ISO 9001:2015 Certified
Live Customer Support
4.5/5 on Trustpilot
100% Quality Guarantee

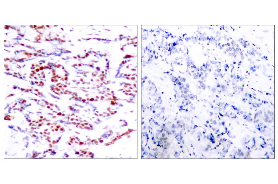
Anti-ATF2 (phospho Thr71 or 53) Antibody (A94578)

Rabbit polyclonal antibody to ATF2 (phospho Thr71 or 53) for WB, IHC, IF, IP and ELISA.

Shipping Information

$40
Dispatched from St. Louis, MO.
Lead Time: 6-8 business days.
Name
Anti-ATF2 (phospho Thr71 or 53) Antibody
Description
Rabbit polyclonal antibody to ATF2 (phospho Thr71 or 53).
Specificity
This antibody detects endogenous levels of ATF2 only when phosphorylated at Thr71 or 53.
Applications
WB, IHC, IF, IP, ELISA
Dilutions
IHC: 1:50~1:100, ELISA: 1:10000
Reactivity
Human, Mouse, Rat
Cross Reactivity
No reported cross-reactivity.
Immunogen
Synthetic peptide derived from human ATF2 around the phosphorylation site of Thr71 or 53 (amino acids 38-87).
Host
Rabbit
Clonality
Polyclonal
Isotype
IgG
Conjugate

Unconjugated

Purification
Purified from rabbit serum by antigen affinity chromatography using the immunizing phospho peptide.
Molecular Weight
52kDa
Product Form
Liquid
Formulation
Supplied in Phosphate Buffered Saline (without Mg2+ and Ca2+), pH 7.4, with 150mM NaCl, 0.02% Sodium Azide, and 50% Glycerol.
Storage
Shipped at 4°C. Upon delivery aliquot and store at -20°C. Avoid freeze / thaw cycles.
Synonyms
Activating transcription factor 2, cAMP response element-binding protein CRE-BP1, cAMP-dependent transcription factor ATF-2, cAMP-responsive element-binding protein 2, CREB-2, CREB2, CREBP1, Cyclic AMP-dependent transcription factor ATF-2, Cyclic AMP-responsive element-binding protein 2, HB16
Disclaimer
This product is for research use only. It is not intended for diagnostic or therapeutic use.
Publishing research using Anti-ATF2 (phospho Thr71 or 53) Antibody (A94578)? Please let us know so that we can list the citation on this page.

Alternative products to Anti-ATF2 (phospho Thr71 or 53) Antibody (A94578)

Proteins predicted to interact with ATF2

Predicted protein interactions based upon String database. Revelancy score correlates with probability of interaction.
99.9% Relevancy Score
99.8% Relevancy Score
99.8% Relevancy Score
99.3% Relevancy Score
99.2% Relevancy Score
99% Relevancy Score
98.9% Relevancy Score
98.6% Relevancy Score
97.9% Relevancy Score