Primary Antibodies
Secondary Antibodies
Proteins & Peptides
ELISA Kits
About Us
Contact Us
Sign In/Register
0
ISO 9001:2015 Certified
Live Customer Support
4.5/5 on Trustpilot
100% Quality Guarantee
Home
Primary Antibodies
ASPA Antibodies
Anti-ASPA Antibody (A38715)
Anti-ASPA Antibody (A38715)
Overview
Specifications
Images
Enlarge Image
Enlarge Image
$430
Product Datasheet
Rabbit polyclonal antibody to ASPA for WB and IHC.
100% Guarantee
Price Match Guarantee
Product Size:
100µl
Quantity:
1
2
3
4
5
6
7
8
9
10
Add To Cart
Request a Quotation
Custom or Bulk Request
Shipping Information
Freight/Packing Charges:
$40
Dispatched from St. Louis, MO.
Lead Time: 6-9 business days.
Specifications
Name
Anti-ASPA Antibody
Description
Rabbit polyclonal antibody to ASPA
Specificity
The antibody detects endogenous levels of total ASPA protein.
Applications
WB
,
IHC
Reactivity
Human, Mouse
Immunogen
Full length fusion protein
Host
Rabbit
Clonality
Polyclonal
Conjugate
Unconjugated
Purification
Antigen affinity purification.
Concentration
2.8 mg/mL
Formulation
Supplied in PBS, pH 7.3, containing 0.05% sodium azide and 50% glycerol.
Storage
Shipped at 4°C. Upon delivery aliquot and store at -20°C. Avoid freeze/thaw cycles.
Synonyms
ACY-2, ACY2, Aminoacylase-2, ASP, Aspartoacylase
Suitable Secondaries
Goat Anti-Rabbit IgG H&L Antibody (AP) (A294874)
Goat Anti-Rabbit IgG H&L Antibody (Biotin) (A294795)
Goat Anti-Rabbit IgG H&L Antibody (FITC) (A294887)
Goat Anti-Rabbit IgG H&L Antibody (HRP) (A294888)
See all Anti-Rabbit IgG Secondaries →
Disclaimer
This product is for research use only. It is not intended for diagnostic or therapeutic use.
Scientific Validation Data
Validation Data
(2)
Enlarge Image
Anti-ASPA Antibody (A38715)
Gel: 8% SDS-PAGE Lysates (from left to right): Mouse kidney and human fetal kidney tissue Amount of lysate: 40ug per lane Primary antibody: 1/1400 dilution Secondary antibody dilution: 1/8000 Exposure time: 1 second
Enlarge Image
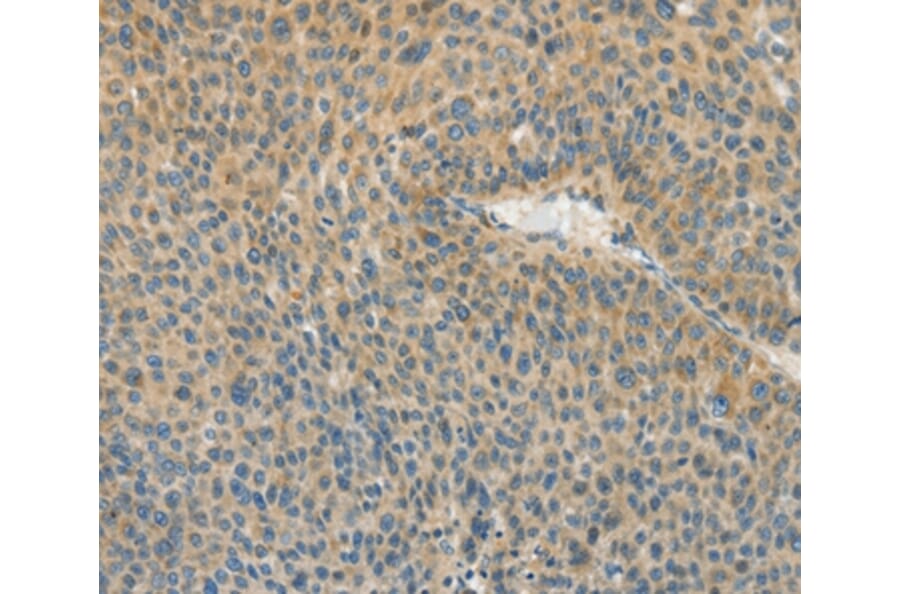
Immunohistochemistry - Anti-ASPA Antibody (A38715)
Immunohistochemical analysis of paraffin-embedded Human liver cancer tissue using #36246 at dilution 1/80.
Publishing research using Anti-ASPA Antibody (A38715)? Please
let us know
so that we can list the citation on this page.
Alternative products to Anti-ASPA Antibody (A38715)
(2)
A15619
Anti-ASPA Antibody
Rabbit polyclonal antibody to ASPA for WB and ICC/IF.
(3)
A34668
Anti-Aspartoacylase Antibody
Rabbit polyclonal antibody to Aspartoacylase for WB, IHC and ICC/IF.
A84937
Anti-ASPA Antibody
Goat polyclonal antibody to ASPA for ELISA and WB.
A31964
Anti-ASPA Antibody
Rabbit polyclonal antibody to ASPA for WB, IHC and IF.
(2)
A15619
Anti-ASPA Antibody
Rabbit polyclonal antibody to ASPA for WB and ICC/IF.
(3)
A34668
Anti-Aspartoacylase Antibody
Rabbit polyclonal antibody to Aspartoacylase for WB, IHC and ICC/IF.
A84937
Anti-ASPA Antibody
Goat polyclonal antibody to ASPA for ELISA and WB.
A31964
Anti-ASPA Antibody
Rabbit polyclonal antibody to ASPA for WB, IHC and IF.
Proteins predicted to interact with ASPA
Predicted protein interactions based upon String database. Revelancy score correlates with probability of interaction.
Aminoacylase 1 Antibodies
98.1% Relevancy Score
NAT8L Antibodies
97.7% Relevancy Score
PSMA Antibodies
93.4% Relevancy Score
RIMKB Antibodies
91.8% Relevancy Score
ASS1 Antibodies
91.6% Relevancy Score
GOT1 Antibodies
91.5% Relevancy Score
Asparagine Synthetase Antibodies
90.8% Relevancy Score
ASRGL1 Antibodies
90.5% Relevancy Score
GOT2 Antibodies
90.2% Relevancy Score
Top