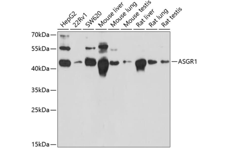
Western Blot - Anti-Asialoglycoprotein Receptor 1/HL-1 Antibody (A90004)
Western blot analysis of extracts of various cell lines, using Anti-Asialoglycoprotein Receptor 1/HL-1 Antibody (A90004) at 1:1,000 dilution. The secondary antibody was Goat Anti-Rabbit IgG H&L Antibody (HRP) at 1:10,000 dilution. Lysates/proteins were present at 25µg per lane. The blocking buffer used was 3% non-fat dry milk in TBST. Detection was with a ECL Basic Kit. Exposure time: 30s.
Immunohistochemistry analysis of paraffin-embedded rat liver using Anti-Asialoglycoprotein Receptor 1/HL-1 Antibody (A90004) at a dilution of 1:200 (40x lens). Perform high pressure antigen retrieval with 10 mM citrate buffer pH 6.0 before commencing with IHC staining protocol.
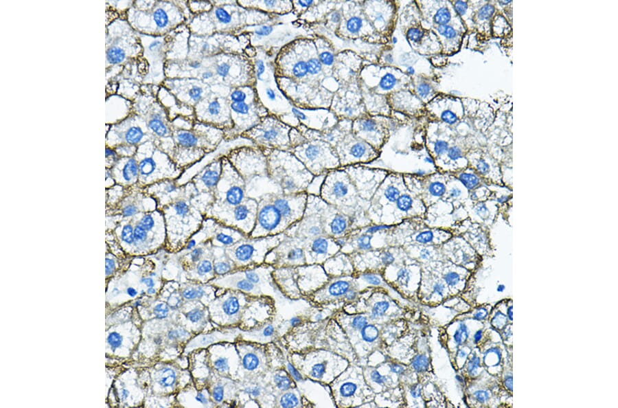
Immunohistochemistry analysis of paraffin-embedded human liver cancer using Anti-Asialoglycoprotein Receptor 1/HL-1 Antibody (A90004) at a dilution of 1:200 (40x lens). Perform high pressure antigen retrieval with 10 mM citrate buffer pH 6.0 before commencing with IHC staining protocol.
Immunofluorescence analysis of rat liver cells using Anti-Asialoglycoprotein Receptor 1/HL-1 Antibody (A90004) at a dilution of 1:100 (40x lens). DAPI was used to stain the cell nuclei (blue).
Immunofluorescence analysis of human liver cancer cells using Anti-Asialoglycoprotein Receptor 1/HL-1 Antibody (A90004) at a dilution of 1:100 (40x lens). DAPI was used to stain the cell nuclei (blue).
Immunofluorescence analysis of mouse liver cells using Anti-Asialoglycoprotein Receptor 1/HL-1 Antibody (A90004) at a dilution of 1:100 (40x lens). DAPI was used to stain the cell nuclei (blue).