Primary Antibodies
Secondary Antibodies
Proteins & Peptides
ELISA Kits
About Us
Contact Us
Sign In/Register
0
ISO 9001:2015 Certified
Live Customer Support
4.5/5 on Trustpilot
100% Quality Guarantee
Home
Primary Antibodies
ATP6AP1 Antibodies
Anti-ATP6AP1 Antibody (A36777)
Anti-ATP6AP1 Antibody (A36777)
Overview
Specifications
Images
Enlarge Image
Enlarge Image
Enlarge Image
$390
Rabbit polyclonal antibody to ATP6AP1 for WB and IHC.
100% Guarantee
Price Match Guarantee
Product Size:
50µl
100µl
Quantity:
1
2
3
4
5
6
7
8
9
10
Add To Cart
Request a Quotation
Custom or Bulk Request
Shipping Information
Freight/Packing Charges:
$40
Dispatched from St. Louis, MO.
Lead Time: 6-9 business days.
Specifications
Name
Anti-ATP6AP1 Antibody
Description
Rabbit polyclonal antibody to ATP6AP1
Specificity
The antibody detects endogenous level of total ATP6AP1 protein.
Applications
WB
,
IHC
Reactivity
Human, Mouse, Rat
Immunogen
Recombinant protein of human ATP6AP1.
Host
Rabbit
Clonality
Polyclonal
Conjugate
Unconjugated
Purification
Antibodies were purified by affinity purification using immunogen.
Concentration
1 mg/ml
Formulation
Supplied at 1.0mg / mL in phosphate buffered saline (without Mg2+ and Ca2+), pH 7.4, 150mM NaCl, 0.02% sodium azide and 50% glycerol.
Storage
Store at -20˚C
Synonyms
ATP6IP1, ATP6S1, Protein XAP-3, V-ATPase Ac45 subunit, V-ATPase S1 accessory protein, V-ATPase subunit S1, V-type proton ATPase subunit S1, Vacuolar proton pump subunit S1, VATPS1, XAP3
Suitable Secondaries
Goat Anti-Rabbit IgG H&L Antibody (AP) (A294874)
Goat Anti-Rabbit IgG H&L Antibody (Biotin) (A294795)
Goat Anti-Rabbit IgG H&L Antibody (FITC) (A294887)
Goat Anti-Rabbit IgG H&L Antibody (HRP) (A294888)
See all Anti-Rabbit IgG Secondaries →
Disclaimer
This product is for research use only. It is not intended for diagnostic or therapeutic use.
Scientific Validation Data
Validation Data
(3)
Enlarge Image
Anti-ATP6AP1 Antibody (A36777)
Western blot analysis of extracts of various cell lines, using ATP6AP1 antibody.
Enlarge Image
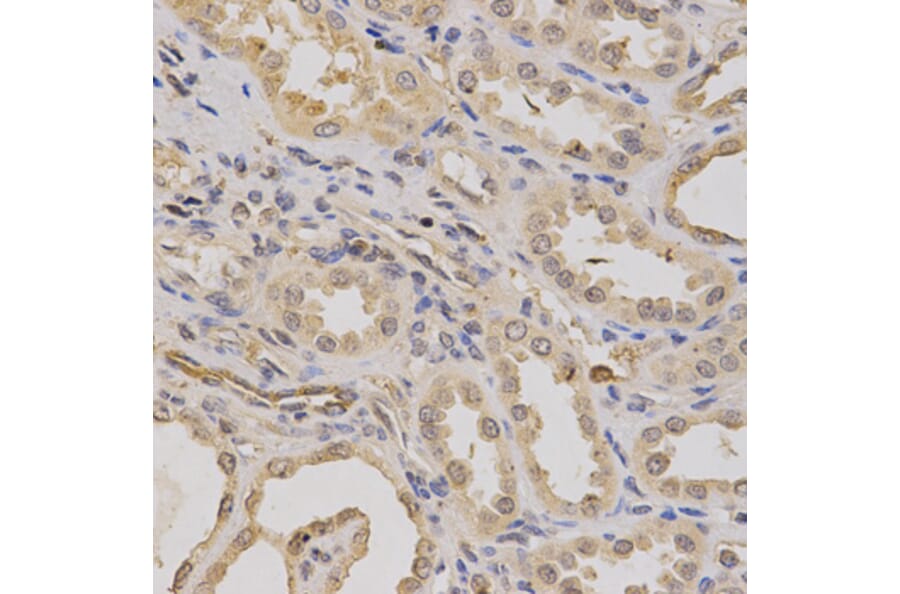
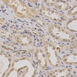
Immunohistochemistry - Anti-ATP6AP1 Antibody (A36777)
Immunohistochemistry of paraffin-embedded human kidney using ATP6AP1 antibody at dilution of 1: 200 (x400 lens).
Enlarge Image
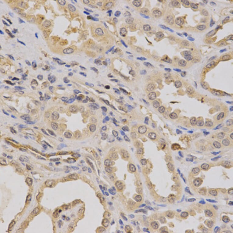
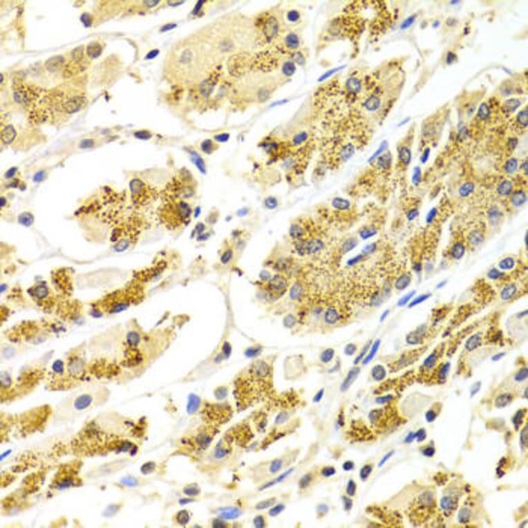
Immunohistochemistry - Anti-ATP6AP1 Antibody (A36777)
Immunohistochemistry of paraffin-embedded Human gastric using ATP6AP1 antibody at dilution of 1: 100 (x400 lens).
Publishing research using Anti-ATP6AP1 Antibody (A36777)? Please
let us know
so that we can list the citation on this page.
Alternative products to Anti-ATP6AP1 Antibody (A36777)
(2)
A29500
Anti-ATP6AP1 Antibody
Rabbit polyclonal antibody to ATP6AP1 for WB and IHC.
A28453
Anti-ATP6AP1 Antibody
Rabbit polyclonal antibody to ATP6AP1 for WB.
(2)
A29500
Anti-ATP6AP1 Antibody
Rabbit polyclonal antibody to ATP6AP1 for WB and IHC.
A28453
Anti-ATP6AP1 Antibody
Rabbit polyclonal antibody to ATP6AP1 for WB.
Proteins predicted to interact with ATP6AP1
Predicted protein interactions based upon String database. Revelancy score correlates with probability of interaction.
ATP6V0C Antibodies
99.9% Relevancy Score
ATP6V0D1 Antibodies
99.9% Relevancy Score
Renin Receptor Antibodies
99.9% Relevancy Score
ATP6V0A1 Antibodies
99.9% Relevancy Score
ATP6V1H Antibodies
99.9% Relevancy Score
ATP6V1D Antibodies
99.7% Relevancy Score
ATP6V0A2 Antibodies
99.7% Relevancy Score
ATP6V1C1 Antibodies
99.6% Relevancy Score
ATP6V1G1 Antibodies
99.6% Relevancy Score
Top