Primary Antibodies
Secondary Antibodies
Proteins & Peptides
ELISA Kits
About Us
Contact Us
Sign In/Register
0
ISO 9001:2015 Certified
Live Customer Support
4.5/5 on Trustpilot
100% Quality Guarantee
Home
Primary Antibodies
ATP4B Antibodies
Anti-ATP4B Antibody (A45878)
Anti-ATP4B Antibody (A45878)
Overview
Specifications
Images
Enlarge Image
Enlarge Image
$430
Product Datasheet
Rabbit polyclonal antibody to ATP4B for IHC.
100% Guarantee
Price Match Guarantee
Product Size:
100µl
Quantity:
1
2
3
4
5
6
7
8
9
10
Add To Cart
Request a Quotation
Custom or Bulk Request
Shipping Information
Freight/Packing Charges:
$40
Dispatched from St. Louis, MO.
Lead Time: 6-9 business days.
Specifications
Name
Anti-ATP4B Antibody
Description
Rabbit polyclonal antibody to ATP4B
Specificity
The antibody detects endogenous levels of total ATP4B protein.
Applications
IHC
Reactivity
Human
Immunogen
Fusion protein corresponding to a region derived from internal residues of human ATPase, H+ / K+ exchanging, beta polypeptide
Host
Rabbit
Clonality
Polyclonal
Conjugate
Unconjugated
Purification
Antigen affinity purification.
Concentration
2.8 mg/mL
Formulation
Supplied in PBS, pH 7.3, containing 0.05% sodium azide and 50% glycerol.
Storage
Shipped at 4°C. Upon delivery aliquot and store at -20°C. Avoid freeze/thaw cycles.
Synonyms
Gastric H(+)/K(+) ATPase subunit beta, Potassium-transporting ATPase subunit beta, Proton pump beta chain
Suitable Secondaries
Goat Anti-Rabbit IgG H&L Antibody (AP) (A294874)
Goat Anti-Rabbit IgG H&L Antibody (Biotin) (A294795)
Goat Anti-Rabbit IgG H&L Antibody (FITC) (A294887)
Goat Anti-Rabbit IgG H&L Antibody (HRP) (A294888)
See all Anti-Rabbit IgG Secondaries →
Disclaimer
This product is for research use only. It is not intended for diagnostic or therapeutic use.
Scientific Validation Data
Validation Data
(2)
Enlarge Image
Immunohistochemistry - Anti-ATP4B Antibody (A45878)
Immunohistochemical analysis of paraffin-embedded Human liver cancer tissue using #35648 at dilution 1/40.
Enlarge Image
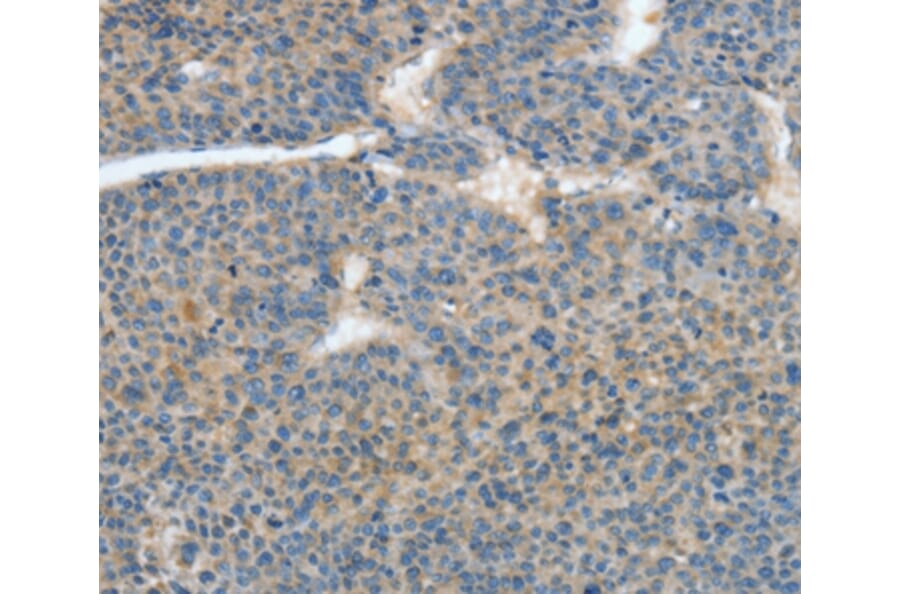
Immunohistochemistry - Anti-ATP4B Antibody (A45878)
Immunohistochemical analysis of paraffin-embedded Human thyroid cancer tissue using #35648 at dilution 1/40.
Publishing research using Anti-ATP4B Antibody (A45878)? Please
let us know
so that we can list the citation on this page.
Proteins predicted to interact with ATP4B
Predicted protein interactions based upon String database. Revelancy score correlates with probability of interaction.
ATP12A Antibodies
99.5% Relevancy Score
PPA1 Antibodies
91.6% Relevancy Score
LHPP Antibodies
91.2% Relevancy Score
PPA2 Antibodies
90.9% Relevancy Score
Intrinsic Factor Antibodies
87.5% Relevancy Score
FXYD2 Antibodies
80.5% Relevancy Score
ATP1A2 Antibodies
77% Relevancy Score
Sodium Potassium ATPase Antibodies
76.3% Relevancy Score
LIPF Antibodies
75.7% Relevancy Score
Top