Primary Antibodies
Secondary Antibodies
Proteins & Peptides
ELISA Kits
About Us
Contact Us
Sign In/Register
0
ISO 9001:2015 Certified
Live Customer Support
4.5/5 on Trustpilot
100% Quality Guarantee
Home
Primary Antibodies
ATPB Antibodies
Anti-ATP5B Antibody (A37658)
Anti-ATP5B Antibody (A37658)
Overview
Specifications
Images
Enlarge Image
Enlarge Image
$415
Rabbit polyclonal antibody to ATP5B for WB and IHC.
100% Guarantee
Price Match Guarantee
Product Size:
50µl
100µl
Quantity:
1
2
3
4
5
6
7
8
9
10
Add To Cart
Request a Quotation
Custom or Bulk Request
Shipping Information
Freight/Packing Charges:
$40
Dispatched from St. Louis, MO.
Lead Time: 6-9 business days.
Tags:
Mitochondrial Marker
Specifications
Name
Anti-ATP5B Antibody
Description
Rabbit polyclonal antibody to ATP5B
Specificity
The antibody detects endogenous level of total ATP5B protein.
Applications
WB
,
IHC
Reactivity
Human, Mouse, Rat
Immunogen
Recombinant protein of human ATP5B.
Host
Rabbit
Clonality
Polyclonal
Conjugate
Unconjugated
Purification
Antibodies were purified by affinity purification using immunogen.
Concentration
1 mg/ml
Formulation
Supplied at 1.0mg / mL in phosphate buffered saline (without Mg2+ and Ca2+), pH 7.4, 150mM NaCl, 0.02% sodium azide and 50% glycerol.
Storage
Store at -20˚C
Synonyms
ATP synthase F1 subunit beta, ATP synthase subunit beta, mitochondrial, ATP5F1B, ATPMB, ATPSB
Suitable Secondaries
Goat Anti-Rabbit IgG H&L Antibody (AP) (A294874)
Goat Anti-Rabbit IgG H&L Antibody (Biotin) (A294795)
Goat Anti-Rabbit IgG H&L Antibody (FITC) (A294887)
Goat Anti-Rabbit IgG H&L Antibody (HRP) (A294888)
See all Anti-Rabbit IgG Secondaries →
Disclaimer
This product is for research use only. It is not intended for diagnostic or therapeutic use.
Scientific Validation Data
Validation Data
(2)
Enlarge Image
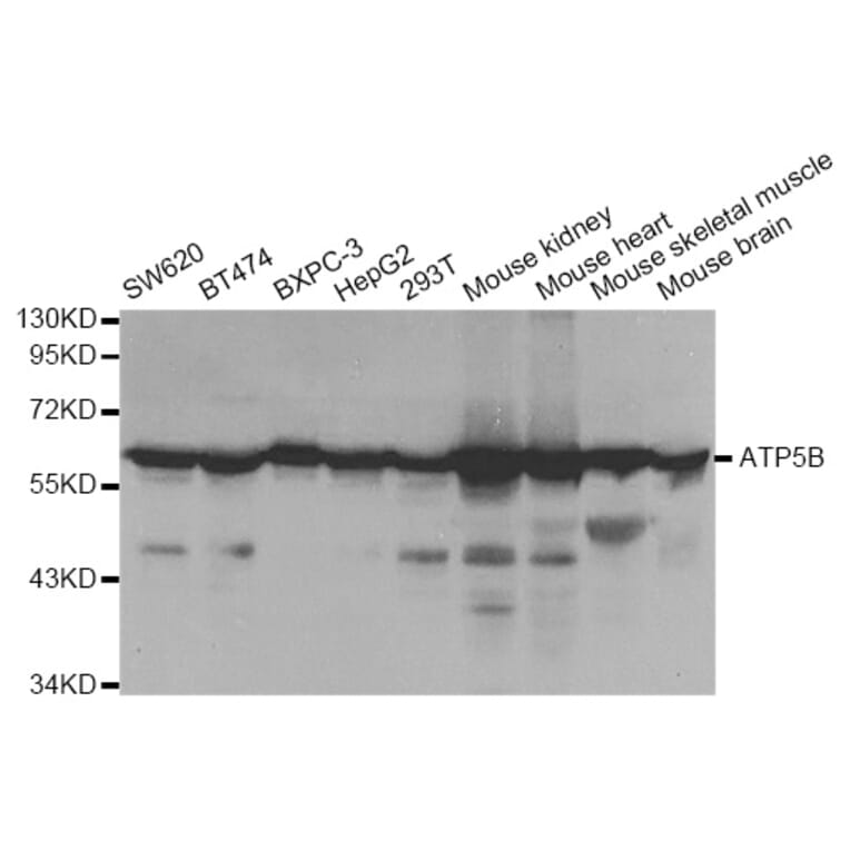
Anti-ATP5B Antibody (A37658)
Western blot analysis of extracts of various cell lines, using ATP5B antibody.
Enlarge Image
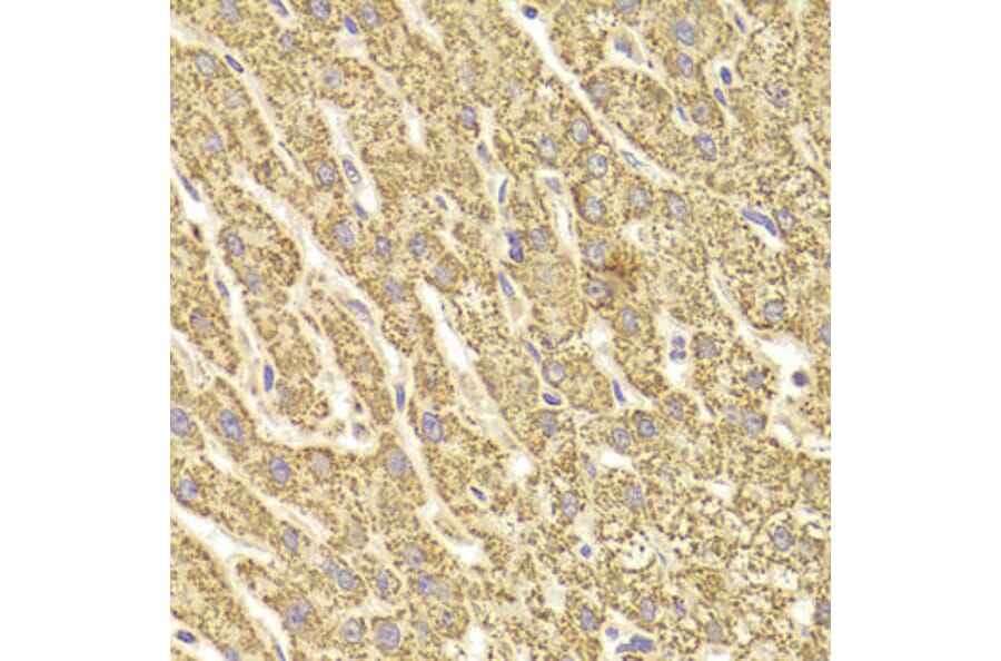
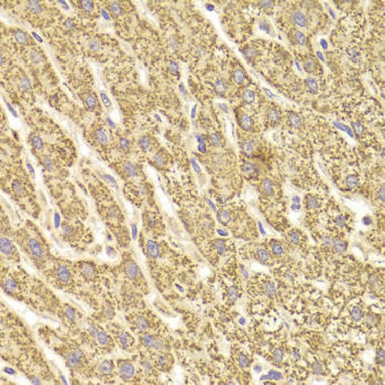
Immunohistochemistry - Anti-ATP5B Antibody (A37658)
Immunohistochemistry of paraffin-embedded Human liver injury using ATP5B antibody at dilution of 1: 100 (x400 lens).
Publishing research using Anti-ATP5B Antibody (A37658)? Please
let us know
so that we can list the citation on this page.
Alternative products to Anti-ATP5B Antibody (A37658)
(7)
A14964
Anti-ATPB Antibody
Rabbit polyclonal antibody to ATPB for WB, IHC and ICC/IF.
(7)
A81028
Anti-ATPB Antibody [ARC53533]
Rabbit monoclonal [ARC53533] antibody to ATPB for WB, IHC and ICC/IF.
(2)
A85199
Anti-ATPB Antibody
Goat polyclonal antibody to ATPB for ELISA and WB.
A31039
Anti-ATP5B Antibody
Rabbit polyclonal antibody to ATP5B for WB and IHC.
(7)
A14964
Anti-ATPB Antibody
Rabbit polyclonal antibody to ATPB for WB, IHC and ICC/IF.
(7)
A81028
Anti-ATPB Antibody [ARC53533]
Rabbit monoclonal [ARC53533] antibody to ATPB for WB, IHC and ICC/IF.
(2)
A85199
Anti-ATPB Antibody
Goat polyclonal antibody to ATPB for ELISA and WB.
A31039
Anti-ATP5B Antibody
Rabbit polyclonal antibody to ATP5B for WB and IHC.
Proteins predicted to interact with ATPB
Predicted protein interactions based upon String database. Revelancy score correlates with probability of interaction.
ATP5A1 Antibodies
99.9% Relevancy Score
ATP5H Antibodies
99.9% Relevancy Score
MT ATP6 Antibodies
99.9% Relevancy Score
ATP5J Antibodies
99.9% Relevancy Score
ATP5O Antibodies
99.9% Relevancy Score
ATP5I Antibodies
99.9% Relevancy Score
ATP5J2 Antibodies
99.9% Relevancy Score
ATP5F1 Antibodies
99.9% Relevancy Score
ATP5D Antibodies
99.9% Relevancy Score
Top