ISO 9001:2015 Certified
Live Customer Support
4.5/5 on Trustpilot
100% Quality Guarantee

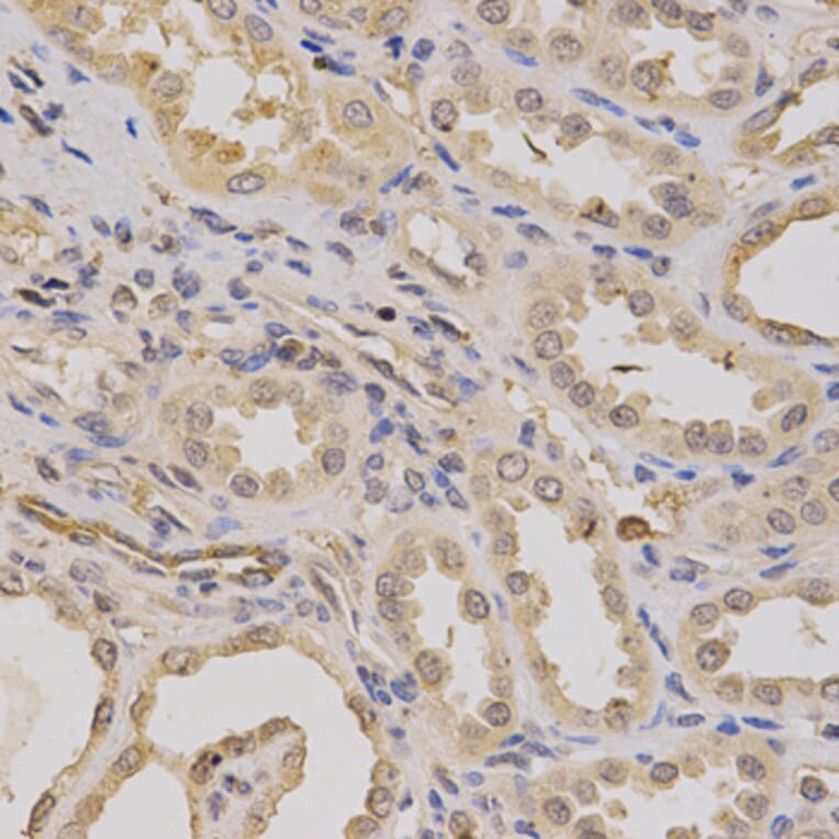
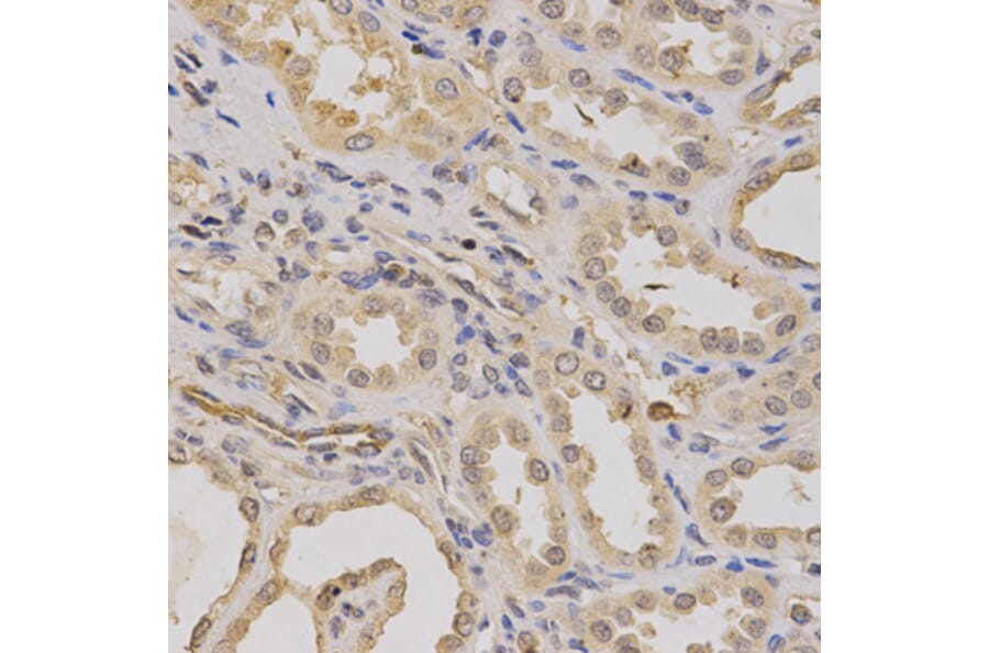
Anti-ATP6AP1 Antibody (A29500)

$435

Rabbit polyclonal antibody to ATP6AP1 for WB and IHC.

Shipping Information

$40
Dispatched from St. Louis, MO.
Lead Time: 7-10 business days.
Name
Anti-ATP6AP1 Antibody
Description
Rabbit polyclonal antibody to ATP6AP1
Specificity
ATP6AP1 pAb detects endogenous levels of ATP6AP1 protein.
Applications
WB, IHC
Reactivity
Human, Mouse, Rat
Immunogen
Recombinant full length Human ATP6AP1.
Host
Rabbit
Clonality
Polyclonal
Conjugate

Unconjugated

Molecular Weight
~ 52 kDa
Purity
The antibody was affinity-purified from rabbit antiserum by affinity-chromatography using epitope-specific immunogen and the purity is > 95% (by SDS-PAGE).
Product Form
1mg/ml in PBSwith0.1%SodiumAzide,50%Glycerol.
Synonyms
ATP6IP1, ATP6S1, Protein XAP-3, V-ATPase Ac45 subunit, V-ATPase S1 accessory protein, V-ATPase subunit S1, V-type proton ATPase subunit S1, Vacuolar proton pump subunit S1, VATPS1, XAP3
Disclaimer
This product is for research use only. It is not intended for diagnostic or therapeutic use.
Publishing research using Anti-ATP6AP1 Antibody (A29500)? Please let us know so that we can list the citation on this page.

Alternative products to Anti-ATP6AP1 Antibody (A29500)

Proteins predicted to interact with ATP6AP1

Predicted protein interactions based upon String database. Revelancy score correlates with probability of interaction.
99.9% Relevancy Score
99.9% Relevancy Score
99.9% Relevancy Score
99.9% Relevancy Score
99.9% Relevancy Score
99.7% Relevancy Score
99.7% Relevancy Score
99.6% Relevancy Score
99.6% Relevancy Score