Primary Antibodies
Secondary Antibodies
Proteins & Peptides
ELISA Kits
About Us
Contact Us
Sign In/Register
0
ISO 9001:2015 Certified
Live Customer Support
4.5/5 on Trustpilot
100% Quality Guarantee
Home
Primary Antibodies
ATG13 Antibodies
Anti-ATG13 Antibody (A48052)
Anti-ATG13 Antibody (A48052)
Overview
Specifications
Images
Enlarge Image
Enlarge Image
$780
Product Datasheet
Rabbit polyclonal antibody to ATG13 for ELISA, WB and IHC.
100% Guarantee
Price Match Guarantee
Product Size:
100µl
Quantity:
1
2
3
4
5
6
7
8
9
10
Add To Cart
Request a Quotation
Custom or Bulk Request
Shipping Information
Freight/Packing Charges:
$40
Dispatched from St. Louis, MO.
Lead Time: 6-9 business days.
Specifications
Name
Anti-ATG13 Antibody
Description
Rabbit polyclonal antibody to ATG13
Applications
ELISA
,
WB
,
IHC
Reactivity
Human, Mouse, Rat
Immunogen
Raised against a 15 amino acid peptide near the carboxy terminus of human ATG13.
Host
Rabbit
Clonality
Polyclonal
Conjugate
Unconjugated
Purification
Affinity chromatography purified via peptide column
Formulation
Supplied in phosphate-buffered saline with 0.02% Sodium Azide.
Storage
Shipped at 4°C. Upon delivery aliquot and store at -20°C. Avoid freeze/thaw cycles.
Synonyms
Autophagy-related protein 13, KIAA0652
Suitable Secondaries
Goat Anti-Rabbit IgG H&L Antibody (AP) (A294874)
Goat Anti-Rabbit IgG H&L Antibody (Biotin) (A294795)
Goat Anti-Rabbit IgG H&L Antibody (FITC) (A294887)
Goat Anti-Rabbit IgG H&L Antibody (HRP) (A294888)
See all Anti-Rabbit IgG Secondaries →
Disclaimer
This product is for research use only. It is not intended for diagnostic or therapeutic use.
Scientific Validation Data
Validation Data
(2)
Enlarge Image
Anti-ATG13 Antibody (A48052)
Western blot analysis of ATG13 in rat heart tissue lysate with ATG13 antibody at 1 µg/mL in (A) the absence and (B) the presence of blocking peptide.
Enlarge Image
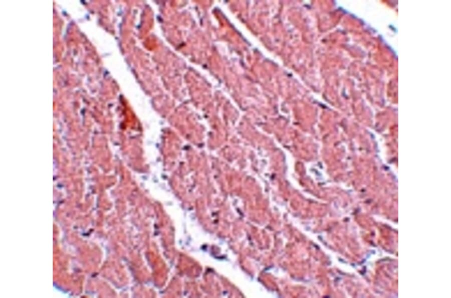
Immunohistochemistry - Anti-ATG13 Antibody (A48052)
Immunohistochemistry of ATG13 in mouse heart with ATG13 antibody at 5 µg/mL.
Publishing research using Anti-ATG13 Antibody (A48052)? Please
let us know
so that we can list the citation on this page.
Alternative products to Anti-ATG13 Antibody (A48052)
(3)
A28634
Anti-ATG13 Antibody
Rabbit polyclonal antibody to ATG13 for WB, IHC and IF.
(3)
A35147
Anti-ATG13 Antibody
Rabbit polyclonal antibody to ATG13 for WB, IHC and ICC/IF.
A344622
Anti-ATG13 Antibody [25GB3830]
Recombinant rabbit monoclonal [25GB3830] antibody to ATG13 for WB, Flow Cytometry and ICC/IF.
A344621
Anti-ATG13 Antibody [24GB6785]
Recombinant rabbit monoclonal [24GB6785] antibody to ATG13 for WB and Flow Cytometry.
(3)
A28634
Anti-ATG13 Antibody
Rabbit polyclonal antibody to ATG13 for WB, IHC and IF.
(3)
A35147
Anti-ATG13 Antibody
Rabbit polyclonal antibody to ATG13 for WB, IHC and ICC/IF.
A344622
Anti-ATG13 Antibody [25GB3830]
Recombinant rabbit monoclonal [25GB3830] antibody to ATG13 for WB, Flow Cytometry and ICC/IF.
A344621
Anti-ATG13 Antibody [24GB6785]
Recombinant rabbit monoclonal [24GB6785] antibody to ATG13 for WB and Flow Cytometry.
Proteins predicted to interact with ATG13
Predicted protein interactions based upon String database. Revelancy score correlates with probability of interaction.
ATG101 Antibodies
99.9% Relevancy Score
FIP200 Antibodies
99.9% Relevancy Score
ULK1 Antibodies
99.9% Relevancy Score
ULK2 Antibodies
99.8% Relevancy Score
ATG14 Antibodies
98.9% Relevancy Score
GABARAPL1 Antibodies
98.7% Relevancy Score
GABARAPL2 Antibodies
98.7% Relevancy Score
Beclin 1 Antibodies
98.6% Relevancy Score
VPS34 Antibodies
98.5% Relevancy Score
Top