ISO 9001:2015 Certified
Live Customer Support
4.5/5 on Trustpilot
100% Quality Guarantee

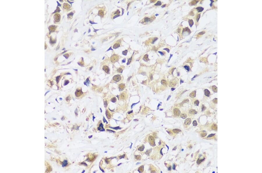
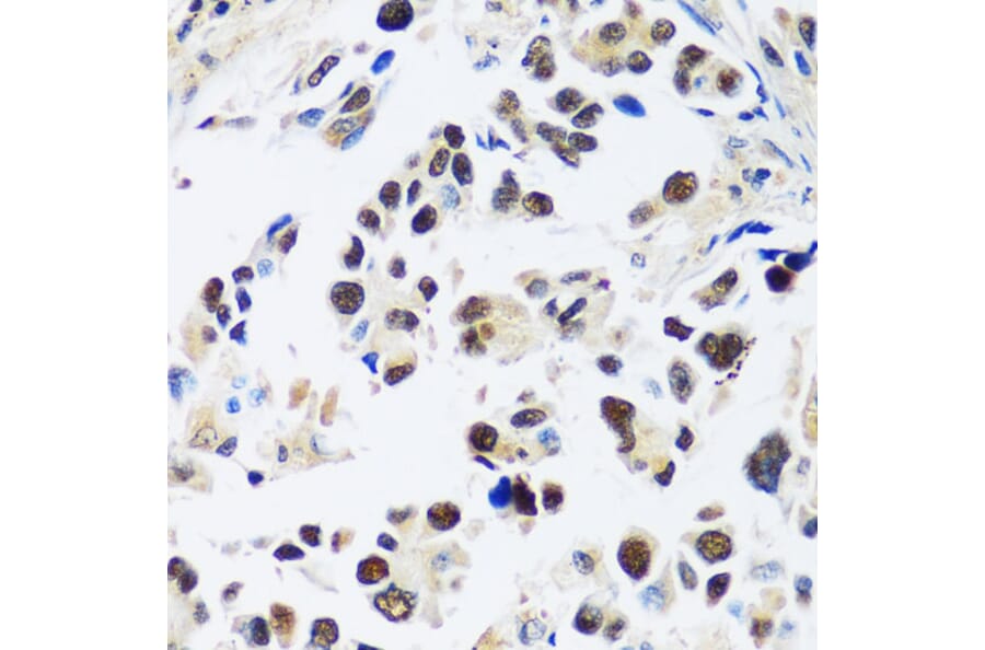
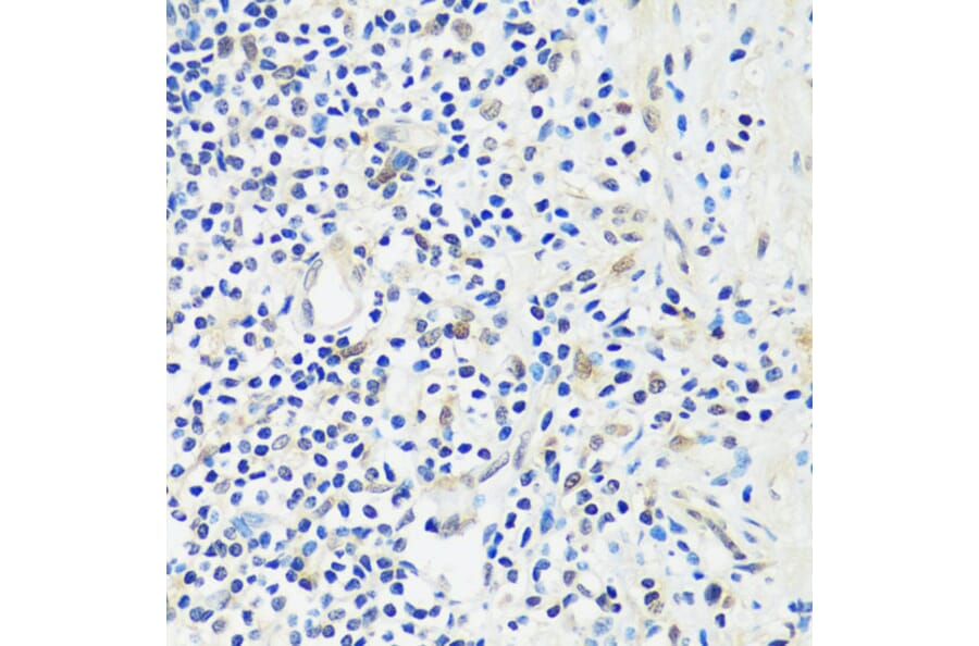
Anti-ASCL4 Antibody (A88635)

Rabbit polyclonal antibody to ASCL4 for WB and IHC.

Shipping Information

$40
Dispatched from St. Louis, MO.
Lead Time: 7-10 business days.
Name
Anti-ASCL4 Antibody
Description
Rabbit polyclonal antibody to ASCL4.
Applications
WB, IHC
Dilutions
WB: 1:500-1:1,000, IHC: 1:50-1:100
Reactivity
Human, Mouse, Rat
Immunogen
Recombinant fusion protein containing a sequence corresponding to amino acids 1-172 of human ASCL4 (NP_982260.2).
Sequence
MMETRKPAERLALPYSLRTAPLGVPGTLPGLPRRDPLRVALRLDAACWEWARSGCARGWQYLPVPLDSAFEPAFLRKRNERERQRVRCVNEGYARLRDHLPRELADKRLSKVETLRAAIDYIKHLQELLERQAWGLEGAAGAVPQRRAECNSDGESKASSAPSPSSEPEEGG
Host
Rabbit
Clonality
Polyclonal
Isotype
IgG
Conjugate

Unconjugated

Purification
Affinity purification.
Concentration
Lot Specific
Molecular Weight
19 kDa
Product Form
Liquid
Formulation
Supplied in Phosphate Buffered Saline, pH 7.3, with 50% Glycerol and 0.01% Thiomersal.
Storage
Shipped at 4°C. Upon delivery aliquot and store at -20°C. Avoid freeze/thaw cycles.
Synonyms
Achaete-scute homolog 4, Achaete-scute-like protein 4, ASH-4, bHLHa44, Class A basic helix-loop-helix protein 44, hASH4
Disclaimer
This product is for research use only. It is not intended for diagnostic or therapeutic use.
Publishing research using Anti-ASCL4 Antibody (A88635)? Please let us know so that we can list the citation on this page.

Proteins predicted to interact with ASCL4

Predicted protein interactions based upon String database. Revelancy score correlates with probability of interaction.
72.6% Relevancy Score
68% Relevancy Score
66.5% Relevancy Score
51.8% Relevancy Score
40.9% Relevancy Score
40.5% Relevancy Score
39.6% Relevancy Score
39.5% Relevancy Score
38.8% Relevancy Score