Western Blot - Anti-ARTS1/ERAP1 Antibody [ARC2120] (A308078)
Western blot analysis of extracts of various cell lines, using Anti-ARTS1/ERAP1 Antibody [ARC2120] (A308078) at 1:1,000 dilution. The secondary antibody was Goat Anti-Rabbit IgG H&L Antibody (HRP) at 1:10,000 dilution. Lysates/proteins were present at 25µg per lane. The blocking buffer used was 3% non-fat dry milk in TBST. Detection was with a ECL Basic Kit. Exposure time: 10s.
Western Blot - Anti-ARTS1/ERAP1 Antibody [ARC2120] (A308078)
Western blot analysis of extracts of Rat liver, using Anti-ARTS1/ERAP1 Antibody [ARC2120] (A308078) at 1:1,000 dilution. The secondary antibody was Goat Anti-Rabbit IgG H&L Antibody (HRP) at 1:10,000 dilution. Lysates/proteins were present at 25µg per lane. The blocking buffer used was 3% non-fat dry milk in TBST. Detection was with a ECL Basic Kit. Exposure time: 30s.
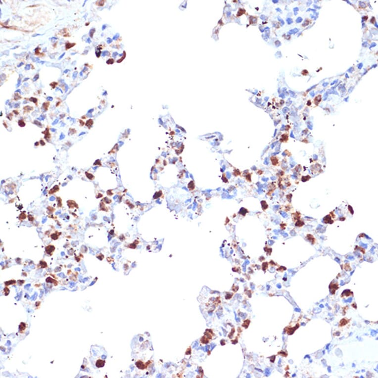
Immunohistochemistry analysis of paraffin-embedded rat lung using Anti-ARTS1/ERAP1 Antibody [ARC2120] (A308078) at a dilution of 1:100 (40x lens). Perform microwave antigen retrieval with 10 mM Tris/EDTA buffer pH 9.0 before commencing with IHC staining protocol.
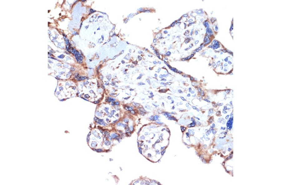
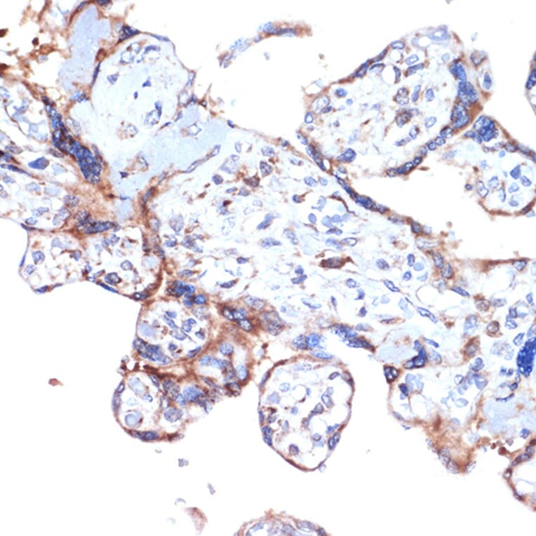
Immunohistochemistry analysis of paraffin-embedded human placenta using Anti-ARTS1/ERAP1 Antibody [ARC2120] (A308078) at a dilution of 1:100 (40x lens). Perform microwave antigen retrieval with 10 mM Tris/EDTA buffer pH 9.0 before commencing with IHC staining protocol.
Publishing research using Anti-ARTS1/ERAP1 Antibody [ARC2120] (A308078)? Please let us know so that we can list the citation on this page.