ISO 9001:2015 Certified
Live Customer Support
4.5/5 on Trustpilot
100% Quality Guarantee

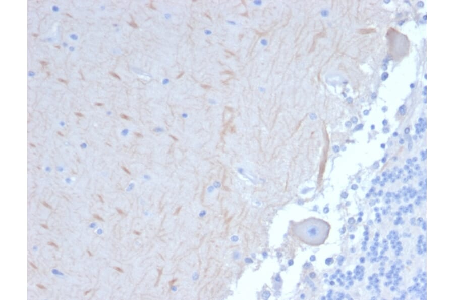
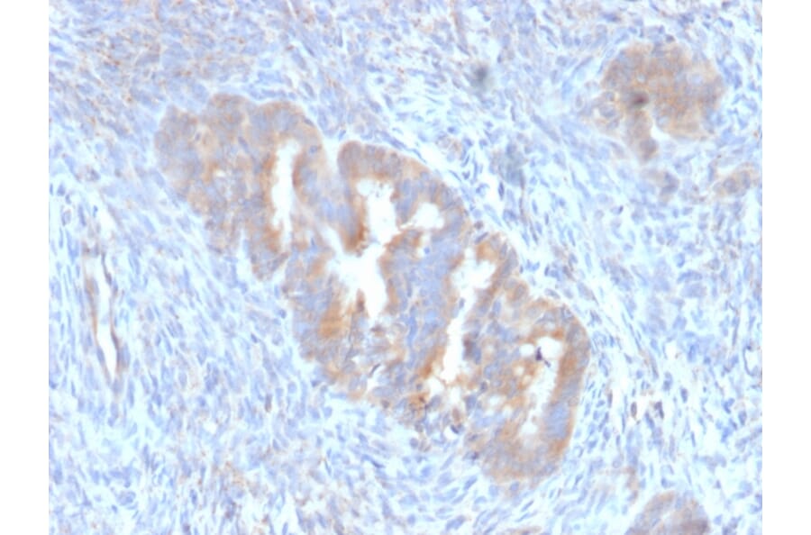
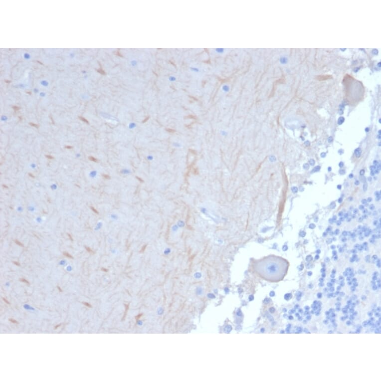
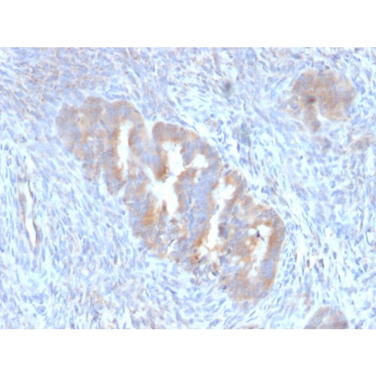
Anti-ATG5 Antibody [ATG5/2101] (A250660)

Mouse monoclonal [ATG5/2101] antibody to ATG5 for ELISA, WB and IHC-P.

Alternative Formats and ConjugatesAlternative Formats

Shipping Information

$40
Dispatched from St. Louis, MO.
Lead Time: 5-8 business days.
Name
Anti-ATG5 Antibody [ATG5/2101]
Description
Mouse monoclonal [ATG5/2101] antibody to ATG5.
Specificity
The protein encoded by this gene, in combination with autophagy protein 12, functions as an E1-like activating enzyme in a ubiquitin-like conjugating system. The encoded protein is involved in several cellular processes, including autophagic vesicle formation, mitochondrial quality control after oxidative damage, negative regulation of the innate antiviral immune response, lymphocyte development and proliferation, MHC II antigen presentation, adipocyte differentiation, and apoptosis. The ATG5 protein is essential for autophagy; a process that is usually beneficial for cells to self-degrade their own components when they are no longer useful.
Applications
ELISA, WB, IHC-P
Dilutions
ELISA: 1-5 µg/ml, WB: 1-2 µg/ml, IHC-P: 1-2 µg/ml
Reactivity
Human
Immunogen
Recombinant fragment, around amino acids 1-119, of human ATG5 protein. The exact sequence is proprietary.
Host
Mouse
Clonality
Monoclonal
Clone ID
ATG5/2101
Isotype
IgG1
Light Chains
kappa
Conjugate

Unconjugated

Purification
Protein A/G chromatography.
Concentration
200 µg/ml
Molecular Weight
50-32 kDa
Product Form
Liquid
Formulation
Supplied in 10mM Phosphate Buffered Saline with 0.05% BSA and 0.05% Sodium Azide.
Storage
Shipped at 4°C. Upon delivery aliquot and store at -20°C. Avoid freeze / thaw cycles.
General Notes
This monoclonal antibody is also available in a different formulation without BSA and Sodium Azide - Anti-ATG5 Antibody [ATG5/2101] - BSA and Azide free (A253840).
Synonyms
APG5-like, APG5L, Apoptosis-specific protein, ASP, Autophagy protein 5
Disclaimer
This product is for research use only. It is not intended for diagnostic or therapeutic use.
Publishing research using Anti-ATG5 Antibody [ATG5/2101] (A250660)? Please let us know so that we can list the citation on this page.

Alternative products to Anti-ATG5 Antibody [ATG5/2101] (A250660)

Proteins predicted to interact with ATG5

Predicted protein interactions based upon String database. Revelancy score correlates with probability of interaction.
99.9% Relevancy Score
99.9% Relevancy Score
99.9% Relevancy Score
99.9% Relevancy Score
99.9% Relevancy Score
99.9% Relevancy Score
99.9% Relevancy Score
99.9% Relevancy Score
99.9% Relevancy Score