ISO 9001:2015 Certified
Live Customer Support
4.5/5 on Trustpilot
100% Quality Guarantee

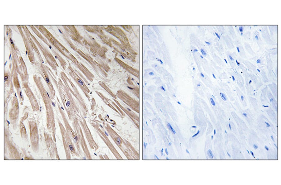
Anti-ARPP21 Antibody (A96960)

Rabbit polyclonal antibody to ARPP21 for WB, IHC, IF and ELISA.

Shipping Information

$40
Dispatched from St. Louis, MO.
Lead Time: 6-8 business days.
Name
Anti-ARPP21 Antibody
Description
Rabbit polyclonal antibody to ARPP21.
Applications
WB, IHC, IF, ELISA
Dilutions
WB: 1:500~1:1000, IHC: 1:50~1:100, ELISA: 1:5000
Reactivity
Human, Mouse
Cross Reactivity
No reported cross-reactivity.
Immunogen
Synthetic peptide derived from human ARPP21 (amino acids 211-260).
Host
Rabbit
Clonality
Polyclonal
Isotype
IgG
Conjugate

Unconjugated

Purification
Purified from rabbit serum by antigen affinity chromatography using the immunizing peptide.
Molecular Weight
89kDa
Product Form
Liquid
Formulation
Supplied in Phosphate Buffered Saline (without Mg2+ and Ca2+), pH 7.4, with 150mM NaCl, 0.02% Sodium Azide, and 50% Glycerol.
Storage
Shipped at 4°C. Upon delivery aliquot and store at -20°C. Avoid freeze / thaw cycles.
Synonyms
ARPP-21, cAMP-regulated phosphoprotein 21, TARPP, Thymocyte cAMP-regulated phosphoprotein
Disclaimer
This product is for research use only. It is not intended for diagnostic or therapeutic use.
Publishing research using Anti-ARPP21 Antibody (A96960)? Please let us know so that we can list the citation on this page.

Alternative products to Anti-ARPP21 Antibody (A96960)

Proteins predicted to interact with ARPP21

Predicted protein interactions based upon String database. Revelancy score correlates with probability of interaction.
84.4% Relevancy Score
67% Relevancy Score
64.2% Relevancy Score
55.5% Relevancy Score
55.4% Relevancy Score
54.3% Relevancy Score
53.2% Relevancy Score
53% Relevancy Score
52.3% Relevancy Score