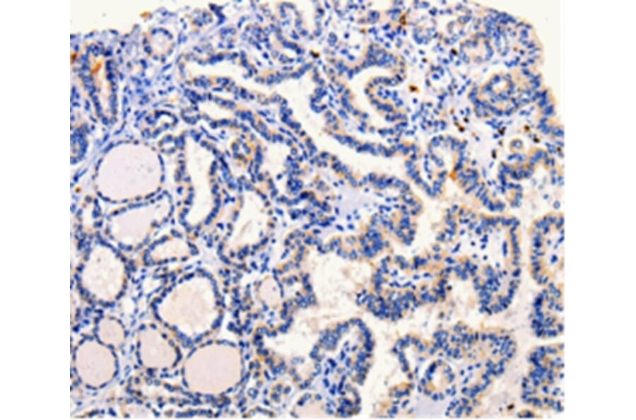
Immunohistochemistry - Anti-ARL6 Antibody (A46689)
Immunohistochemical analysis of paraffin-embedded Human thyroid cancer tissue using #35639 at dilution 1/25.
Publishing research using Anti-ARL6 Antibody (A46689)? Please
let us know
so that we can list the citation on this page.
Alternative products to Anti-ARL6 Antibody (A46689)
(5)
A16137
Anti-ARL6 Antibody
Rabbit polyclonal antibody to ARL6 for WB and IHC.
A91980
Anti-ARL6 Antibody
Rabbit polyclonal antibody to ARL6 for WB and ICC/IF.
(5)
A16137
Anti-ARL6 Antibody
Rabbit polyclonal antibody to ARL6 for WB and IHC.
A91980
Anti-ARL6 Antibody
Rabbit polyclonal antibody to ARL6 for WB and ICC/IF.
Proteins predicted to interact with ARL6
Predicted protein interactions based upon String database. Revelancy score correlates with probability of interaction.
BBS7 Antibodies
87.8% Relevancy Score
TTC8 Antibodies
85.4% Relevancy Score
BBS9 Antibodies
81.9% Relevancy Score
BBS2 Antibodies
80.5% Relevancy Score
BBS4 Antibodies
79.9% Relevancy Score
LZTFL1 Antibodies
67.6% Relevancy Score
JWA Antibodies
64.2% Relevancy Score
ARMER Antibodies
62.2% Relevancy Score
Smoothened Antibodies
58.7% Relevancy Score
Top