ISO 9001:2015 Certified
Live Customer Support
4.5/5 on Trustpilot
100% Quality Guarantee

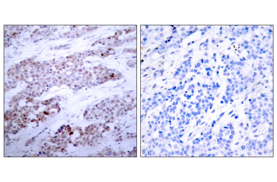
Anti-ATF4 (phospho Ser245) Antibody (A95676)

Rabbit polyclonal antibody to ATF4 (phospho Ser245) for IHC, IF(paraffin section) and ELISA.

Shipping Information

$40
Dispatched from St. Louis, MO.
Lead Time: 6-8 business days.
Name
Anti-ATF4 (phospho Ser245) Antibody
Description
Rabbit polyclonal antibody to ATF4 (phospho Ser245).
Specificity
This antibody detects endogenous levels of ATF4 only when phosphorylated at Ser245.
Applications
IHC, IF(paraffin section), ELISA
Dilutions
IHC: 1:50~1:100, ELISA: 1:10000
Reactivity
Human, Rat, Mouse
Cross Reactivity
No reported cross-reactivity.
Immunogen
Synthetic peptide derived from human ATF4 around the phosphorylation site of Ser245 (amino acids 212-261).
Host
Rabbit
Clonality
Polyclonal
Isotype
IgG
Conjugate

Unconjugated

Purification
Purified from rabbit serum by antigen affinity chromatography using the immunizing phospho peptide.
Molecular Weight
38kDa
Product Form
Liquid
Formulation
Supplied in Phosphate Buffered Saline (without Mg2+ and Ca2+), pH 7.4, with 150mM NaCl, 0.02% Sodium Azide, and 50% Glycerol.
Storage
Shipped at 4°C. Upon delivery aliquot and store at -20°C. Avoid freeze / thaw cycles.
Synonyms
Activating transcription factor 4, cAMP-dependent transcription factor ATF-4, cAMP-responsive element-binding protein 2, CREB-2, CREB2, Cyclic AMP-dependent transcription factor ATF-4, Cyclic AMP-responsive element-binding protein 2, Tax-responsive enhancer element-binding protein 67, TaxREB67, TXREB
Disclaimer
This product is for research use only. It is not intended for diagnostic or therapeutic use.
Publishing research using Anti-ATF4 (phospho Ser245) Antibody (A95676)? Please let us know so that we can list the citation on this page.

Alternative products to Anti-ATF4 (phospho Ser245) Antibody (A95676)

Proteins predicted to interact with ATF4

Predicted protein interactions based upon String database. Revelancy score correlates with probability of interaction.
99.7% Relevancy Score
99.6% Relevancy Score
99.2% Relevancy Score
98.9% Relevancy Score
98.9% Relevancy Score
98.8% Relevancy Score
98.7% Relevancy Score
98.3% Relevancy Score
97.9% Relevancy Score