Primary Antibodies
Secondary Antibodies
Proteins & Peptides
ELISA Kits
About Us
Contact Us
Sign In/Register
0
ISO 9001:2015 Certified
Live Customer Support
4.5/5 on Trustpilot
100% Quality Guarantee
Home
Primary Antibodies
ARSK Antibodies
Anti-ARSK Antibody (A97792)
Anti-ARSK Antibody (A97792)
Overview
Specifications
Images
Enlarge Image
Enlarge Image
$200
Product Datasheet
Rabbit polyclonal antibody to ARSK for WB, IHC, IF and ELISA.
100% Guarantee
Price Match Guarantee
Product Size:
10µg
100µg
Quantity:
1
2
3
4
5
6
7
8
9
10
Add To Cart
Request a Quotation
Custom or Bulk Request
Shipping Information
Freight/Packing Charges:
$40
Dispatched from St. Louis, MO.
Lead Time: 6-8 business days.
Specifications
Name
Anti-ARSK Antibody
Description
Rabbit polyclonal antibody to ARSK.
Applications
WB
,
IHC
,
IF
,
ELISA
Dilutions
IHC: 1:50~1:100, ELISA: 1:20000
Reactivity
Human, Mouse, Rat
Cross Reactivity
No reported cross-reactivity.
Immunogen
Synthetic peptide derived from human ARSK (amino acids 481-530).
Host
Rabbit
Clonality
Polyclonal
Isotype
IgG
Conjugate
Unconjugated
Purification
Purified from rabbit serum by antigen affinity chromatography using the immunizing peptide.
Molecular Weight
61kDa
Product Form
Liquid
Formulation
Supplied in Phosphate Buffered Saline (without Mg2+ and Ca2+), pH 7.4, with 150mM NaCl, 0.02% Sodium Azide, and 50% Glycerol.
Storage
Shipped at 4°C. Upon delivery aliquot and store at -20°C. Avoid freeze / thaw cycles.
Synonyms
Arylsulfatase K, ASK, EC:3.1.6.18, Glucuronate-2-sulfatase, Telethon sulfatase, TSULF
Isotype Controls
Rabbit IgG (A82272)
Rabbit IgG (A17360)
Suitable Secondaries
Goat Anti-Rabbit IgG H&L Antibody (AP) (A294874)
Goat Anti-Rabbit IgG H&L Antibody (Biotin) (A294795)
Goat Anti-Rabbit IgG H&L Antibody (FITC) (A294887)
Goat Anti-Rabbit IgG H&L Antibody (HRP) (A294888)
See all Anti-Rabbit IgG Secondaries →
Disclaimer
This product is for research use only. It is not intended for diagnostic or therapeutic use.
Scientific Validation Data
Validation Data
(2)
Enlarge Image
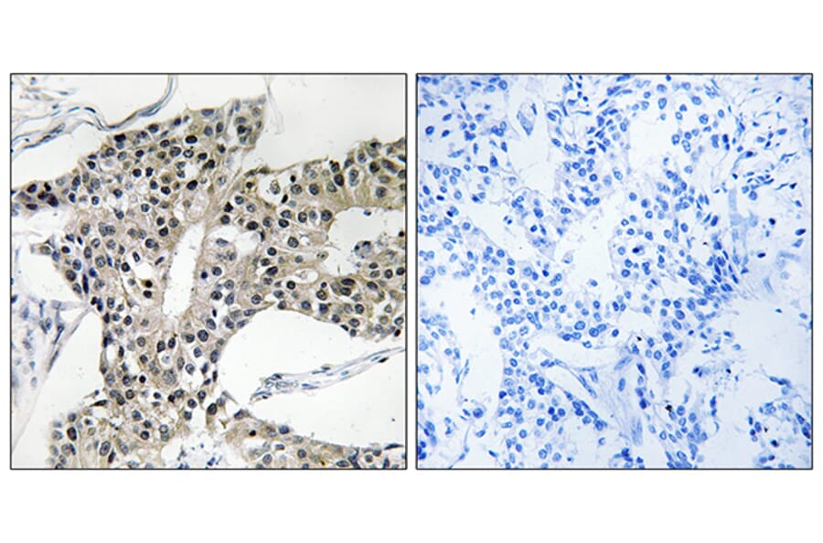
Immunohistochemistry - Anti-ARSK Antibody (A97792)
Immunohistochemical analysis of paraffin-embedded human breast carcinoma tissue using Anti-ARSK Antibody. The right hand panel represents a negative control, where the antibody was pre-incubated with the immunising peptide.
Enlarge Image
Western Blot - Anti-ARSK Antibody (A97792)
Western blot analysis of K562 cells using Anti-ARSK Antibody.
Publishing research using Anti-ARSK Antibody (A97792)? Please
let us know
so that we can list the citation on this page.
Alternative products to Anti-ARSK Antibody (A97792)
A329127
Anti-Arsk Antibody
Rabbit polyclonal antibody to Arsk for WB and ELISA.
A46663
Anti-ARSK Antibody
Rabbit polyclonal antibody to ARSK for IHC.
A329127
Anti-Arsk Antibody
Rabbit polyclonal antibody to Arsk for WB and ELISA.
A46663
Anti-ARSK Antibody
Rabbit polyclonal antibody to ARSK for IHC.
Proteins predicted to interact with ARSK
Predicted protein interactions based upon String database. Revelancy score correlates with probability of interaction.
ARSB Antibodies
82.7% Relevancy Score
ARSG Antibodies
82.3% Relevancy Score
SUMF1 Antibodies
77.8% Relevancy Score
Arylsulfatase D Antibodies
67.2% Relevancy Score
SUMF2 Antibodies
64.6% Relevancy Score
ARSA Antibodies
62.1% Relevancy Score
Steroid Sulfatase Antibodies
61.9% Relevancy Score
ARSE Antibodies
61.2% Relevancy Score
GALNS Antibodies
52.6% Relevancy Score
Top