ISO 9001:2015 Certified
Live Customer Support
4.5/5 on Trustpilot
100% Quality Guarantee

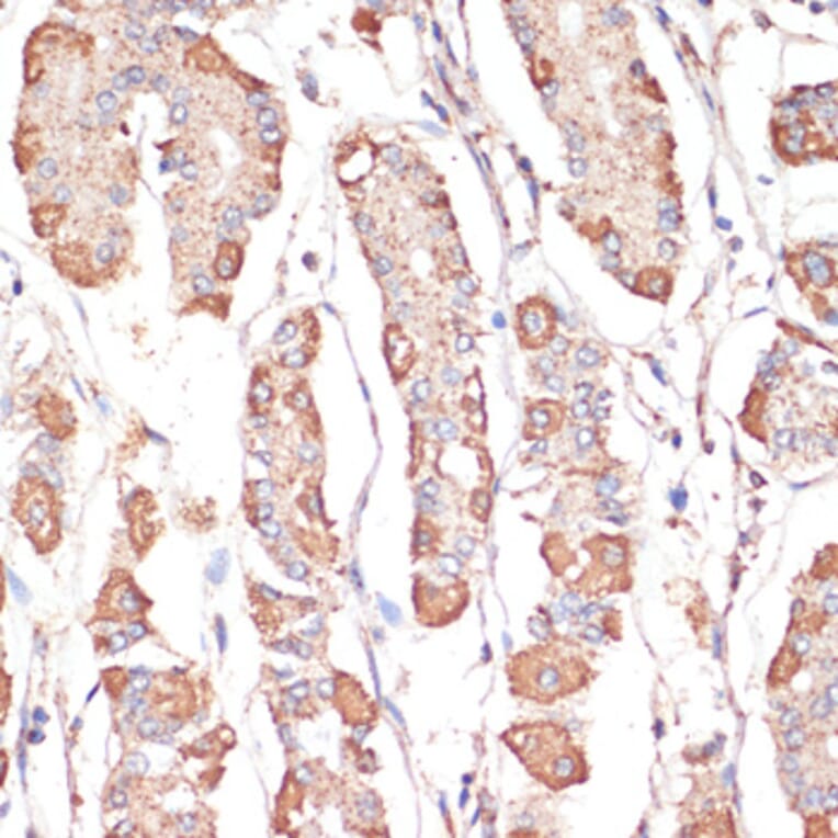
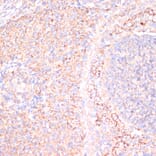
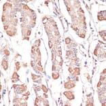
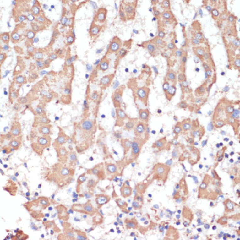
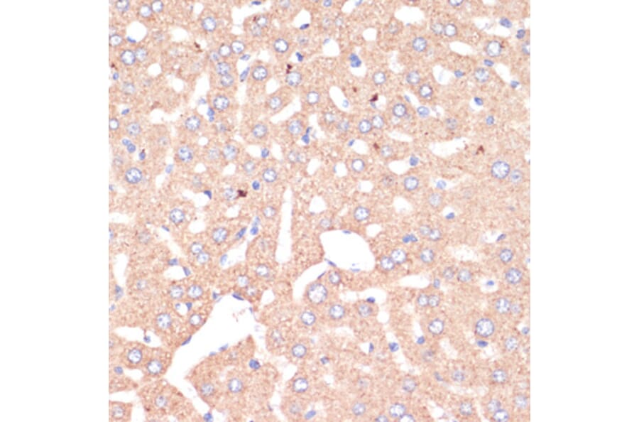
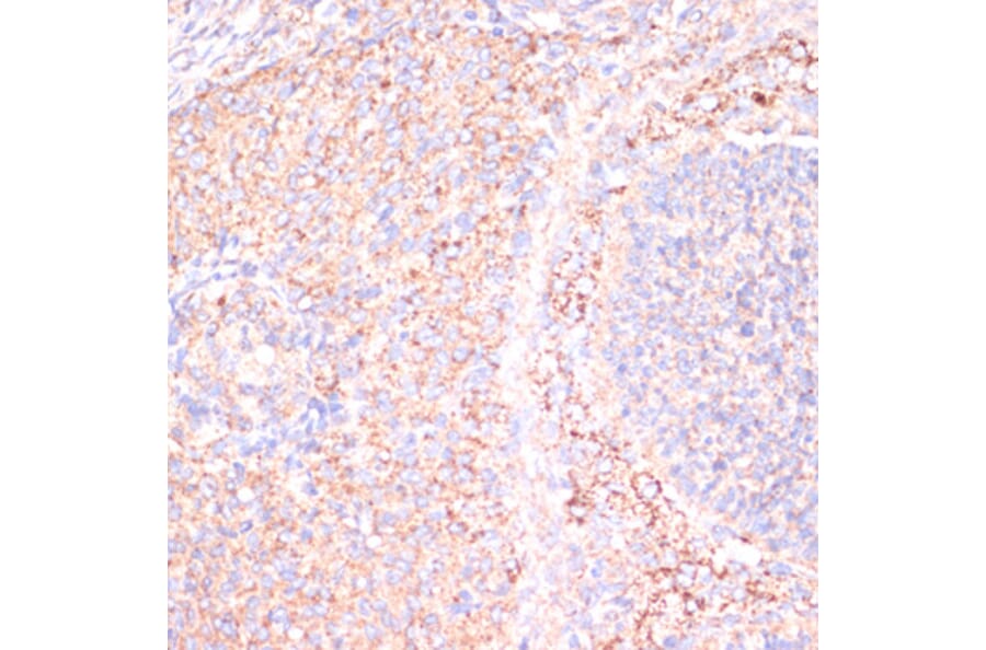
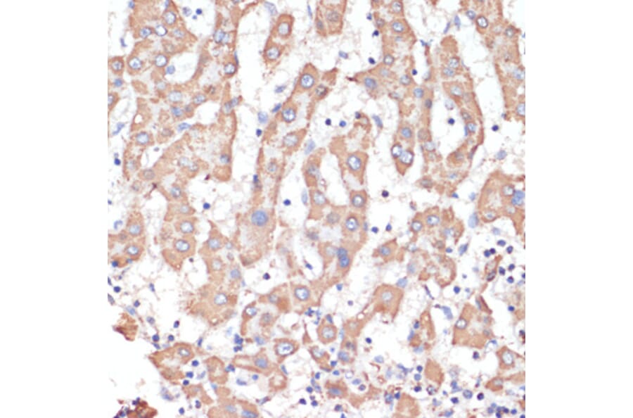
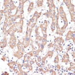
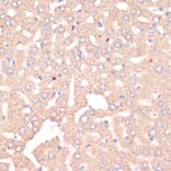
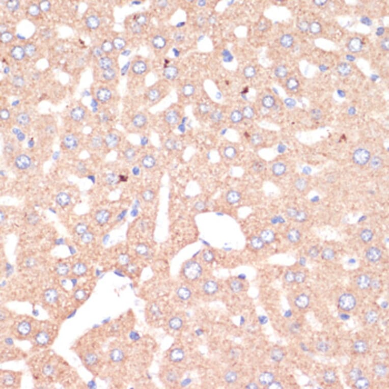
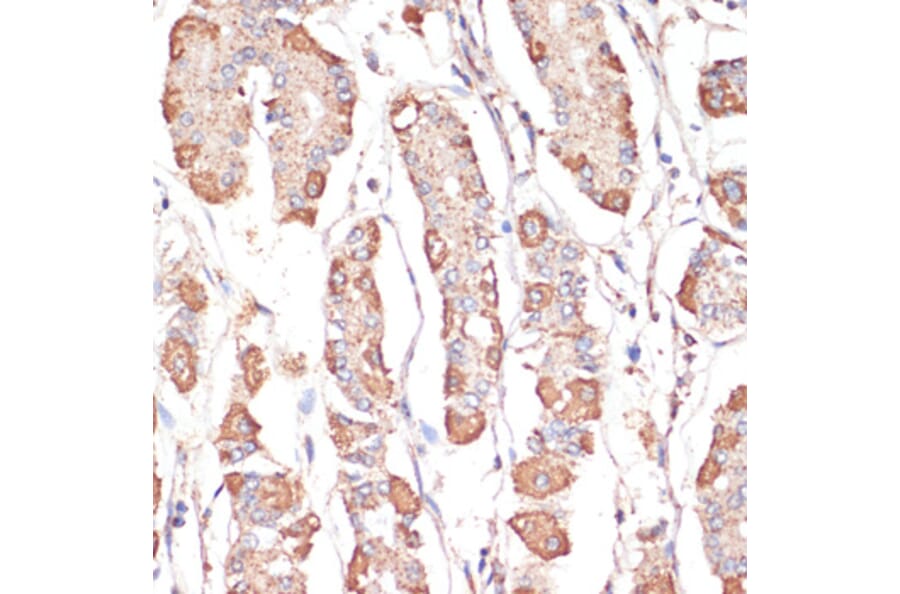
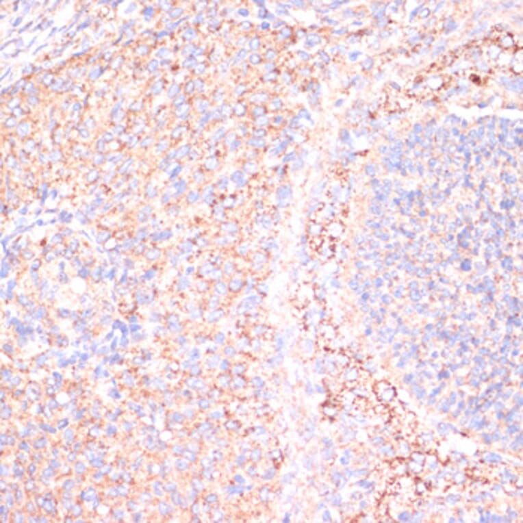
Anti-ATP5A Antibody (A15034)

Rabbit polyclonal antibody to ATP5A for WB, IHC, ICC/IF and IP.

Shipping Information

$40
Dispatched from St. Louis, MO.
Lead Time: 7-10 business days.
Name
Anti-ATP5A Antibody
Description
Rabbit polyclonal antibody to ATP5A.
Applications
WB, IHC, ICC/IF, IP
Dilutions
WB: 1:500-1:2,000, IHC: 1:50-1:200, ICC/IF: 1:50-1:100, IP: 1:50-1:200
Reactivity
Human, Mouse, Rat
Immunogen
Recombinant fusion protein containing a sequence corresponding to amino acids 1-280 of human ATP5A1 (NP_004037.1).
Sequence
MLSVRVAAAVVRALPRRAGLVSRNALGSSFIAARNFHASNTHLQKTGTAEMSSILEERILGADTSVDLEETGRVLSIGDGIARVHGLRNVQAEEMVEFSSGLKGMSLNLEPDNVGVVVFGNDKLIKEGDIVKRTGAIVDVPVGEELLGRVVDALGNAIDGKGPIGSKTRRRVGLKAPGIIPRISVREPMQTGIKAVDSLVPIGRGQRELIIGDRQTGKTSIAIDTIINQKRFNDGSDEKKKLYCIYVAIGQKRSTVAQLVKRLTDADAMKYTIVVSATAS
Host
Rabbit
Clonality
Polyclonal
Isotype
IgG
Conjugate

Unconjugated

Purification
Affinity purification.
Concentration
Lot Specific
Molecular Weight
53 kDa
Product Form
Liquid
Formulation
Supplied in Phosphate Buffered Saline, pH 7.3, with 50% Glycerol and 0.02% Sodium Azide.
Storage
Shipped at 4°C. Upon delivery aliquot and store at -20°C. Avoid freeze/thaw cycles.
Synonyms
ATP synthase alpha chain, mitochondrial, ATP synthase subunit alpha, ATP synthase subunit alpha mitochondrial, ATP synthase, H+ transporting, mitochondrial F1 complex, alpha subunit 1, cardiac muscle, ATP synthase, H+ transporting, mitochondrial F1 complex, alpha subunit, 1, ATP synthase, H+ transporting, mitochondrial F1 complex, alpha subunit, isoform 1, cardiac muscle, ATP synthase, H+ transporting, mitochondrial F1 complex, alpha subunit, isoform 2, non-cardiac muscle-like 2, ATP sythase (F1 ATPase) alpha subunit, Atp5a1, ATP5AL2, ATPA_HUMAN, ATPM, Epididymis secretory sperm binding protein Li 123m, hATP1, HEL-S-123m, MC5DN4, mitochondrial, Mitochondrial ATP synthetase, Mitochondrial ATP synthetase oligomycin resistant, Modifier of Min 2 mouse homolog, Modifier of Min 2, mouse, homolog of, MOM2, OMR, ORM, OTTHUMP00000163475
Disclaimer
This product is for research use only. It is not intended for diagnostic or therapeutic use.
Publishing research using Anti-ATP5A Antibody (A15034)? Please let us know so that we can list the citation on this page.

Alternative products to Anti-ATP5A Antibody (A15034)