ISO 9001:2015 Certified
Live Customer Support
4.5/5 on Trustpilot
100% Quality Guarantee

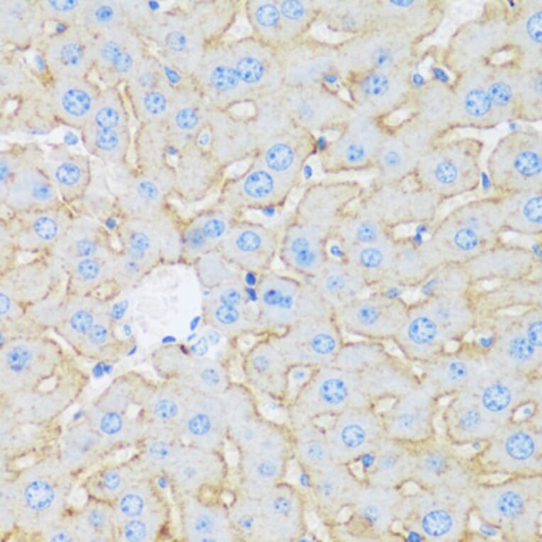
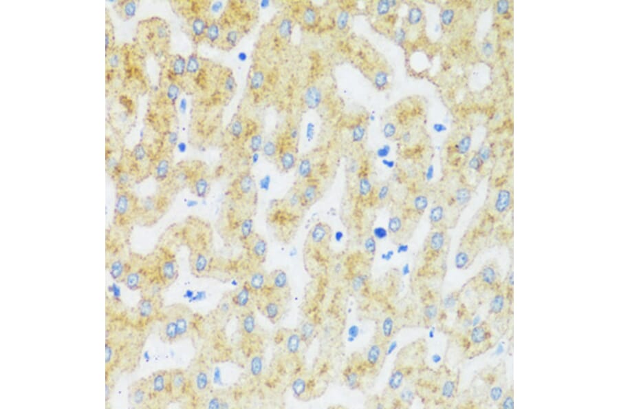
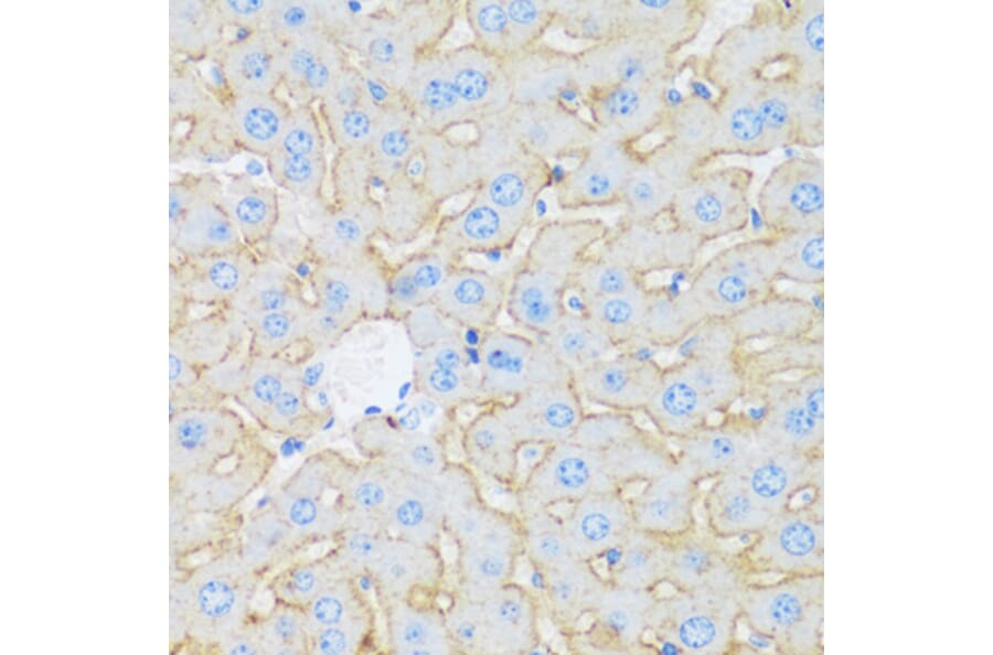
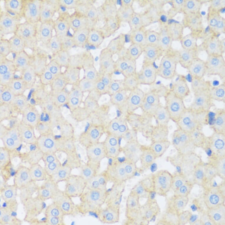
Anti-Asialoglycoprotein Receptor 1 / HL-1 Antibody (A92544)

This product is discontinued

Anti-Asialoglycoprotein Receptor 1 / HL-1 Antibody (A92544) has been discontinued and is no longer available.

View all available products.

Name
Anti-Asialoglycoprotein Receptor 1 / HL-1 Antibody
Description
Rabbit polyclonal antibody to Asialoglycoprotein Receptor 1 / HL-1.
Applications
IHC
Dilutions
IHC: 1:50-1:200
Reactivity
Human, Mouse, Rat
Immunogen
Recombinant fusion protein containing a sequence corresponding to amino acids 62-291 of human ASGR1 (P07306).
Sequence
QNSQLQEELRGLRETFSNFTASTEAQVKGLSTQGGNVGRKMKSLESQLEKQQKDLSEDHSSLLLHVKQFVSDLRSLSCQMAALQGNGSERTCCPVNWVEHERSCYWFSRSGKAWADADNYCRLEDAHLVVVTSWEEQKFVQHHIGPVNTWMGLHDQNGPWKWVDGTDYETGFKNWRPEQPDDWYGHGLGGGEDCAHFTDDGRWNDDVCQRPYRWVCETELDKASQEPPLL
Host
Rabbit
Clonality
Polyclonal
Isotype
IgG
Conjugate

Unconjugated

Purification
Affinity purification.
Product Form
Liquid
Formulation
Supplied in Phosphate Buffered Saline, pH 7.3, with 50% Glycerol and 0.01% Thiomersal.
Storage
Shipped at 4°C. Upon delivery aliquot and store at -20°C. Avoid freeze / thaw cycles.
Disclaimer
This product is for research use only. It is not intended for diagnostic or therapeutic use.