Primary Antibodies
Secondary Antibodies
Proteins & Peptides
ELISA Kits
About Us
Contact Us
Sign In/Register
0
ISO 9001:2015 Certified
Live Customer Support
4.5/5 on Trustpilot
100% Quality Guarantee
Home
Primary Antibodies
ATG3 Antibodies
Anti-ATG3 Antibody (A48443)
Anti-ATG3 Antibody (A48443)
Overview
Specifications
Images
Enlarge Image
Enlarge Image
$780
Product Datasheet
Rabbit polyclonal antibody to ATG3 for ELISA, WB and IHC.
100% Guarantee
Price Match Guarantee
Product Size:
100µl
Quantity:
1
2
3
4
5
6
7
8
9
10
Add To Cart
Request a Quotation
Custom or Bulk Request
Shipping Information
Freight/Packing Charges:
$40
Dispatched from St. Louis, MO.
Lead Time: 6-9 business days.
Specifications
Name
Anti-ATG3 Antibody
Description
Rabbit polyclonal antibody to ATG3
Applications
ELISA
,
WB
,
IHC
Reactivity
Human, Mouse, Rat
Immunogen
Raised against an 18 amino acid peptide near the center of human ATG3.
Host
Rabbit
Clonality
Polyclonal
Conjugate
Unconjugated
Purification
Affinity chromatography purified via peptide column
Formulation
Supplied in phosphate-buffered saline with 0.02% Sodium Azide.
Storage
Shipped at 4°C. Upon delivery aliquot and store at -20°C. Avoid freeze/thaw cycles.
Synonyms
APG3, APG3-like, APG3L, Autophagy-related protein 3, hApg3, Protein PC3-96, Ubiquitin-like-conjugating enzyme ATG3
Suitable Secondaries
Goat Anti-Rabbit IgG H&L Antibody (AP) (A294874)
Goat Anti-Rabbit IgG H&L Antibody (Biotin) (A294795)
Goat Anti-Rabbit IgG H&L Antibody (FITC) (A294887)
Goat Anti-Rabbit IgG H&L Antibody (HRP) (A294888)
See all Anti-Rabbit IgG Secondaries →
Disclaimer
This product is for research use only. It is not intended for diagnostic or therapeutic use.
Scientific Validation Data
Validation Data
(2)
Enlarge Image
Anti-ATG3 Antibody (A48443)
Western blot analysis of ATG3 in Mouse kidney tissue Lysate with ATG3 antibody at (A) 1 and (B) 2 µg/mL.
Enlarge Image
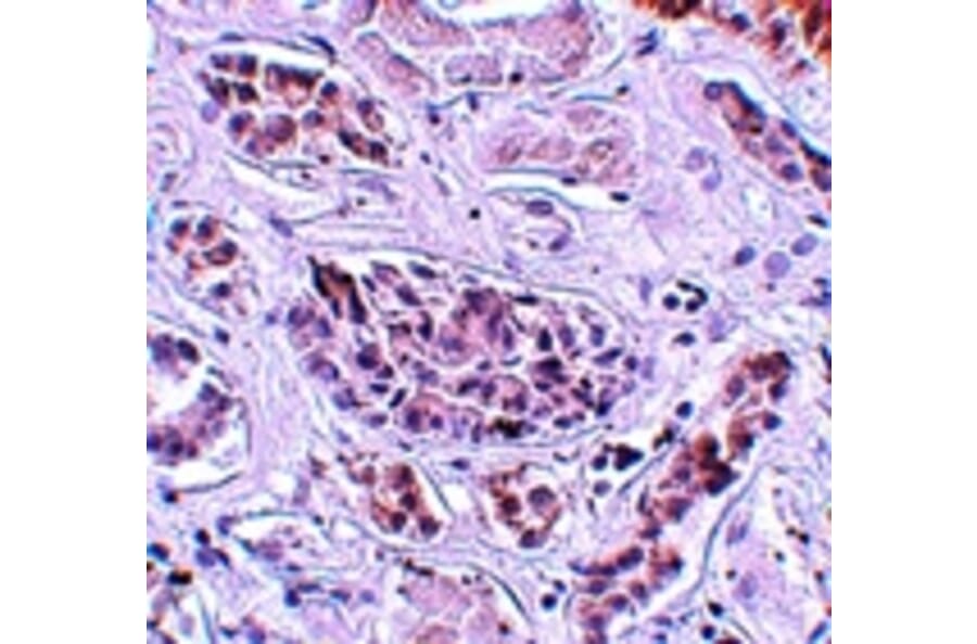
Immunohistochemistry - Anti-ATG3 Antibody (A48443)
Immunohistochemistry of ATG3 in human kidney tissue with ATG3 antibody at 5 µg/mL.
Publishing research using Anti-ATG3 Antibody (A48443)? Please
let us know
so that we can list the citation on this page.
Alternative products to Anti-ATG3 Antibody (A48443)
(4)
A307672
Anti-ATG3 Antibody [ARC0073]
Rabbit monoclonal [ARC0073] antibody to ATG3 for WB and IHC.
(2)
A31063
Anti-ATG3 Antibody
Rabbit polyclonal antibody to ATG3 for WB and IHC.
(2)
A14989
Anti-ATG3 Antibody
Rabbit polyclonal antibody to ATG3 for WB and ICC/IF.
(2)
A38576
Anti-ATG3 Antibody
Rabbit polyclonal antibody to ATG3 for WB and ICC/IF.
A344624
Anti-ATG3 Antibody [23GB4330]
Recombinant rabbit monoclonal [23GB4330] antibody to ATG3 for WB, Flow Cytometry and ICC/IF.
A344625
Anti-ATG3 Antibody [25GB1950]
Recombinant rabbit monoclonal [25GB1950] antibody to ATG3 for WB, Flow Cytometry and ICC/IF.
A57962
Anti-ATG3 Antibody [PAT15F6AT]
Mouse monoclonal [PAT15F6AT] antibody to ATG3 for ELISA and WB.
(4)
A307672
Anti-ATG3 Antibody [ARC0073]
Rabbit monoclonal [ARC0073] antibody to ATG3 for WB and IHC.
(2)
A31063
Anti-ATG3 Antibody
Rabbit polyclonal antibody to ATG3 for WB and IHC.
(2)
A14989
Anti-ATG3 Antibody
Rabbit polyclonal antibody to ATG3 for WB and ICC/IF.
(2)
A38576
Anti-ATG3 Antibody
Rabbit polyclonal antibody to ATG3 for WB and ICC/IF.
A344624
Anti-ATG3 Antibody [23GB4330]
Recombinant rabbit monoclonal [23GB4330] antibody to ATG3 for WB, Flow Cytometry and ICC/IF.
A344625
Anti-ATG3 Antibody [25GB1950]
Recombinant rabbit monoclonal [25GB1950] antibody to ATG3 for WB, Flow Cytometry and ICC/IF.
A57962
Anti-ATG3 Antibody [PAT15F6AT]
Mouse monoclonal [PAT15F6AT] antibody to ATG3 for ELISA and WB.
See all ATG3 Antibodies
Proteins predicted to interact with ATG3
Predicted protein interactions based upon String database. Revelancy score correlates with probability of interaction.
GABARAPL2 Antibodies
99.9% Relevancy Score
ATG5 Antibodies
99.9% Relevancy Score
ATG12 Antibodies
99.9% Relevancy Score
ATG16L1 Antibodies
99.9% Relevancy Score
ATG7 Antibodies
99.9% Relevancy Score
GABARAP Antibodies
99.9% Relevancy Score
GABARAPL1 Antibodies
99.9% Relevancy Score
LC3B Antibodies
99.8% Relevancy Score
LC3A Antibodies
99.7% Relevancy Score
Top