Primary Antibodies
Secondary Antibodies
Proteins & Peptides
ELISA Kits
About Us
Contact Us
Sign In/Register
0
ISO 9001:2015 Certified
Live Customer Support
4.5/5 on Trustpilot
100% Quality Guarantee
Home
Primary Antibodies
ATG101 Antibodies
Anti-ATG101 Antibody (A47645)
Anti-ATG101 Antibody (A47645)
Overview
Specifications
Images
Enlarge Image
Enlarge Image
$780
Product Datasheet
Rabbit polyclonal antibody to ATG101 for ELISA, WB and IHC.
100% Guarantee
Price Match Guarantee
Product Size:
100µl
Quantity:
1
2
3
4
5
6
7
8
9
10
Add To Cart
Request a Quotation
Custom or Bulk Request
Shipping Information
Freight/Packing Charges:
$40
Dispatched from St. Louis, MO.
Lead Time: 6-9 business days.
Specifications
Name
Anti-ATG101 Antibody
Description
Rabbit polyclonal antibody to ATG101
Applications
ELISA
,
WB
,
IHC
Reactivity
Human, Mouse, Rat
Immunogen
Raised against a 16 amino acid peptide near the center of human ATG101.
Host
Rabbit
Clonality
Polyclonal
Conjugate
Unconjugated
Purification
Affinity chromatography purified via peptide column
Formulation
Supplied in phosphate-buffered saline with 0.02% Sodium Azide.
Storage
Shipped at 4°C. Upon delivery aliquot and store at -20°C. Avoid freeze/thaw cycles.
Synonyms
Autophagy-related protein 101, C12orf44
Suitable Secondaries
Goat Anti-Rabbit IgG H&L Antibody (AP) (A294874)
Goat Anti-Rabbit IgG H&L Antibody (Biotin) (A294795)
Goat Anti-Rabbit IgG H&L Antibody (FITC) (A294887)
Goat Anti-Rabbit IgG H&L Antibody (HRP) (A294888)
See all Anti-Rabbit IgG Secondaries →
Disclaimer
This product is for research use only. It is not intended for diagnostic or therapeutic use.
Scientific Validation Data
Validation Data
(2)
Enlarge Image
Anti-ATG101 Antibody (A47645)
Western blot analysis of ATG101 in human liver tissue lysate with ATG101 antibody at (A) 1 and (B) 2 µg/mL.
Enlarge Image
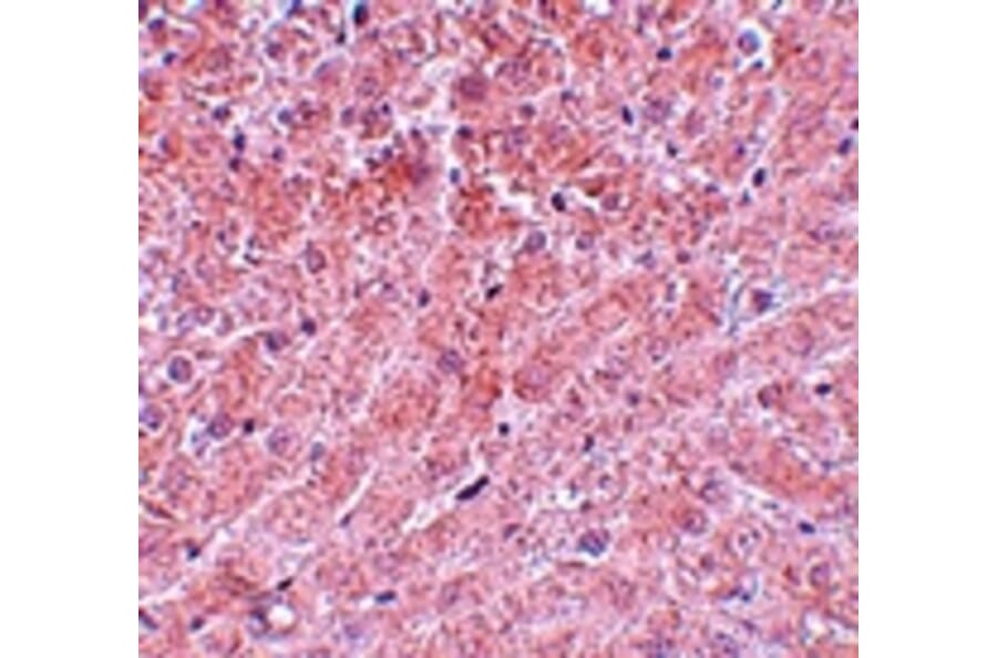
Immunohistochemistry - Anti-ATG101 Antibody (A47645)
Immunohistochemistry of ATG101 in mouse liver with ATG101 antibody at 5 µg/mL.
Publishing research using Anti-ATG101 Antibody (A47645)? Please
let us know
so that we can list the citation on this page.
Proteins predicted to interact with ATG101
Predicted protein interactions based upon String database. Revelancy score correlates with probability of interaction.
ATG13 Antibodies
99.9% Relevancy Score
FIP200 Antibodies
99.9% Relevancy Score
ULK1 Antibodies
99.9% Relevancy Score
ULK2 Antibodies
99.9% Relevancy Score
ATG14 Antibodies
99.4% Relevancy Score
VPS34 Antibodies
98.9% Relevancy Score
Beclin 1 Antibodies
98.8% Relevancy Score
VPS15 Antibodies
98.5% Relevancy Score
C9orf72 Antibodies
97.9% Relevancy Score
Top