ISO 9001:2015 Certified
Live Customer Support
4.5/5 on Trustpilot
100% Quality Guarantee

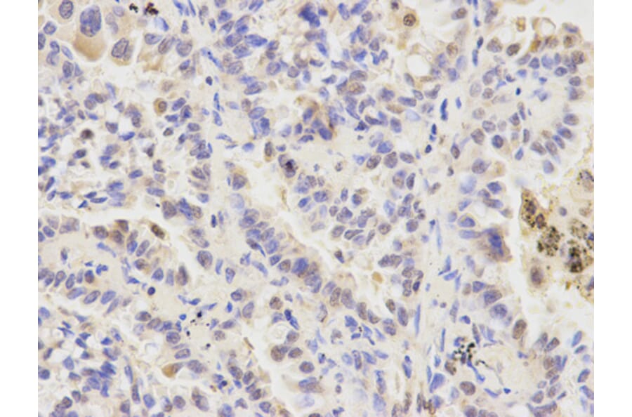
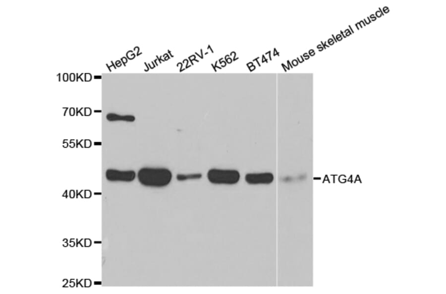
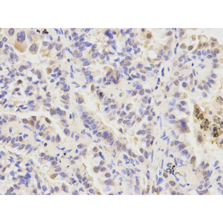
Anti-ATG4A Antibody (A30930)

$435

Rabbit polyclonal antibody to ATG4A for WB, IHC and IP.

Shipping Information

$40
Dispatched from St. Louis, MO.
Lead Time: 7-10 business days.
Name
Anti-ATG4A Antibody
Description
Rabbit polyclonal antibody to ATG4A
Specificity
ATG4A pAb detects endogenous levels of ATG4A protein.
Applications
WB, IHC, IP
Reactivity
Human, Mouse, Rat
Immunogen
Recombinant full length Human ATG4A.
Host
Rabbit
Clonality
Polyclonal
Conjugate

Unconjugated

Molecular Weight
~ 45 kDa
Purity
The antibody was affinity-purified from rabbit antiserum by affinity-chromatography using epitope-specific immunogen and the purity is > 95% (by SDS-PAGE).
Product Form
1mg/ml in PBS with 0.1% Sodium Azide, 50% Glycerol.
Synonyms
APG4A, AUT-like 2 cysteine endopeptidase, AUTL2, Autophagin-2, Autophagy-related cysteine endopeptidase 2, Autophagy-related protein 4 homolog A, Cysteine protease ATG4A, hAPG4A, HsAPG4A
Disclaimer
This product is for research use only. It is not intended for diagnostic or therapeutic use.
Publishing research using Anti-ATG4A Antibody (A30930)? Please let us know so that we can list the citation on this page.

Alternative products to Anti-ATG4A Antibody (A30930)

Proteins predicted to interact with ATG4A

Predicted protein interactions based upon String database. Revelancy score correlates with probability of interaction.
99.6% Relevancy Score
99.6% Relevancy Score
99.5% Relevancy Score
93.3% Relevancy Score
93.2% Relevancy Score
92% Relevancy Score
91.6% Relevancy Score
89.7% Relevancy Score
87.6% Relevancy Score