Primary Antibodies
Secondary Antibodies
Proteins & Peptides
ELISA Kits
About Us
Contact Us
Sign In/Register
0
ISO 9001:2015 Certified
Live Customer Support
4.5/5 on Trustpilot
100% Quality Guarantee
Home
Primary Antibodies
ATP6V1B1 Antibodies
Anti-ATP6V1B1 Antibody (A97821)
Anti-ATP6V1B1 Antibody (A97821)
Overview
Specifications
Images
Enlarge Image
Enlarge Image
$200
Product Datasheet
Rabbit polyclonal antibody to ATP6V1B1 for WB, IHC, IF and ELISA.
100% Guarantee
Price Match Guarantee
Product Size:
10µg
100µg
Quantity:
1
2
3
4
5
6
7
8
9
10
Add To Cart
Request a Quotation
Custom or Bulk Request
Shipping Information
Freight/Packing Charges:
$40
Dispatched from St. Louis, MO.
Lead Time: 6-8 business days.
Specifications
Name
Anti-ATP6V1B1 Antibody
Description
Rabbit polyclonal antibody to ATP6V1B1.
Applications
WB
,
IHC
,
IF
,
ELISA
Dilutions
IHC: 1:50~1:100, ELISA: 1:5000
Reactivity
Human, Mouse
Cross Reactivity
No reported cross-reactivity.
Immunogen
Synthetic peptide derived from human ATP6V1B1 (amino acids 381-430).
Host
Rabbit
Clonality
Polyclonal
Isotype
IgG
Conjugate
Unconjugated
Purification
Purified from rabbit serum by antigen affinity chromatography using the immunizing peptide.
Molecular Weight
56kDa
Product Form
Liquid
Formulation
Supplied in Phosphate Buffered Saline (without Mg2+ and Ca2+), pH 7.4, with 150mM NaCl, 0.02% Sodium Azide, and 50% Glycerol.
Storage
Shipped at 4°C. Upon delivery aliquot and store at -20°C. Avoid freeze / thaw cycles.
Synonyms
ATP6B1, Endomembrane proton pump 58 kDa subunit, V-ATPase subunit B 1, V-type proton ATPase subunit B, kidney isoform, Vacuolar proton pump subunit B 1, VATB, VPP3
Isotype Controls
Rabbit IgG (A82272)
Rabbit IgG (A17360)
Suitable Secondaries
Goat Anti-Rabbit IgG H&L Antibody (AP) (A294874)
Goat Anti-Rabbit IgG H&L Antibody (Biotin) (A294795)
Goat Anti-Rabbit IgG H&L Antibody (FITC) (A294887)
Goat Anti-Rabbit IgG H&L Antibody (HRP) (A294888)
See all Anti-Rabbit IgG Secondaries →
Disclaimer
This product is for research use only. It is not intended for diagnostic or therapeutic use.
Scientific Validation Data
Validation Data
(2)
Enlarge Image
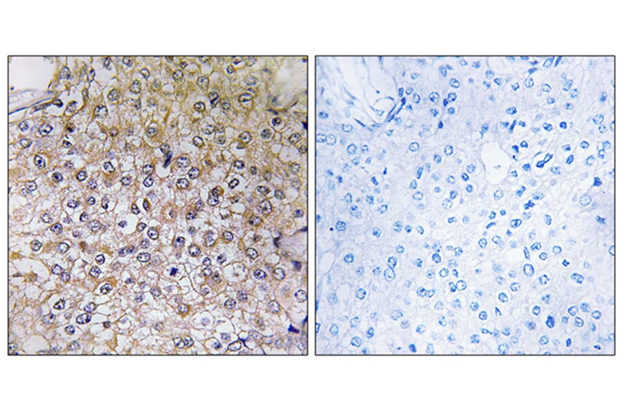
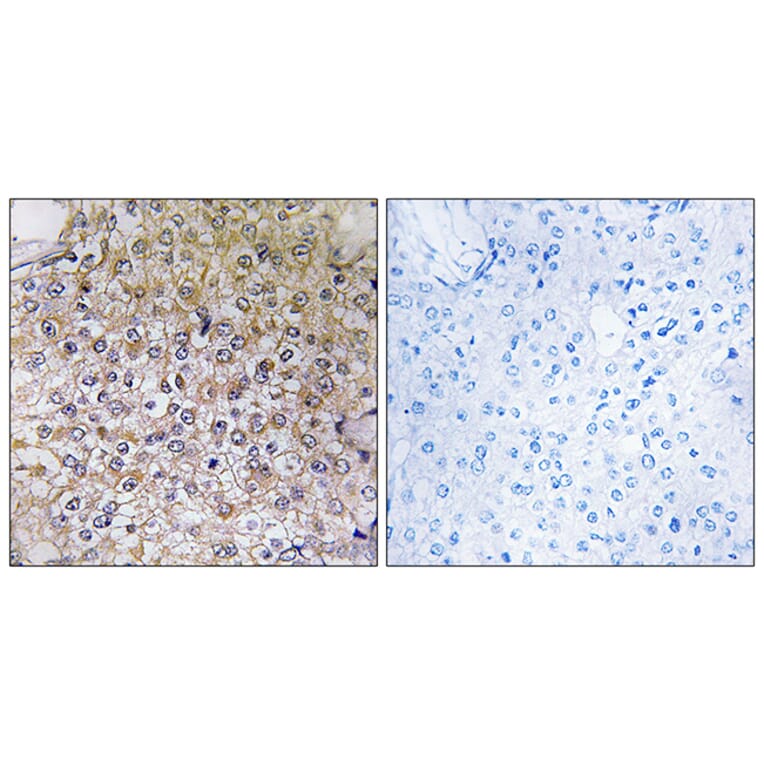
Immunohistochemistry - Anti-ATP6V1B1 Antibody (A97821)
Immunohistochemical analysis of paraffin-embedded human breast carcinoma tissue using Anti-ATP6V1B1 Antibody. The right hand panel represents a negative control, where the antibody was pre-incubated with the immunising peptide.
Enlarge Image
Western Blot - Anti-ATP6V1B1 Antibody (A97821)
Western blot analysis of various cells using Anti-ATP6V1B1 Antibody.
Publishing research using Anti-ATP6V1B1 Antibody (A97821)? Please
let us know
so that we can list the citation on this page.
Alternative products to Anti-ATP6V1B1 Antibody (A97821)
(3)
A15406
Anti-ATP6V1B1 Antibody
Rabbit polyclonal antibody to ATP6V1B1 for WB and ICC/IF.
(3)
A36224
Anti-ATP6V1B1 Antibody
Rabbit polyclonal antibody to ATP6V1B1 for WB and IHC.
A28202
Anti-ATP6V1B1 Antibody
Rabbit polyclonal antibody to ATP6V1B1 for WB and IHC.
(3)
A15406
Anti-ATP6V1B1 Antibody
Rabbit polyclonal antibody to ATP6V1B1 for WB and ICC/IF.
(3)
A36224
Anti-ATP6V1B1 Antibody
Rabbit polyclonal antibody to ATP6V1B1 for WB and IHC.
A28202
Anti-ATP6V1B1 Antibody
Rabbit polyclonal antibody to ATP6V1B1 for WB and IHC.
Proteins predicted to interact with ATP6V1B1
Predicted protein interactions based upon String database. Revelancy score correlates with probability of interaction.
ATP6V1A Antibodies
99.9% Relevancy Score
ATP6V0A1 Antibodies
99.9% Relevancy Score
ATP6V1F Antibodies
99.9% Relevancy Score
ATP6V1E2 Antibodies
99.9% Relevancy Score
ATP6V1E1 Antibodies
99.9% Relevancy Score
ATP6V1D Antibodies
99.9% Relevancy Score
ATP6V0D1 Antibodies
99.9% Relevancy Score
TCIRG1 Antibodies
99.8% Relevancy Score
ATP6V0C Antibodies
99.8% Relevancy Score
Top