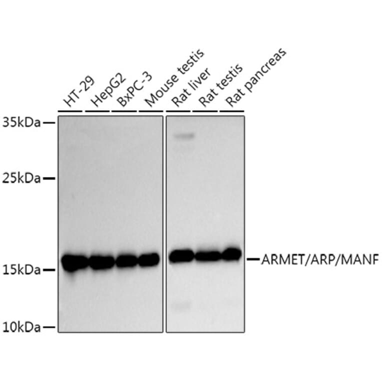
Western blot analysis of extracts of various cell lines, using Anti-ARMET/ARP Antibody (A15479) at 1:1,000 dilution. The secondary antibody was Goat Anti-Rabbit IgG H&L Antibody (HRP) at 1:10,000 dilution. Lysates/proteins were present at 25µg per lane. The blocking buffer used was 3% non-fat dry milk in TBST. Detection was with a ECL Basic Kit. Exposure time: 90s.
Western blot analysis of extracts of various cell lines, using Anti-ARMET/ARP Antibody (A15479) at 1:1,000 dilution. The secondary antibody was Goat Anti-Rabbit IgG H&L Antibody (HRP) at 1:10,000 dilution. Lysates/proteins were present at 25µg per lane. The blocking buffer used was 3% non-fat dry milk in TBST. Detection was with a ECL Basic Kit. Exposure time: 30s.
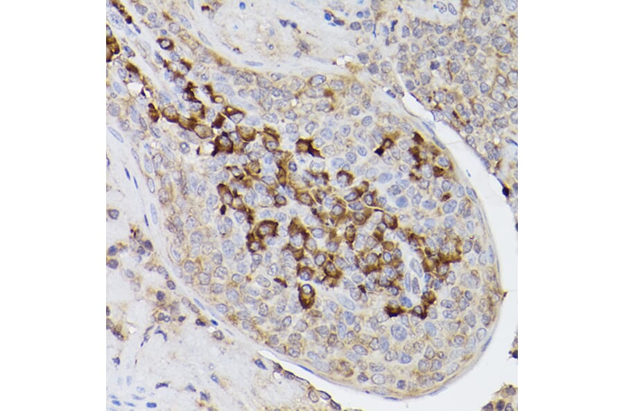
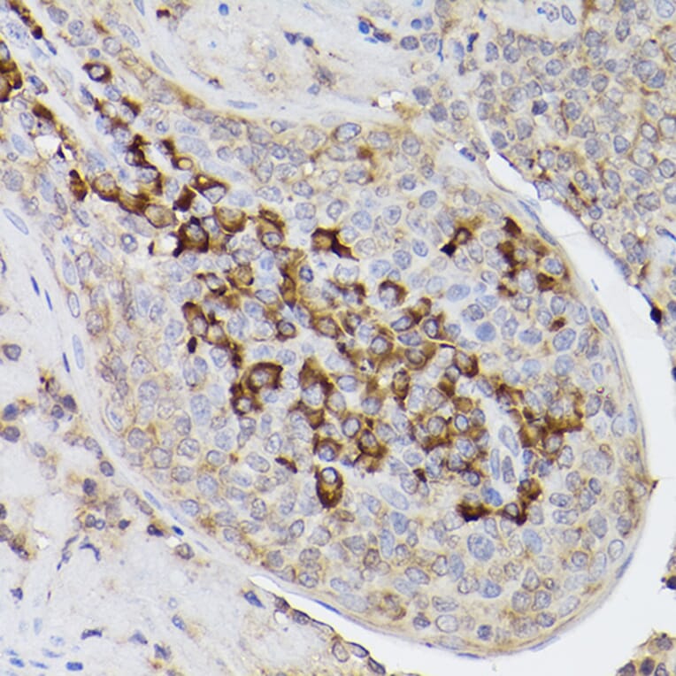
Immunohistochemistry analysis of paraffin-embedded human tonsil using Anti-ARMET/ARP Antibody (A15479) at a dilution of 1:100 (40x lens). Perform high pressure antigen retrieval with 10 mM citrate buffer pH 6.0 before commencing with IHC staining protocol.
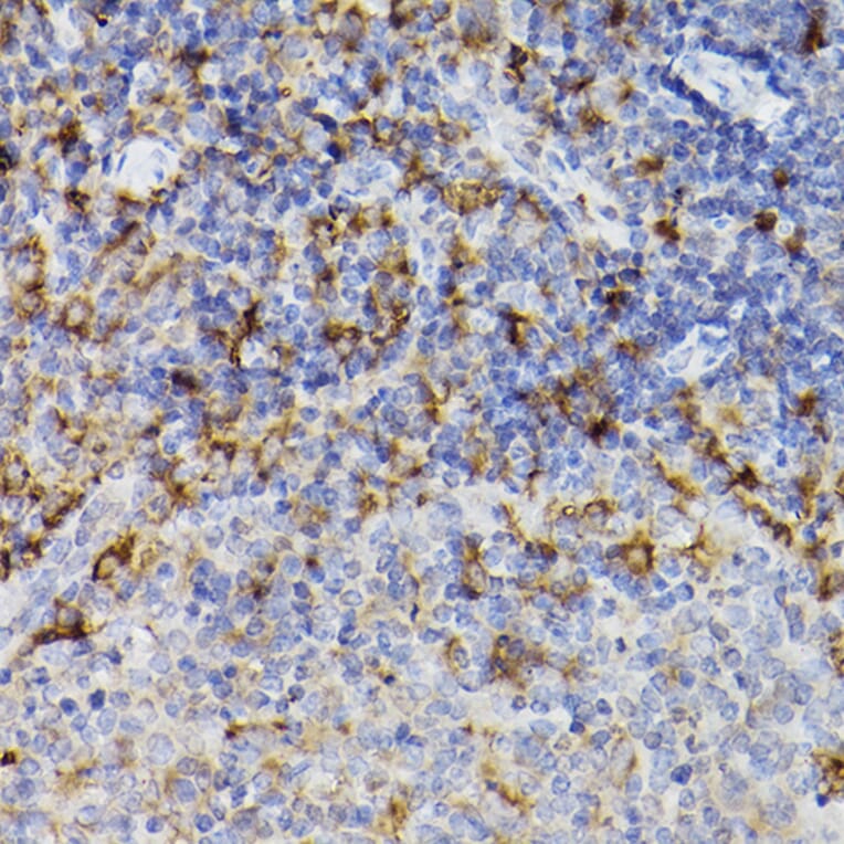
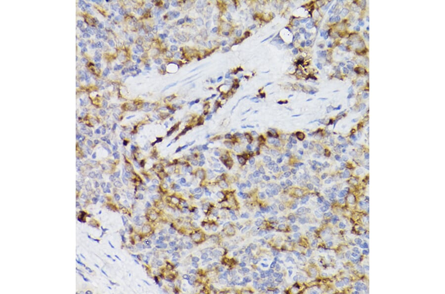
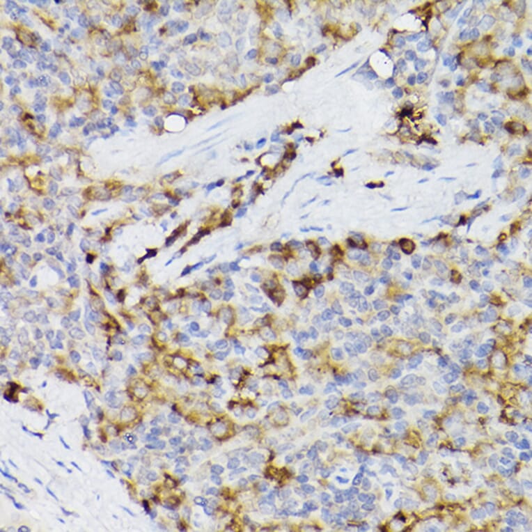
Immunohistochemistry analysis of paraffin-embedded mouse spleen using Anti-ARMET/ARP Antibody (A15479) at a dilution of 1:100 (40x lens). Perform high pressure antigen retrieval with 10 mM citrate buffer pH 6.0 before commencing with IHC staining protocol.
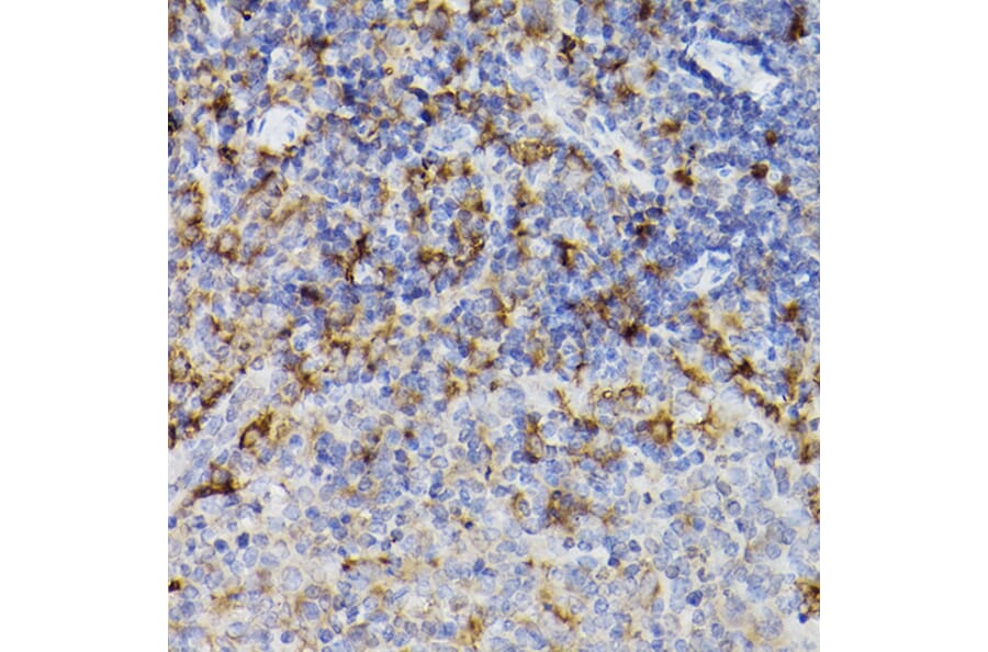
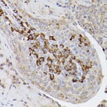
Immunohistochemistry analysis of paraffin-embedded rat spleen using Anti-ARMET/ARP Antibody (A15479) at a dilution of 1:100 (40x lens). Perform high pressure antigen retrieval with 10 mM citrate buffer pH 6.0 before commencing with IHC staining protocol.
Immunofluorescence analysis of HeLa cells using Anti-ARMET/ARP Antibody (A15479) at a dilution of 1:100 (40x lens). DAPI was used to stain the cell nuclei (blue).
Immunofluorescence analysis of NIH/3T3 cells using Anti-ARMET/ARP Antibody (A15479) at a dilution of 1:100 (40x lens). DAPI was used to stain the cell nuclei (blue).
Immunofluorescence analysis of PC-12 cells using Anti-ARMET/ARP Antibody (A15479) at a dilution of 1:100 (40x lens). DAPI was used to stain the cell nuclei (blue).
Immunofluorescence analysis of U2OS cells using Anti-ARMET/ARP Antibody (A15479) at a dilution of 1:100 (40x lens). DAPI was used to stain the cell nuclei (blue).
Immunoprecipitation analysis of 300µg extracts of HepG2 cells using 3µg of Anti-ARMET/ARP Antibody (A15479). This Western blot was performed on the immunoprecipitate using Anti-ARMET/ARP Antibody (A15479) at a dilution of 1:1000.