Primary Antibodies
Secondary Antibodies
Proteins & Peptides
ELISA Kits
About Us
Contact Us
Sign In/Register
0
ISO 9001:2015 Certified
Live Customer Support
4.5/5 on Trustpilot
100% Quality Guarantee
Home
Primary Antibodies
ASB4 Antibodies
Anti-ASB4 Antibody (A92543)
Anti-ASB4 Antibody (A92543)
Overview
Specifications
Images
Enlarge Image
Enlarge Image
Enlarge Image
$375
Product Datasheet
Rabbit polyclonal antibody to ASB4 for IHC.
100% Guarantee
Price Match Guarantee
Product Size:
100µl
Quantity:
1
2
3
4
5
6
7
8
9
10
Add To Cart
Request a Quotation
Custom or Bulk Request
Shipping Information
Freight/Packing Charges:
$40
Dispatched from St. Louis, MO.
Lead Time: 7-10 business days.
Specifications
Name
Anti-ASB4 Antibody
Description
Rabbit polyclonal antibody to ASB4.
Applications
IHC
Dilutions
IHC: 1:50-1:200
Reactivity
Human, Mouse
Immunogen
Recombinant fusion protein containing a sequence corresponding to amino acids 1-300 of human ASB4 (NP_665879.1).
Sequence
MDGTTAPVTKSGAAKLVKRNFLEALKSNDFGKLKAILIQRQIDVDTVFEVEDENMVLASYKQGYWLPSYKLKSSWATGLHLSVLFGHVECLLVLLDHNATINCRPNGKTPLHVACEMANVDCVKILCDRGAKLNCYSLSGHTALHFCTTPSSILCAKQLVWRGANVNMKTNNQDEETPLHTAAHFGLSELVAFYVEHGAIVDSVNAHMETPLAIAAYWALRFKEQEYSTEHHLVCRMLLDYKAEVNARDDDFKSPLHKAAWNCDHVLMHMMLEAGAEANLMDINGCAAIQYVLKVTSVRP
Host
Rabbit
Clonality
Polyclonal
Isotype
IgG
Conjugate
Unconjugated
Purification
Affinity purification.
Concentration
Lot Specific
Product Form
Liquid
Formulation
Supplied in Phosphate Buffered Saline, pH 7.3, with 50% Glycerol and 0.01% Thiomersal.
Storage
Shipped at 4°C. Upon delivery aliquot and store at -20°C. Avoid freeze/thaw cycles.
Synonyms
Ankyrin repeat and SOCS box protein 4, ASB-4
Isotype Controls
Rabbit IgG (A82272)
Rabbit IgG (A17360)
Suitable Secondaries
Goat Anti-Rabbit IgG H&L Antibody (AP) (A294874)
Goat Anti-Rabbit IgG H&L Antibody (Biotin) (A294795)
Goat Anti-Rabbit IgG H&L Antibody (FITC) (A294887)
Goat Anti-Rabbit IgG H&L Antibody (HRP) (A294888)
See all Anti-Rabbit IgG Secondaries →
Disclaimer
This product is for research use only. It is not intended for diagnostic or therapeutic use.
Scientific Validation Data
Validation Data
(3)
Enlarge Image
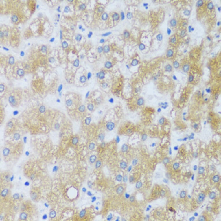
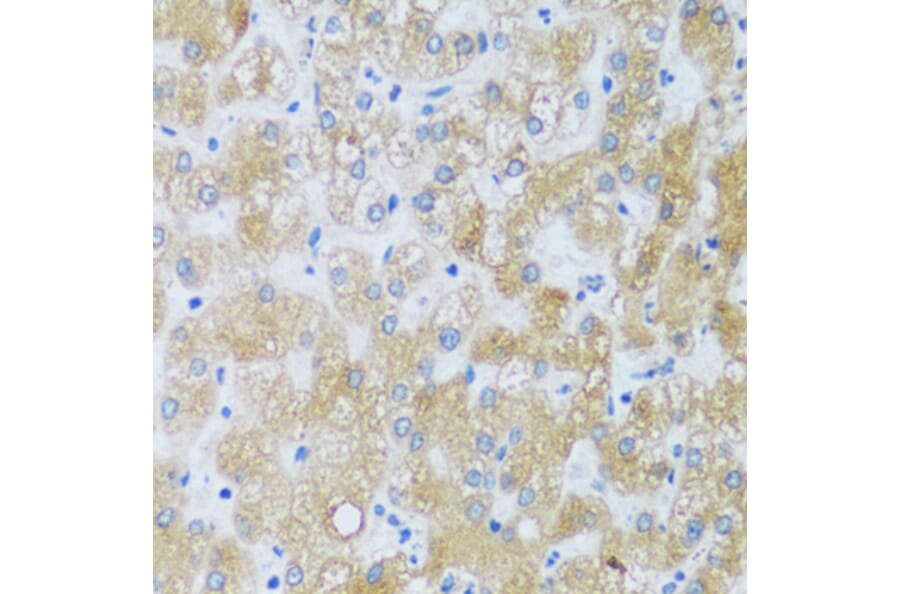
Immunohistochemistry - Anti-ASB4 Antibody (A92543)
Immunohistochemistry analysis of paraffin-embedded human liver using Anti-ASB4 Antibody (A92543) at a dilution of 1:100 (40x lens).
Enlarge Image
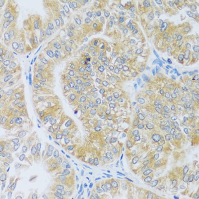
Immunohistochemistry - Anti-ASB4 Antibody (A92543)
Immunohistochemistry analysis of paraffin-embedded human uterine cancer using Anti-ASB4 Antibody (A92543) at a dilution of 1:100 (40x lens).
Enlarge Image
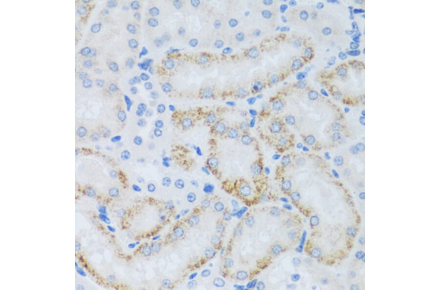
Immunohistochemistry - Anti-ASB4 Antibody (A92543)
Immunohistochemistry analysis of paraffin-embedded mouse kidney using Anti-ASB4 Antibody (A92543) at a dilution of 1:100 (40x lens).
Publishing research using Anti-ASB4 Antibody (A92543)? Please
let us know
so that we can list the citation on this page.
Alternative products to Anti-ASB4 Antibody (A92543)
(2)
A38333
Anti-ASB4 Antibody
Rabbit polyclonal antibody to ASB4 for WB and IHC.
A46774
Anti-ASB4 Antibody
Rabbit polyclonal antibody to ASB4 for IHC.
(2)
A38333
Anti-ASB4 Antibody
Rabbit polyclonal antibody to ASB4 for WB and IHC.
A46774
Anti-ASB4 Antibody
Rabbit polyclonal antibody to ASB4 for IHC.
Proteins predicted to interact with ASB4
Predicted protein interactions based upon String database. Revelancy score correlates with probability of interaction.
Cullin 5 Antibodies
96.1% Relevancy Score
TCEB2 Antibodies
94.4% Relevancy Score
RNF7 Antibodies
94.3% Relevancy Score
Cullin 2 Antibodies
94% Relevancy Score
TCEB1 Antibodies
92.3% Relevancy Score
COMMD1 Antibodies
91.9% Relevancy Score
RBX1 Antibodies
91.4% Relevancy Score
APPBP2 Antibodies
90.7% Relevancy Score
KLHDC2 Antibodies
90.4% Relevancy Score
Top