ISO 9001:2015 Certified
Live Customer Support
4.5/5 on Trustpilot
100% Quality Guarantee

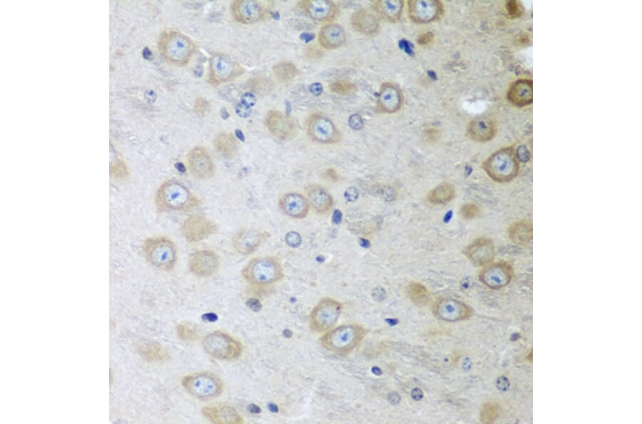
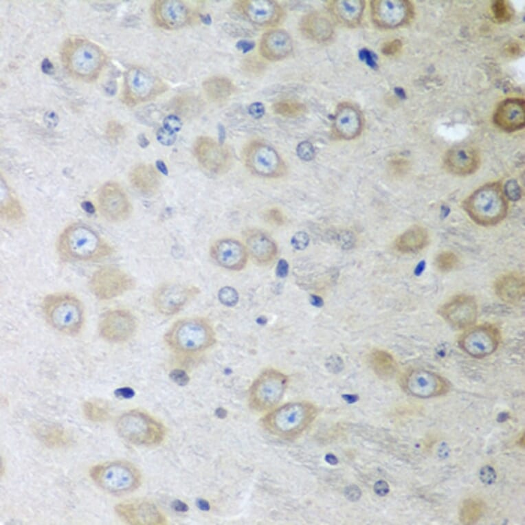
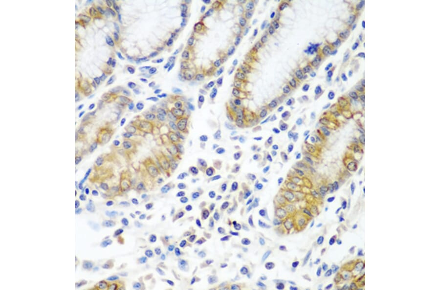
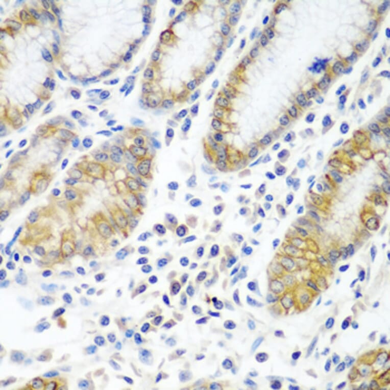
Anti-ATAD3A Antibody (A12226)

Rabbit polyclonal antibody to ATAD3A for WB and IHC.

Shipping Information

$40
Dispatched from St. Louis, MO.
Lead Time: 7-10 business days.
Name
Anti-ATAD3A Antibody
Description
Rabbit polyclonal antibody to ATAD3A.
Applications
WB, IHC
Dilutions
WB: 1:100-1:500, IHC: 1:100-1:200
Reactivity
Human, Mouse
Immunogen
Recombinant fusion protein containing a sequence corresponding to amino acids 1-240 of human ATAD3A (NP_001164006.1).
Sequence
MSWLFGINKGPKGEGAGPPPPLPPAQPGAEGGGDRGLGDRPAPKDKWSNFDPTGLERAAKAARELEHSRYAKDALNLAQMQEQTLQLEQQSKLKEYEAAVEQLKSEQIRAQAEERRKTLSEETRQHQARAQYQDKLARQRYEDQLKQQQLLNEENLRKQEESVQKQEAMRRATVEREMELRHKNEMLRVEAEARARAKAERENADIIREQIRLKAAEHRQTVLESIRTAGTLFGEGFRAF
Host
Rabbit
Clonality
Polyclonal
Isotype
IgG
Conjugate

Unconjugated

Purification
Affinity purification.
Concentration
Lot Specific
Molecular Weight
68 kDa
Product Form
Liquid
Formulation
Supplied in Phosphate Buffered Saline, pH 7.3, with 50% Glycerol and 0.02% Sodium Azide.
Storage
Shipped at 4°C. Upon delivery aliquot and store at -20°C. Avoid freeze/thaw cycles.
Synonyms
ATPase family AAA domain-containing protein 3A
Disclaimer
This product is for research use only. It is not intended for diagnostic or therapeutic use.
Publishing research using Anti-ATAD3A Antibody (A12226)? Please let us know so that we can list the citation on this page.

Alternative products to Anti-ATAD3A Antibody (A12226)

Proteins predicted to interact with ATAD3A

Predicted protein interactions based upon String database. Revelancy score correlates with probability of interaction.
78.9% Relevancy Score
74.8% Relevancy Score
72.3% Relevancy Score
69.5% Relevancy Score
68.8% Relevancy Score
67.9% Relevancy Score
64% Relevancy Score
62.2% Relevancy Score