ISO 9001:2015 Certified
Live Customer Support
4.5/5 on Trustpilot
100% Quality Guarantee

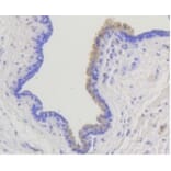
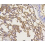
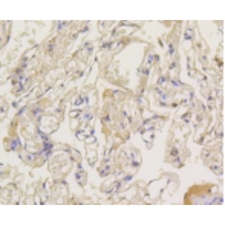
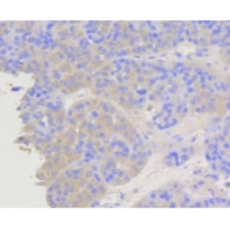
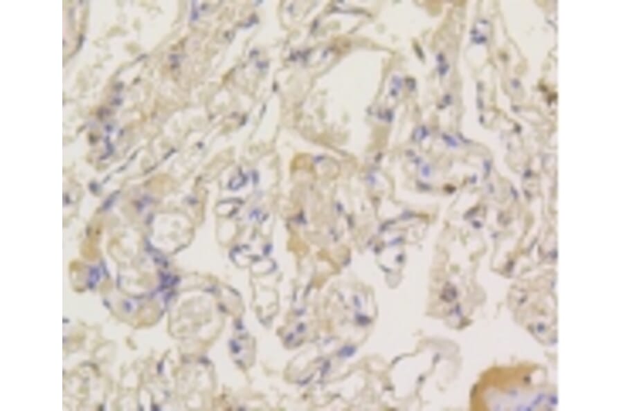
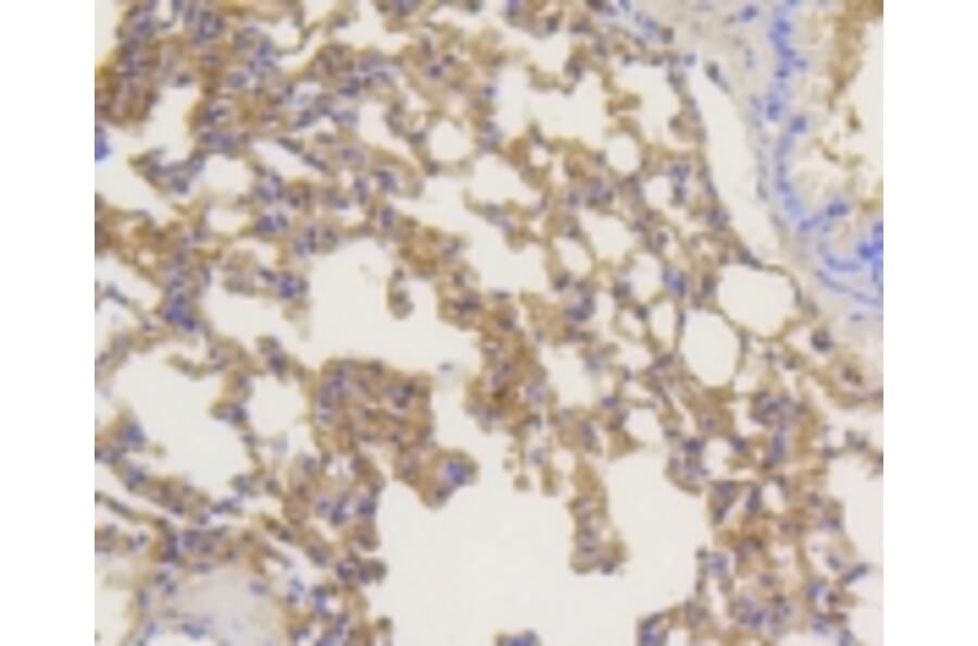
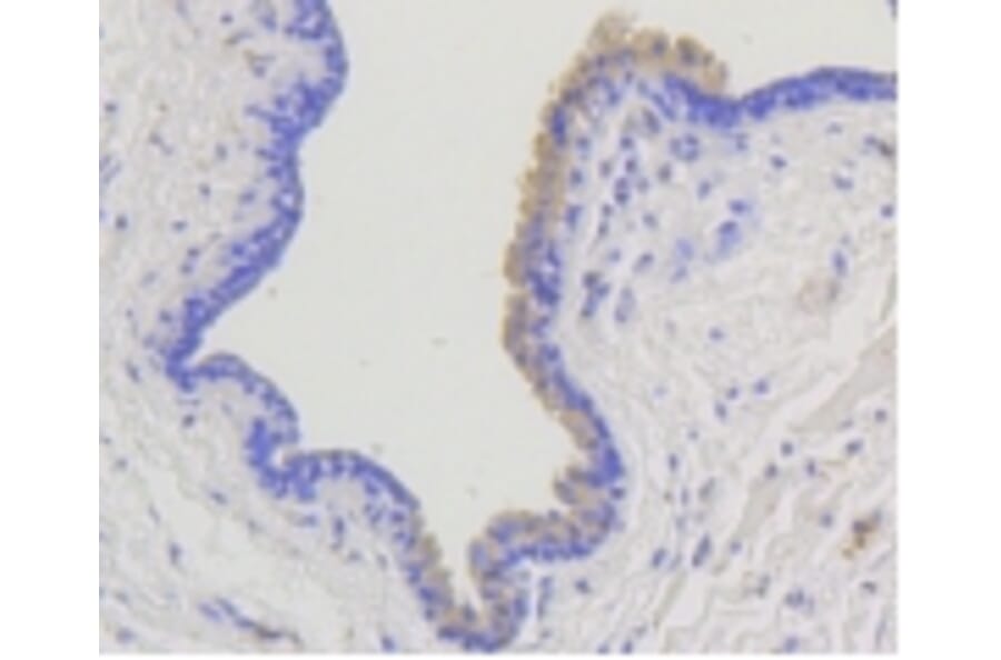
Anti-Arrestin-β-1 Antibody (A32386)

Name
Anti-Arrestin-β-1 Antibody
Description
Rabbit monoclonal antibody to Arrestin-β-1
Specificity
This antibody detects endogenous levels of Arrestin-β-1 and does not cross-react with related proteins.
Applications
WB, ICC/IF, IHCFC
Reactivity
Human, Mouse, Rat
Immunogen
Recombinant antibody.
Host
Rabbit
Clonality
Monoclonal
Conjugate

Unconjugated

Molecular Weight
~ 50 kDa
Purity
Protein A affinity purified
Product Form
Recombinant Rabbit Monoclonal Antibody. 1*TBS (pH7.4), 1%BSA, 40%Glycerol. Preservative: 0.05% Sodium Azide.
Disclaimer
This product is for research use only. It is not intended for diagnostic or therapeutic use.